• 文献检索
  • 文档翻译
  • 深度研究
  • 学术资讯
  • Suppr Zotero 插件Zotero 插件
  • 邀请有礼
  • 套餐&价格
  • 历史记录
应用&插件
Suppr Zotero 插件Zotero 插件浏览器插件Mac 客户端Windows 客户端微信小程序
定价
高级版会员购买积分包购买API积分包
服务
文献检索文档翻译深度研究API 文档MCP 服务
关于我们
关于 Suppr公司介绍联系我们用户协议隐私条款
关注我们

Suppr 超能文献

核心技术专利:CN118964589B侵权必究
粤ICP备2023148730 号-1Suppr @ 2026

文献检索

告别复杂PubMed语法,用中文像聊天一样搜索,搜遍4000万医学文献。AI智能推荐,让科研检索更轻松。

立即免费搜索

文件翻译

保留排版,准确专业,支持PDF/Word/PPT等文件格式,支持 12+语言互译。

免费翻译文档

深度研究

AI帮你快速写综述,25分钟生成高质量综述,智能提取关键信息,辅助科研写作。

立即免费体验

合成双链 RNA 增强哮喘大鼠模型的气道炎症和重塑。

Synthetic double-stranded RNA enhances airway inflammation and remodelling in a rat model of asthma.

机构信息

Department of Integrated Pulmonology, Tokyo Medical and Dental University, Tokyo, Japan.

出版信息

Immunology. 2011 Oct;134(2):140-50. doi: 10.1111/j.1365-2567.2011.03473.x.

DOI:10.1111/j.1365-2567.2011.03473.x
PMID:21896009
原文链接:https://pmc.ncbi.nlm.nih.gov/articles/PMC3194222/
Abstract

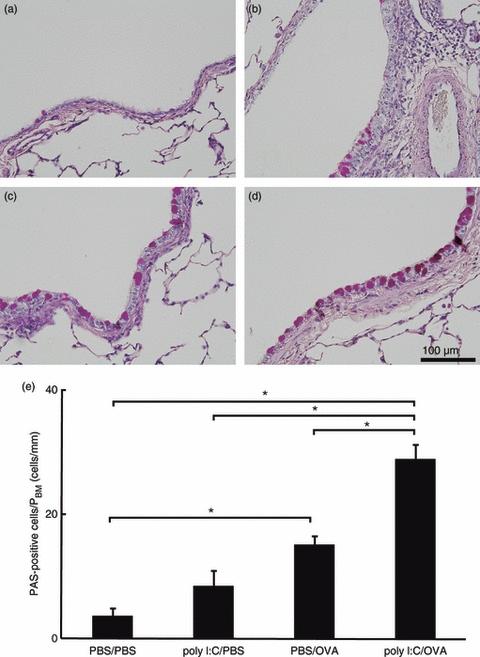
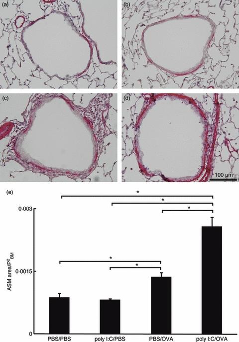
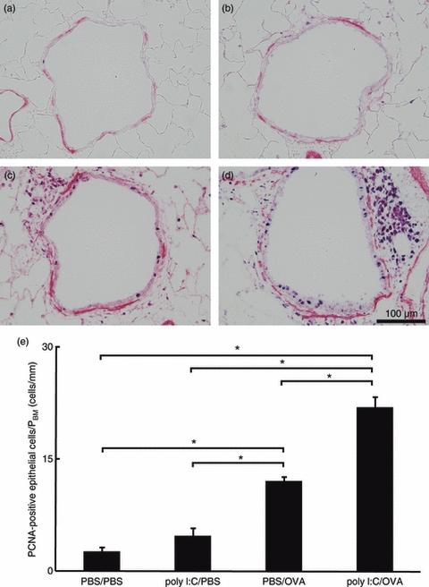
Respiratory viral infections are frequently associated with exacerbations of asthma. Double-stranded RNA (dsRNA) produced during viral infections may be one of the stimuli for exacerbation. We aimed to assess the potential effect of dsRNA on certain aspects of chronic asthma through the administration of polyinosine-polycytidylic acid (poly I:C), synthetic dsRNA, to a rat model of asthma. Brown Norway rats were sensitized to ovalbumin and challenged three times to evoke airway remodelling. The effect of poly I:C on the ovalbumin-induced airway inflammation and structural changes was assessed from bronchoalveolar lavage fluid and histological findings. The expression of cytokines and chemokines was evaluated by real-time quantitative reverse transcription PCR and ELISA. Ovalbumin-challenged animals showed an increased number of total cells and eosinophils in bronchoalveolar lavage fluid compared with PBS-challenged controls. Ovalbumin-challenged animals treated with poly I:C showed an increased number of total cells and neutrophils in bronchoalveolar lavage fluid compared with those without poly I:C treatment. Ovalbumin-challenged animals showed goblet cell hyperplasia, increased airway smooth muscle mass, and proliferation of both airway epithelial cells and airway smooth muscle cells. Treatment with poly I:C enhanced these structural changes. Among the cytokines and chemokines examined, the expression of interleukins 12 and 17 and of transforming growth factor-β(1) in ovalbumin-challenged animals treated with poly I:C was significantly increased compared with those of the other groups. Double-stranded RNA enhanced airway inflammation and remodelling in a rat model of bronchial asthma. These observations suggest that viral infections may promote airway remodelling.

摘要

呼吸道病毒感染常与哮喘加重有关。病毒感染期间产生的双链 RNA(dsRNA)可能是加重的刺激因素之一。我们旨在通过给予双链 RNA 合成物聚肌苷酸-聚胞苷酸(poly I:C)来评估 dsRNA 对哮喘慢性期某些方面的潜在影响,将其应用于哮喘大鼠模型中。棕色挪威大鼠对卵清蛋白致敏,并进行三次激发以诱发气道重塑。通过支气管肺泡灌洗液和组织学发现评估 poly I:C 对卵清蛋白诱导的气道炎症和结构变化的影响。通过实时定量逆转录 PCR 和 ELISA 评估细胞因子和趋化因子的表达。与 PBS 激发对照组相比,卵清蛋白激发的动物的支气管肺泡灌洗液中的总细胞和嗜酸性粒细胞数量增加。与没有 poly I:C 治疗的动物相比,用 poly I:C 治疗的卵清蛋白激发的动物的支气管肺泡灌洗液中的总细胞和中性粒细胞数量增加。卵清蛋白激发的动物表现出杯状细胞增生、气道平滑肌质量增加以及气道上皮细胞和气道平滑肌细胞的增殖。用 poly I:C 治疗增强了这些结构变化。在所检查的细胞因子和趋化因子中,与其他组相比,poly I:C 治疗的卵清蛋白激发的动物中白细胞介素 12 和 17 以及转化生长因子-β(1)的表达显著增加。双链 RNA 增强了支气管哮喘大鼠模型中的气道炎症和重塑。这些观察结果表明,病毒感染可能促进气道重塑。

https://cdn.ncbi.nlm.nih.gov/pmc/blobs/25d5/3194222/e17c8ee3aff9/imm0134-0140-f8.jpg
https://cdn.ncbi.nlm.nih.gov/pmc/blobs/25d5/3194222/c01d874d13b7/imm0134-0140-f1.jpg
https://cdn.ncbi.nlm.nih.gov/pmc/blobs/25d5/3194222/2b74180a3340/imm0134-0140-f2.jpg
https://cdn.ncbi.nlm.nih.gov/pmc/blobs/25d5/3194222/1ff14e9f154b/imm0134-0140-f3.jpg
https://cdn.ncbi.nlm.nih.gov/pmc/blobs/25d5/3194222/07eb7595d84b/imm0134-0140-f4.jpg
https://cdn.ncbi.nlm.nih.gov/pmc/blobs/25d5/3194222/07d8fb3fcbb6/imm0134-0140-f5.jpg
https://cdn.ncbi.nlm.nih.gov/pmc/blobs/25d5/3194222/7ee99986f970/imm0134-0140-f6.jpg
https://cdn.ncbi.nlm.nih.gov/pmc/blobs/25d5/3194222/5d992d341ae4/imm0134-0140-f7.jpg
https://cdn.ncbi.nlm.nih.gov/pmc/blobs/25d5/3194222/e17c8ee3aff9/imm0134-0140-f8.jpg
https://cdn.ncbi.nlm.nih.gov/pmc/blobs/25d5/3194222/c01d874d13b7/imm0134-0140-f1.jpg
https://cdn.ncbi.nlm.nih.gov/pmc/blobs/25d5/3194222/2b74180a3340/imm0134-0140-f2.jpg
https://cdn.ncbi.nlm.nih.gov/pmc/blobs/25d5/3194222/1ff14e9f154b/imm0134-0140-f3.jpg
https://cdn.ncbi.nlm.nih.gov/pmc/blobs/25d5/3194222/07eb7595d84b/imm0134-0140-f4.jpg
https://cdn.ncbi.nlm.nih.gov/pmc/blobs/25d5/3194222/07d8fb3fcbb6/imm0134-0140-f5.jpg
https://cdn.ncbi.nlm.nih.gov/pmc/blobs/25d5/3194222/7ee99986f970/imm0134-0140-f6.jpg
https://cdn.ncbi.nlm.nih.gov/pmc/blobs/25d5/3194222/5d992d341ae4/imm0134-0140-f7.jpg
https://cdn.ncbi.nlm.nih.gov/pmc/blobs/25d5/3194222/e17c8ee3aff9/imm0134-0140-f8.jpg

相似文献

1
Synthetic double-stranded RNA enhances airway inflammation and remodelling in a rat model of asthma.合成双链 RNA 增强哮喘大鼠模型的气道炎症和重塑。
Immunology. 2011 Oct;134(2):140-50. doi: 10.1111/j.1365-2567.2011.03473.x.
2
The presence of LPS in OVA inhalations affects airway inflammation and AHR but not remodeling in a rodent model of asthma.OVA 吸入物中 LPS 的存在会影响气道炎症和 AHR,但不会影响哮喘啮齿动物模型的重塑。
Am J Physiol Lung Cell Mol Physiol. 2012 Jul 1;303(1):L54-63. doi: 10.1152/ajplung.00208.2011. Epub 2012 Apr 20.
3
Effect of TLR3/dsRNA complex inhibitor on Poly(I:C)-induced airway inflammation in Swiss albino mice.Toll样受体3/双链RNA复合物抑制剂对聚肌苷酸-聚胞苷酸诱导的瑞士白化小鼠气道炎症的影响。
Environ Sci Pollut Res Int. 2023 Feb;30(10):28118-28132. doi: 10.1007/s11356-022-23987-6. Epub 2022 Nov 17.
4
Sites of allergic airway smooth muscle remodeling and hyperresponsiveness are not associated in the rat.在大鼠中,过敏气道平滑肌重塑和高反应性的部位并不相关。
J Appl Physiol (1985). 2010 Oct;109(4):1170-8. doi: 10.1152/japplphysiol.01168.2009. Epub 2010 Jul 22.
5
Inhaled dsRNA and rhinovirus evoke neutrophilic exacerbation and lung expression of thymic stromal lymphopoietin in allergic mice with established experimental asthma.吸入双链 RNA 和鼻病毒会在已建立实验性哮喘的过敏性小鼠中引发中性粒细胞加重和肺部胸腺基质淋巴细胞生成素的表达。
Allergy. 2014 Mar;69(3):348-58. doi: 10.1111/all.12329. Epub 2013 Nov 28.
6
Poly(ADP-ribose) polymerase inhibition with HYDAMTIQ reduces allergen-induced asthma-like reaction, bronchial hyper-reactivity and airway remodelling.使用HYDAMTIQ抑制聚(ADP-核糖)聚合酶可减轻变应原诱导的哮喘样反应、支气管高反应性和气道重塑。
J Cell Mol Med. 2014 Mar;18(3):468-79. doi: 10.1111/jcmm.12197. Epub 2014 Jan 20.
7
Chrysin alleviates allergic inflammation and airway remodeling in a murine model of chronic asthma.白杨素可减轻慢性哮喘小鼠模型中的过敏性炎症和气道重塑。
Int Immunopharmacol. 2016 Mar;32:24-31. doi: 10.1016/j.intimp.2016.01.005. Epub 2016 Jan 15.
8
Depletion of CD8+ T cells enhances airway remodelling in a rodent model of asthma.在哮喘啮齿动物模型中,CD8 + T细胞的耗竭会增强气道重塑。
Immunology. 2009 Jan;126(1):45-54. doi: 10.1111/j.1365-2567.2008.02876.x. Epub 2008 Jun 17.
9
MicroRNA-21 inhibition attenuates airway inflammation and remodelling by modulating the transforming growth factor β-Smad7 pathway.miRNA-21 抑制通过调节转化生长因子-β-Smad7 通路减轻气道炎症和重塑。
Korean J Intern Med. 2021 May;36(3):706-720. doi: 10.3904/kjim.2020.132. Epub 2021 Feb 18.
10
Effect of roflumilast on airway remodelling in a murine model of chronic asthma.罗氟司特对慢性哮喘小鼠模型气道重塑的影响。
Clin Exp Allergy. 2016 May;46(5):754-63. doi: 10.1111/cea.12670.

引用本文的文献

1
Alpha-bisabolol protects against neonatal asthma by suppressing airway inflammatory signaling.α-红没药醇通过抑制气道炎症信号传导预防新生儿哮喘。
Int J Med Sci. 2025 Jul 24;22(13):3429-3438. doi: 10.7150/ijms.96371. eCollection 2025.
2
Mendelian randomization analysis reveals causal relationship between allergic diseases and influenza.孟德尔随机化分析揭示了过敏性疾病与流感之间的因果关系。
World Allergy Organ J. 2025 Jun 7;18(7):101077. doi: 10.1016/j.waojou.2025.101077. eCollection 2025 Jul.
3
Poly I:C Exacerbates Airway Inflammation and Remodeling in Cigarette Smoke-Exposed Mice.

本文引用的文献

1
Rhinovirus infection induces extracellular matrix protein deposition in asthmatic and nonasthmatic airway smooth muscle cells.鼻病毒感染诱导哮喘和非哮喘气道平滑肌细胞细胞外基质蛋白沉积。
Am J Physiol Lung Cell Mol Physiol. 2011 Jun;300(6):L951-7. doi: 10.1152/ajplung.00411.2010. Epub 2011 Apr 1.
2
Rhinovirus infection induces expression of airway remodelling factors in vitro and in vivo.鼻病毒感染在体外和体内诱导气道重塑因子的表达。
Respirology. 2011 Feb;16(2):367-77. doi: 10.1111/j.1440-1843.2010.01918.x.
3
Role of inducible nitric oxide synthase on the development of virus-associated asthma exacerbation which is dependent on Th1 and Th17 cell responses.
聚肌胞苷酸加剧香烟暴露小鼠的气道炎症和重塑。
Lung. 2022 Dec;200(6):677-686. doi: 10.1007/s00408-022-00574-7. Epub 2022 Oct 21.
4
TL1A/DR3 Axis, A Key Target of TNF-a, Augments the Epithelial-Mesenchymal Transformation of Epithelial Cells in OVA-Induced Asthma.TL1A/DR3 轴作为 TNF-a 的关键靶点增强 OVA 诱导哮喘中上皮细胞的上皮-间充质转化。
Front Immunol. 2022 Mar 14;13:854995. doi: 10.3389/fimmu.2022.854995. eCollection 2022.
5
Influenza in Asthmatics: For Better or for Worse?哮喘患者的流感:是好是坏?
Front Immunol. 2018 Aug 10;9:1843. doi: 10.3389/fimmu.2018.01843. eCollection 2018.
6
Repetitive TLR3 activation in the lung induces skeletal muscle adaptations and cachexia.肺部 TLR3 的反复激活可引起骨骼肌适应性改变和恶病质。
Exp Gerontol. 2018 Jun;106:88-100. doi: 10.1016/j.exger.2018.02.002. Epub 2018 Feb 13.
7
Mouse Model of IL-17-Dominant Rhinitis Using Polyinosinic-Polycytidylic Acid.使用聚肌苷酸-聚胞苷酸构建白细胞介素-17主导型鼻炎小鼠模型。
Allergy Asthma Immunol Res. 2017 Nov;9(6):540-549. doi: 10.4168/aair.2017.9.6.540.
8
Effect of low-level laser therapy on allergic asthma in rats.低强度激光疗法对大鼠过敏性哮喘的影响。
Lasers Med Sci. 2014 May;29(3):1043-50. doi: 10.1007/s10103-013-1456-5. Epub 2013 Oct 26.
9
Dissociation of FK506-binding protein 12.6 kD from ryanodine receptor in bronchial smooth muscle cells in airway hyperresponsiveness in asthma.FK506 结合蛋白 12.6kD 从支气管平滑肌细胞中的 Ryanodine 受体解离与哮喘气道高反应性相关。
Am J Respir Cell Mol Biol. 2014 Feb;50(2):398-408. doi: 10.1165/rcmb.2013-0222OC.
诱导型一氧化氮合酶在病毒相关哮喘加重中的作用,其依赖于 Th1 和 Th17 细胞反应。
Exp Mol Med. 2010 Oct 31;42(10):721-30. doi: 10.3858/emm.2010.42.10.072.
4
Double-stranded RNA exacerbates pulmonary allergic reaction through TLR3: implication of airway epithelium and dendritic cells.双链 RNA 通过 TLR3 加重肺部过敏反应:气道上皮细胞和树突状细胞的作用。
J Immunol. 2010 Jul 1;185(1):451-9. doi: 10.4049/jimmunol.0902833. Epub 2010 May 26.
5
A viral PAMP double-stranded RNA induces allergen-specific Th17 cell response in the airways which is dependent on VEGF and IL-6.病毒模式识别分子双链 RNA 可在气道中诱导变应原特异性 Th17 细胞应答,该应答依赖于 VEGF 和 IL-6。
Allergy. 2010 Oct;65(10):1322-30. doi: 10.1111/j.1398-9995.2010.02369.x. Epub 2010 Apr 21.
6
Increased serum IL-17 is an independent risk factor for severe asthma.血清白介素-17 升高是哮喘严重程度的独立危险因素。
Respir Med. 2010 Aug;104(8):1131-7. doi: 10.1016/j.rmed.2010.02.018. Epub 2010 Mar 24.
7
Long-term activation of TLR3 by poly(I:C) induces inflammation and impairs lung function in mice.聚肌胞苷酸(poly(I:C))长期激活Toll样受体3(TLR3)会诱发炎症并损害小鼠的肺功能。
Respir Res. 2009 Jun 1;10(1):43. doi: 10.1186/1465-9921-10-43.
8
Activation of Toll-like receptor 3 augments myofibroblast differentiation.Toll样受体3的激活增强了肌成纤维细胞的分化。
Am J Respir Cell Mol Biol. 2009 Jun;40(6):654-62. doi: 10.1165/rcmb.2008-0371OC. Epub 2008 Nov 6.
9
Rhinovirus-induced major airway mucin production involves a novel TLR3-EGFR-dependent pathway.鼻病毒诱导的主要气道黏蛋白产生涉及一条新的Toll样受体3-表皮生长因子受体依赖性途径。
Am J Respir Cell Mol Biol. 2009 May;40(5):610-9. doi: 10.1165/rcmb.2008-0223OC. Epub 2008 Oct 31.
10
Toll-like receptor 2 agonist Pam3CSK4 enhances the induction of antigen-specific tolerance via the sublingual route.Toll样受体2激动剂Pam3CSK4通过舌下途径增强抗原特异性耐受性的诱导。
Clin Exp Allergy. 2008 Nov;38(11):1819-29. doi: 10.1111/j.1365-2222.2008.03056.x. Epub 2008 Jul 17.