• 文献检索
  • 文档翻译
  • 深度研究
  • 学术资讯
  • Suppr Zotero 插件Zotero 插件
  • 邀请有礼
  • 套餐&价格
  • 历史记录
应用&插件
Suppr Zotero 插件Zotero 插件浏览器插件Mac 客户端Windows 客户端微信小程序
定价
高级版会员购买积分包购买API积分包
服务
文献检索文档翻译深度研究API 文档MCP 服务
关于我们
关于 Suppr公司介绍联系我们用户协议隐私条款
关注我们

Suppr 超能文献

核心技术专利:CN118964589B侵权必究
粤ICP备2023148730 号-1Suppr @ 2026

文献检索

告别复杂PubMed语法,用中文像聊天一样搜索,搜遍4000万医学文献。AI智能推荐,让科研检索更轻松。

立即免费搜索

文件翻译

保留排版,准确专业,支持PDF/Word/PPT等文件格式,支持 12+语言互译。

免费翻译文档

深度研究

AI帮你快速写综述,25分钟生成高质量综述,智能提取关键信息,辅助科研写作。

立即免费体验

复发性鼻硬结病罕见病例的气道管理

Airway management of an unusual case of recurrent rhinoscleroma.

作者信息

D'souza Nita, Kulkarni Shilpa, Bhagwat Shama, Marolia Rusi

机构信息

Department of Anesthesiology, Ruby Hall Clinic, Pune, India.

出版信息

J Anaesthesiol Clin Pharmacol. 2011 Jul;27(3):389-92. doi: 10.4103/0970-9185.83690.

DOI:10.4103/0970-9185.83690
PMID:21897516
原文链接:https://pmc.ncbi.nlm.nih.gov/articles/PMC3161470/
Abstract

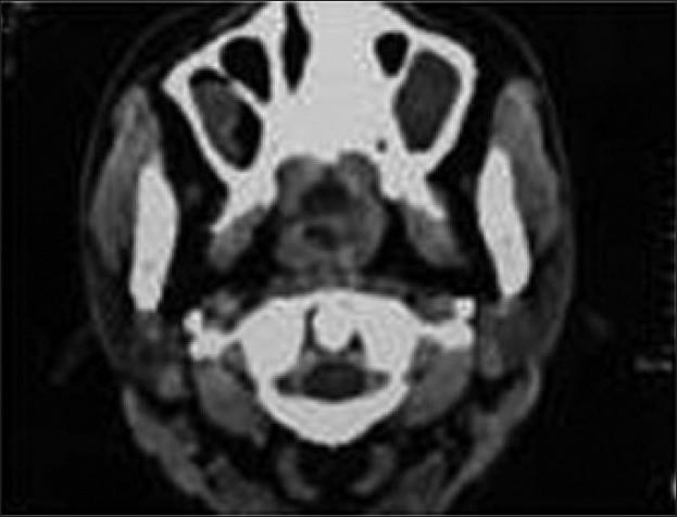
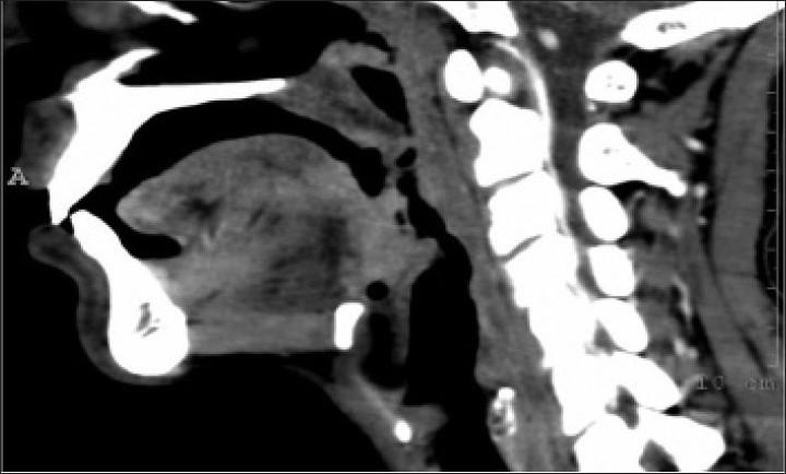
Rhinoscleroma is a rare entity encountered in anesthesia practice. We discuss the management of a patient after its recurrence, involving the upper respiratory tract i.e. nasopharynx and oropharynx, which compromised the airway. The pateint was referred for anesthesia on three different occasions with different presentations owing to the recurrence of symptoms.The presence of an oropharyngeal membrane with a small opening made airway management a challenge. The patient was successfully managed on all three occasions. Imaging facilitated assessment and subsequent airway management.

摘要

鼻硬结病是麻醉实践中遇到的一种罕见病症。我们讨论了一名患者复发后涉及上呼吸道即鼻咽和口咽的处理情况,这对上呼吸道造成了损害。由于症状复发,该患者在三个不同场合因不同表现被转诊接受麻醉。口咽膜存在且有一个小开口使得气道管理成为一项挑战。该患者在所有三次场合均得到了成功处理。影像学检查有助于评估及后续的气道管理。

https://cdn.ncbi.nlm.nih.gov/pmc/blobs/e986/3161470/c86f1bbbac2d/JOACP-27-389-g004.jpg
https://cdn.ncbi.nlm.nih.gov/pmc/blobs/e986/3161470/8baaf4217560/JOACP-27-389-g001.jpg
https://cdn.ncbi.nlm.nih.gov/pmc/blobs/e986/3161470/8d1807c7fe93/JOACP-27-389-g002.jpg
https://cdn.ncbi.nlm.nih.gov/pmc/blobs/e986/3161470/c72047e0c085/JOACP-27-389-g003.jpg
https://cdn.ncbi.nlm.nih.gov/pmc/blobs/e986/3161470/c86f1bbbac2d/JOACP-27-389-g004.jpg
https://cdn.ncbi.nlm.nih.gov/pmc/blobs/e986/3161470/8baaf4217560/JOACP-27-389-g001.jpg
https://cdn.ncbi.nlm.nih.gov/pmc/blobs/e986/3161470/8d1807c7fe93/JOACP-27-389-g002.jpg
https://cdn.ncbi.nlm.nih.gov/pmc/blobs/e986/3161470/c72047e0c085/JOACP-27-389-g003.jpg
https://cdn.ncbi.nlm.nih.gov/pmc/blobs/e986/3161470/c86f1bbbac2d/JOACP-27-389-g004.jpg

相似文献

1
Airway management of an unusual case of recurrent rhinoscleroma.复发性鼻硬结病罕见病例的气道管理
J Anaesthesiol Clin Pharmacol. 2011 Jul;27(3):389-92. doi: 10.4103/0970-9185.83690.
2
An Extensive Sinonasal Rhinoscleroma: A Rare Occurrence.广泛鼻窦硬结病:罕见病例
Indian J Otolaryngol Head Neck Surg. 2022 Dec;74(Suppl 3):4694-4698. doi: 10.1007/s12070-021-03014-9. Epub 2022 Jan 14.
3
Rhinoscleroma.硬结性多软骨炎。
Arch Pathol Lab Med. 2018 Dec;142(12):1533-1536. doi: 10.5858/arpa.2018-0073-RA. Epub 2018 Aug 31.
4
Rhinoscleroma causing upper airway obstruction.鼻硬结病导致上呼吸道阻塞。
Can Respir J. 2005 Jan-Feb;12(1):43-5. doi: 10.1155/2005/501457.
5
Rhinoscleroma of the sinuses.鼻窦硬结病
Rhinology. 2008 Dec;46(4):338-41.
6
Upper airway obstruction due to rhinoscleroma: case report.鼻硬结病导致上气道梗阻:病例报告
J Chemother. 2001 Apr;13 Suppl 1:69-72. doi: 10.1080/1120009x.2001.11782334.
7
A rare case of rhinoscleroma.一例罕见的鼻硬结病。
Indian J Otolaryngol Head Neck Surg. 1999 Dec;52(1):74-5. doi: 10.1007/BF02996441.
8
Airway obstruction secondary to rhinoscleroma during pregnancy.孕期因鼻硬结病导致的气道阻塞
Ear Nose Throat J. 1995 Nov;74(11):768-73.
9
Airway scleromas and their extensions.气道硬结症及其扩展
ANZ J Surg. 2016 Sep;86(9):670-4. doi: 10.1111/ans.13183. Epub 2015 May 26.
10
[Nasopharyngeal and oropharyngeal airway in obstructive sleep apnea syndrome, multi-plane operation application of perioperative].[阻塞性睡眠呼吸暂停综合征中鼻咽和口咽气道及围手术期多平面手术应用]
Lin Chuang Er Bi Yan Hou Tou Jing Wai Ke Za Zhi. 2011 Sep;25(18):830-3.

引用本文的文献

1
Rhinoscleroma: An Unusual Presentation.鼻硬结病:一种不寻常的表现。
Indian Dermatol Online J. 2018 May-Jun;9(3):191-193. doi: 10.4103/idoj.IDOJ_134_17.
2
Rhinoscleroma: a case series report and review of the literature.鼻硬结病:病例系列报告及文献综述
Eur Arch Otorhinolaryngol. 2014 Jul;271(7):1851-6. doi: 10.1007/s00405-013-2649-z. Epub 2013 Aug 1.

本文引用的文献

1
Rhinoscleroma: an updated experience through the last 10 years.鼻硬结病:过去十年的最新经验
Acta Otolaryngol. 2011 Apr;131(4):440-6. doi: 10.3109/00016489.2010.539264. Epub 2011 Jan 3.
2
Rhinoscleroma causing severe bilateral nasal obstruction.导致严重双侧鼻阻塞的硬结性类肉瘤病。
Braz J Infect Dis. 2010 Mar-Apr;14(2):190-2. doi: 10.1590/s1413-86702010000200015.
3
Klebsiella rhinoscleromatis of the membranous nasal septum.鼻中隔膜部的鼻硬结克雷伯菌。
J Laryngol Otol. 2007 Oct;121(10):998-1002. doi: 10.1017/S0022215107006421. Epub 2007 Mar 15.
4
Rhinoscleroma causing upper airway obstruction.鼻硬结病导致上呼吸道阻塞。
Can Respir J. 2005 Jan-Feb;12(1):43-5. doi: 10.1155/2005/501457.
5
Laryngotracheobronchial involvement in a patient with nonendemic rhinoscleroma.非地方性鼻硬结病患者的喉气管支气管受累情况
Chest. 2000 Jun;117(6):1795-8. doi: 10.1378/chest.117.6.1795.
6
MR appearance of rhinoscleroma.鼻硬结病的磁共振成像表现。
AJNR Am J Neuroradiol. 1999 Apr;20(4):575-8.
7
Rhinoscleroma with orbital extension: CT and MRI.伴有眼眶侵犯的鼻硬结病:CT与MRI表现
Neuroradiology. 1996 Feb;38(2):175-8. doi: 10.1007/BF00604813.
8
Two cases of barotrauma associated with transtracheal jet ventilation.两例与经气管喷射通气相关的气压伤。
Br J Anaesth. 1990 Apr;64(4):524-7. doi: 10.1093/bja/64.4.524.
9
Scleroma of the upper respiratory passages: a CT study.上呼吸道硬结症:一项CT研究。
J Laryngol Otol. 1991 Mar;105(3):198-202. doi: 10.1017/s0022215100115348.
10
Fibreoptic intubation in cicatricial membranes of the pharynx.咽瘢痕膜中的纤维光学插管法。
Anaesthesia. 1992 Jun;47(6):486-9. doi: 10.1111/j.1365-2044.1992.tb02271.x.