Suppr超能文献

实验感染猪中禽源和猪源流感病毒与唾液酸受体的分布。

Distribution of sialic acid receptors and influenza A virus of avian and swine origin in experimentally infected pigs.

机构信息

Division of Veterinary Diagnostics and Research, National Veterinary Institute, Technical University of Denmark, Bülowsvej 27, 1790 Copenhagen V, Denmark.

出版信息

Virol J. 2011 Sep 8;8:434. doi: 10.1186/1743-422X-8-434.

Abstract

BACKGROUND

Pigs are considered susceptible to influenza A virus infections from different host origins because earlier studies have shown that they have receptors for both avian (sialic acid-alpha-2,3-terminal saccharides (SA-alpha-2,3)) and swine/human (SA-alpha-2,6) influenza viruses in the upper respiratory tract. Furthermore, experimental and natural infections in pigs have been reported with influenza A virus from avian and human sources.

METHODS

This study investigated the receptor distribution in the entire respiratory tract of pigs using specific lectins Maackia Amurensis (MAA) I, and II, and Sambucus Nigra (SNA). Furthermore, the predilection sites of swine influenza virus (SIV) subtypes H1N1 and H1N2 as well as avian influenza virus (AIV) subtype H4N6 were investigated in the respiratory tract of experimentally infected pigs using immunohistochemical methods.

RESULTS

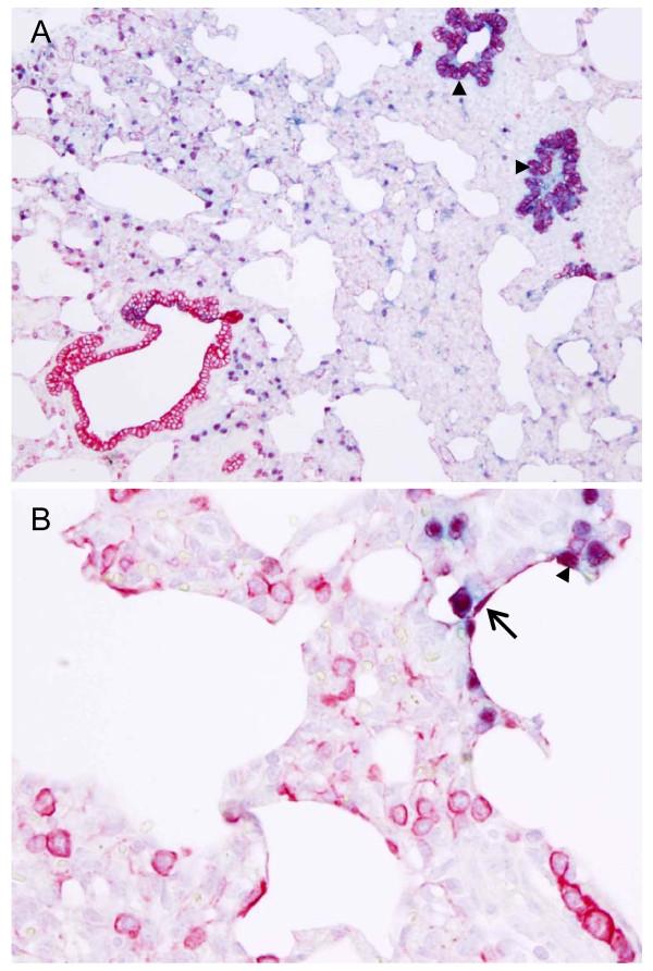
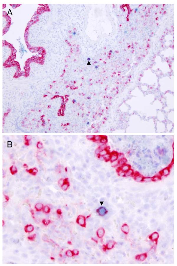
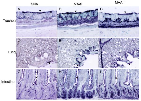
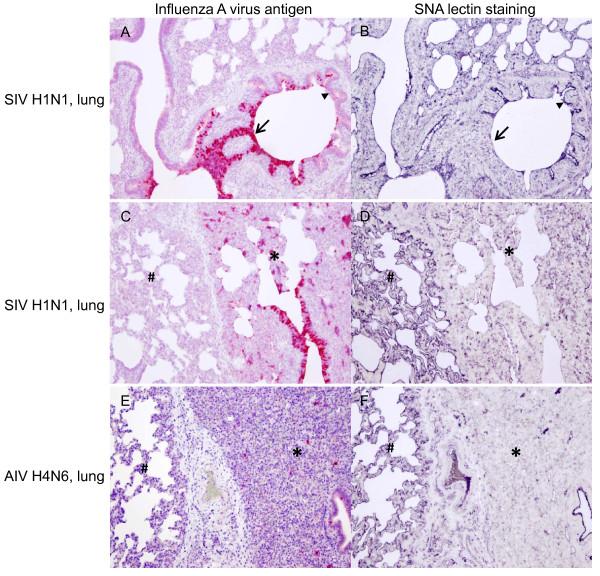
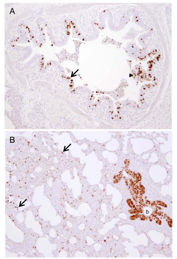
SIV antigen was widely distributed in bronchi, but was also present in epithelial cells of the nose, trachea, bronchioles, and alveolar type I and II epithelial cells in severely affected animals. AIV was found in the lower respiratory tract, especially in alveolar type II epithelial cells and occasionally in bronchiolar epithelial cells. SA-alpha-2,6 was the predominant receptor in all areas of the respiratory tract with an average of 80-100% lining at the epithelial cells. On the contrary, the SA-alpha-2,3 was not present (0%) at epithelial cells of nose, trachea, and most bronchi, but was found in small amounts in bronchioles, and in alveoli reaching an average of 20-40% at the epithelial cells. Interestingly, the receptor expression of both SA-alpha-2,3 and 2,6 was markedly diminished in influenza infected areas compared to non-infected areas.

CONCLUSIONS

A difference in predilection sites between SIV and AIV virus was found, and this difference was in accordance with the distribution of the SA-alpha-2,6 and SA-alpha-2,3 receptor, respectively. The results indicated that the distribution of influenza A virus receptors in pigs are similar to that of humans and therefore challenge the theory that the pig acts as a mixing vessel between human and avian influenza viruses. Furthermore, it was shown that AIV prefers to infect alveolar type II epithelial cells in pigs. This corresponds with findings in humans emphasising the resemblance between the two species.

摘要

背景

猪被认为易感染来自不同宿主的甲型流感病毒,因为早期研究表明,它们在上呼吸道具有禽(唾液酸-α-2,3-末端糖(SA-α-2,3))和猪/人(SA-α-2,6)流感病毒的受体。此外,已报道猪在实验和自然感染中感染了来自禽和人的甲型流感病毒。

方法

本研究使用特异性凝集素 Maackia Amurensis(MAA)I 和 II 以及 Sambucus Nigra(SNA)研究了猪整个呼吸道的受体分布。此外,使用免疫组织化学方法研究了实验感染猪的呼吸道中 H1N1 和 H1N2 亚型猪流感病毒(SIV)以及 H4N6 亚型禽流感病毒(AIV)的倾向性部位。

结果

SIV 抗原广泛分布于支气管,但在严重感染动物的鼻、气管、细支气管和肺泡 I 型和 II 型上皮细胞中也存在。AIV 存在于下呼吸道,特别是在肺泡 II 型上皮细胞中,偶尔也存在于细支气管上皮细胞中。SA-α-2,6 是呼吸道所有区域的主要受体,上皮细胞的平均覆盖率为 80-100%。相反,SA-α-2,3 在上皮细胞中不存在(0%)鼻、气管和大多数支气管,但在细支气管中存在少量,在上皮细胞中平均为 20-40%肺泡。有趣的是,与未感染区域相比,感染流感的区域中两种 SA-α-2,3 和 2,6 的受体表达明显减少。

结论

发现了 SIV 和 AIV 病毒的倾向性部位差异,这种差异与 SA-α-2,6 和 SA-α-2,3 受体的分布相对应。结果表明,猪中流感病毒 A 受体的分布与人类相似,因此挑战了猪作为人类和禽流感病毒混合容器的理论。此外,研究表明 AIV 更倾向于感染猪的肺泡 II 型上皮细胞。这与人类的发现相吻合,强调了这两个物种之间的相似性。

https://cdn.ncbi.nlm.nih.gov/pmc/blobs/eda4/3177912/02f3b76ca0c2/1743-422X-8-434-1.jpg

文献AI研究员

20分钟写一篇综述,助力文献阅读效率提升50倍。

立即体验

用中文搜PubMed

大模型驱动的PubMed中文搜索引擎

马上搜索

文档翻译

学术文献翻译模型,支持多种主流文档格式。

立即体验