• 文献检索
  • 文档翻译
  • 深度研究
  • 学术资讯
  • Suppr Zotero 插件Zotero 插件
  • 邀请有礼
  • 套餐&价格
  • 历史记录
应用&插件
Suppr Zotero 插件Zotero 插件浏览器插件Mac 客户端Windows 客户端微信小程序
定价
高级版会员购买积分包购买API积分包
服务
文献检索文档翻译深度研究API 文档MCP 服务
关于我们
关于 Suppr公司介绍联系我们用户协议隐私条款
关注我们

Suppr 超能文献

核心技术专利:CN118964589B侵权必究
粤ICP备2023148730 号-1Suppr @ 2026

文献检索

告别复杂PubMed语法,用中文像聊天一样搜索,搜遍4000万医学文献。AI智能推荐,让科研检索更轻松。

立即免费搜索

文件翻译

保留排版,准确专业,支持PDF/Word/PPT等文件格式,支持 12+语言互译。

免费翻译文档

深度研究

AI帮你快速写综述,25分钟生成高质量综述,智能提取关键信息,辅助科研写作。

立即免费体验

胰腺不定型黏液性囊腺瘤中骨巨细胞瘤样破骨细胞分化的癌:1 例男性病例报告及文献复习

A male case of an undifferentiated carcinoma with osteoclast-like giant cells originating in an indeterminate mucin-producing cystic neoplasm of the pancreas. A case report and review of the literature.

机构信息

Department of Surgery, Eiju General Hospital 2-23-16 Higashiueno Taitouku Tokyo 110-8645 Japan.

出版信息

World J Surg Oncol. 2011 Sep 8;9:100. doi: 10.1186/1477-7819-9-100.

DOI:10.1186/1477-7819-9-100
PMID:21902830
原文链接:https://pmc.ncbi.nlm.nih.gov/articles/PMC3186749/
Abstract

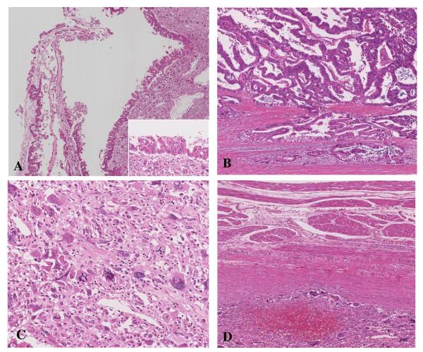
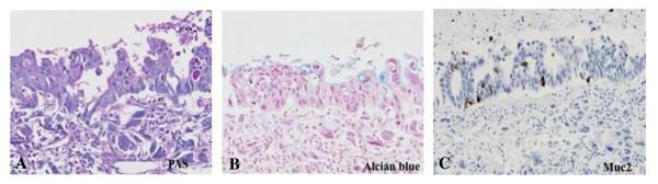
We report a rare male case of an undifferentiated carcinoma with osteoclast-like giant cells originating in an indeterminate mucin-producing cystic neoplasm of the pancreas. A 59-year-old Japanese man with diabetes visited our hospital, complaining of fullness in the upper abdomen. A laboratory analysis revealed anemia (Hemoglobin; 9.7 g/dl) and elevated C-reactive protein (3.01 mg/dl). Carbohydrate antigen 19-9 was 274 U/ml and Carcinoembryonic antigen was 29.6 ng/ml. A computed tomography scan of the abdomen revealed a 14-cm cystic mass in the upper left quadrant of the abdomen that appeared to originate from the pancreatic tail. The patient underwent distal pancreatectomy/splenectomy/total gastrectomy/cholecystectomy. The mass consisted of a multilocular cystic lesion. Microscopically, the cyst was lined by cuboidal or columnar epithelium, including mucinous epithelium. Sarcomatous mononuclear cells and multinucleated osteoclast-like giant cells were found in the stroma. Ovarian-type stroma was not seen. We made a diagnosis of osteoclast-like giant cell tumor originating in an indeterminate mucin-producing cystic neoplasm of the pancreas. All surgical margins were negative, however, two peripancreatic lymph nodes were positive. The patient recovered uneventfully. Two months after the operation, multiple metastases occurred in the liver. He died 4 months after the operation.

摘要

我们报告了一例罕见的男性病例,其为源自胰腺不定型黏液性囊性肿瘤的伴有破骨样巨细胞的未分化癌。一名 59 岁的日本男性患有糖尿病,因上腹部饱胀感来我院就诊。实验室分析显示贫血(血红蛋白:9.7g/dl)和 C 反应蛋白升高(3.01mg/dl)。肿瘤标志物 19-9 为 274U/ml,癌胚抗原为 29.6ng/ml。腹部 CT 扫描显示左上腹部有一个 14cm 的囊性肿块,似乎起源于胰腺尾部。患者接受了胰体尾切除术/脾切除术/全胃切除术/胆囊切除术。肿块由多房囊性病变组成。显微镜下,囊壁由立方或柱状上皮组成,包括黏液性上皮。在基质中发现有肉瘤样单核细胞和多核破骨样巨细胞。未见卵巢样基质。我们诊断为源自胰腺不定型黏液性囊性肿瘤的破骨样巨细胞瘤。所有手术切缘均为阴性,但两个胰周淋巴结阳性。患者恢复顺利。术后 2 个月,肝脏多处转移。术后 4 个月死亡。

https://cdn.ncbi.nlm.nih.gov/pmc/blobs/3500/3186749/84537816c90b/1477-7819-9-100-5.jpg
https://cdn.ncbi.nlm.nih.gov/pmc/blobs/3500/3186749/9e8a09967559/1477-7819-9-100-1.jpg
https://cdn.ncbi.nlm.nih.gov/pmc/blobs/3500/3186749/876369f8f1a2/1477-7819-9-100-2.jpg
https://cdn.ncbi.nlm.nih.gov/pmc/blobs/3500/3186749/5cc3f66d7683/1477-7819-9-100-3.jpg
https://cdn.ncbi.nlm.nih.gov/pmc/blobs/3500/3186749/80fa63781283/1477-7819-9-100-4.jpg
https://cdn.ncbi.nlm.nih.gov/pmc/blobs/3500/3186749/84537816c90b/1477-7819-9-100-5.jpg
https://cdn.ncbi.nlm.nih.gov/pmc/blobs/3500/3186749/9e8a09967559/1477-7819-9-100-1.jpg
https://cdn.ncbi.nlm.nih.gov/pmc/blobs/3500/3186749/876369f8f1a2/1477-7819-9-100-2.jpg
https://cdn.ncbi.nlm.nih.gov/pmc/blobs/3500/3186749/5cc3f66d7683/1477-7819-9-100-3.jpg
https://cdn.ncbi.nlm.nih.gov/pmc/blobs/3500/3186749/80fa63781283/1477-7819-9-100-4.jpg
https://cdn.ncbi.nlm.nih.gov/pmc/blobs/3500/3186749/84537816c90b/1477-7819-9-100-5.jpg

相似文献

1
A male case of an undifferentiated carcinoma with osteoclast-like giant cells originating in an indeterminate mucin-producing cystic neoplasm of the pancreas. A case report and review of the literature.胰腺不定型黏液性囊腺瘤中骨巨细胞瘤样破骨细胞分化的癌:1 例男性病例报告及文献复习
World J Surg Oncol. 2011 Sep 8;9:100. doi: 10.1186/1477-7819-9-100.
2
An indeterminate mucin-producing cystic neoplasm containing an undifferentiated carcinoma with osteoclast-like giant cells: a case report of a rare association of pancreatic tumors.一种含有破骨细胞样巨细胞的未分化癌的黏液产生性囊性肿瘤:胰腺肿瘤罕见关联的病例报告
BMC Gastroenterol. 2015 Nov 18;15:161. doi: 10.1186/s12876-015-0391-2.
3
Huge undifferentiated carcinoma of the pancreas with osteoclast-like giant cells.伴有破骨细胞样巨细胞的胰腺巨大未分化癌。
World J Gastroenterol. 2014 Mar 14;20(10):2725-30. doi: 10.3748/wjg.v20.i10.2725.
4
Undifferentiated carcinoma with osteoclast-like giant cells arising in a mucinous cystic neoplasm of the pancreas.胰腺黏液性囊性肿瘤中出现的伴有破骨细胞样巨细胞的未分化癌。
Pathol Int. 2008 Jun;58(6):383-9. doi: 10.1111/j.1440-1827.2008.02240.x.
5
Undifferentiated carcinoma with osteoclast-like giant cells of the pancreas and periampullary region.胰腺和壶腹周围区域的伴有破骨细胞样巨细胞的未分化癌。
Cancer. 1998 Apr 1;82(7):1279-87. doi: 10.1002/(sici)1097-0142(19980401)82:7<1279::aid-cncr10>3.0.co;2-3.
6
[Undifferentiated carcinoma with osteoclast-like giant cells of the pancreas].胰腺未分化癌伴破骨细胞样巨细胞
Korean J Gastroenterol. 2006 Nov;48(5):355-9.
7
Huge pseudocyst of the pancreas caused by poorly differentiated invasive ductal adenocarcinoma with osteoclast-like giant cells: report of a case.低分化浸润性导管腺癌伴破骨细胞样巨细胞导致的巨大胰腺假性囊肿:病例报告
Hepatogastroenterology. 2007 Mar;54(74):599-601.
8
A case of osteoclast-like giant cell tumor of the pancreas associated with borderline mucinous cystic neoplasm.一例与交界性黏液性囊性肿瘤相关的胰腺破骨细胞样巨细胞瘤。
Pathol Oncol Res. 2009 Mar;15(1):129-31. doi: 10.1007/s12253-008-9053-9. Epub 2008 May 21.
9
Undifferentiated carcinoma of the pancreas with osteoclast-like giant cells: a rare case report and review of the literature.伴有破骨细胞样巨细胞的胰腺未分化癌:1例罕见病例报告及文献复习
Int J Clin Exp Pathol. 2015 Sep 1;8(9):11785-91. eCollection 2015.
10
Magnetic resonance imaging findings of undifferentiated carcinoma with osteoclast-like giant cells of pancreas.胰腺破骨细胞样巨细胞未分化癌的磁共振成像表现
Clin Imaging. 2016 Jan-Feb;40(1):148-51. doi: 10.1016/j.clinimag.2015.09.013. Epub 2015 Sep 24.

引用本文的文献

1
Undifferentiated carcinoma with osteoclast-like giant cells of the pancreas: a narrative review.胰腺破骨细胞样巨细胞未分化癌:一项叙述性综述
Front Oncol. 2024 Jun 19;14:1409197. doi: 10.3389/fonc.2024.1409197. eCollection 2024.
2
Undifferentiated carcinoma with osteoclast-like giant cells of the pancreas: An individual participant data meta-analysis.胰腺破骨细胞样巨细胞未分化癌:一项个体参与者数据荟萃分析。
Ann Hepatobiliary Pancreat Surg. 2024 May 31;28(2):125-133. doi: 10.14701/ahbps.23-161. Epub 2024 Feb 23.
3
Rare Solid Pancreatic Lesions on Cross-Sectional Imaging.

本文引用的文献

1
A case of osteoclast-like giant cell tumor of the pancreas associated with borderline mucinous cystic neoplasm.一例与交界性黏液性囊性肿瘤相关的胰腺破骨细胞样巨细胞瘤。
Pathol Oncol Res. 2009 Mar;15(1):129-31. doi: 10.1007/s12253-008-9053-9. Epub 2008 May 21.
2
Undifferentiated carcinoma with osteoclast-like giant cells arising in a mucinous cystic neoplasm of the pancreas.胰腺黏液性囊性肿瘤中出现的伴有破骨细胞样巨细胞的未分化癌。
Pathol Int. 2008 Jun;58(6):383-9. doi: 10.1111/j.1440-1827.2008.02240.x.
3
Anaplastic carcinoma of the pancreas associated with a mucinous cystic adenocarcinoma. A case report and review of the literature.
横断面成像上的罕见实性胰腺病变
Diagnostics (Basel). 2023 Aug 21;13(16):2719. doi: 10.3390/diagnostics13162719.
4
Undifferentiated carcinoma with osteoclast‑like giant cells of the pancreas: A case report.胰腺未分化癌伴破骨细胞样巨细胞:一例报告。
Oncol Lett. 2023 Apr 26;25(6):252. doi: 10.3892/ol.2023.13838. eCollection 2023 Jun.
5
Undifferentiated Carcinoma With Osteoclast-Like Giant Cells: A Rare Cause of Upper Gastrointestinal Bleeding.伴有破骨细胞样巨细胞的未分化癌:上消化道出血的罕见原因
ACG Case Rep J. 2023 Jan 25;10(1):e00975. doi: 10.14309/crj.0000000000000975. eCollection 2023 Jan.
6
Undifferentiated Carcinoma with Osteoclast-Like Giant Cells of the Common Bile Duct: A Case Report of a Rare Entity at an Unusual Location.肝外胆管未分化癌伴破骨细胞样巨细胞:罕见部位的罕见病例报告
Diagnostics (Basel). 2022 Jun 21;12(7):1517. doi: 10.3390/diagnostics12071517.
7
Single-cell RNA-seq reveals the genesis and heterogeneity of tumor microenvironment in pancreatic undifferentiated carcinoma with osteoclast-like giant-cells.单细胞 RNA 测序揭示具有破骨细胞样巨细胞的胰腺未分化癌中肿瘤微环境的发生和异质性。
Mol Cancer. 2022 Jun 22;21(1):133. doi: 10.1186/s12943-022-01596-8.
8
Undifferentiated Carcinoma of Pancreas with Osteoclast-Like Giant Cells: One Center's Experience of 13 Cases and Characteristic Pre-Operative Images.伴有破骨细胞样巨细胞的胰腺未分化癌:单中心13例经验及术前特征性影像表现
Cancer Manag Res. 2022 Apr 11;14:1409-1419. doi: 10.2147/CMAR.S349625. eCollection 2022.
9
Assessment and management of undifferentiated carcinoma with osteoclastic like giant cells of the pancreas: a case report and revision of literature.胰腺破骨细胞样巨细胞未分化癌的评估和处理:病例报告及文献复习。
BMC Gastroenterol. 2021 Jun 2;21(1):247. doi: 10.1186/s12876-021-01779-5.
10
Undifferentiated Pancreatic Carcinoma With Osteoclast-Like Giant Cells: What Do We Know So Far?伴有破骨细胞样巨细胞的未分化胰腺癌:我们目前了解多少?
Front Oncol. 2021 Mar 5;11:630086. doi: 10.3389/fonc.2021.630086. eCollection 2021.
胰腺间变性癌合并黏液性囊性腺癌。病例报告及文献复习。
JOP. 2007 Nov 9;8(6):775-82.
4
International consensus guidelines for management of intraductal papillary mucinous neoplasms and mucinous cystic neoplasms of the pancreas.胰腺导管内乳头状黏液性肿瘤和黏液性囊性肿瘤管理的国际共识指南。
Pancreatology. 2006;6(1-2):17-32. doi: 10.1159/000090023.
5
Osteoclast-like giant cell tumor of the pancreas associated with mucus-secreting adenocarcinoma. Case report and discussion of the histogenesis.胰腺破骨细胞样巨细胞瘤伴黏液分泌性腺癌。病例报告及组织发生学讨论。
Pancreatology. 2005;5(2-3):279-84. doi: 10.1159/000085283. Epub 2005 Apr 21.
6
Osteoclast-like giant cell tumor in mucinous cystadenocarcinoma of the pancreas: an immunohistochemical and molecular analysis.胰腺黏液性囊腺癌中的破骨细胞样巨细胞瘤:一项免疫组织化学和分子分析
Cancer Detect Prev. 2005;29(1):8-14. doi: 10.1016/j.cdp.2004.10.006. Epub 2005 Jan 24.
7
Recent topics in mucinous cystic tumor and intraductal papillary mucinous tumor of the pancreas.胰腺黏液性囊性肿瘤和导管内乳头状黏液性肿瘤的近期研究主题
J Hepatobiliary Pancreat Surg. 2003;10(2):123-4. doi: 10.1007/s00534-002-0815-6.
8
Osteoclast-like giant cell tumor of the pancreas associated with a mucinous cystadenocarcinoma.胰腺破骨细胞样巨细胞瘤伴黏液性囊腺癌
Surgery. 2003 Jun;133(6):700-1. doi: 10.1067/msy.2003.39.
9
Possible oncogenesis of mucinous cystic tumors of the pancreas lacking ovarian-like stroma.缺乏卵巢样间质的胰腺黏液性囊性肿瘤的可能致癌机制。
Pancreatology. 2002;2(4):413-20. doi: 10.1159/000065090.
10
An osteoclast-like giant cell tumor pattern in a mucinous cystadenocarcinoma of the pancreas with lymph node metastasis in a patient surviving over 10 years.一名存活超过10年的胰腺黏液性囊腺癌伴淋巴结转移患者出现破骨细胞样巨细胞瘤模式。
Virchows Arch. 2001 May;438(5):519-20. doi: 10.1007/s004280100404.