• 文献检索
  • 文档翻译
  • 深度研究
  • 学术资讯
  • Suppr Zotero 插件Zotero 插件
  • 邀请有礼
  • 套餐&价格
  • 历史记录
应用&插件
Suppr Zotero 插件Zotero 插件浏览器插件Mac 客户端Windows 客户端微信小程序
定价
高级版会员购买积分包购买API积分包
服务
文献检索文档翻译深度研究API 文档MCP 服务
关于我们
关于 Suppr公司介绍联系我们用户协议隐私条款
关注我们

Suppr 超能文献

核心技术专利:CN118964589B侵权必究
粤ICP备2023148730 号-1Suppr @ 2026

文献检索

告别复杂PubMed语法,用中文像聊天一样搜索,搜遍4000万医学文献。AI智能推荐,让科研检索更轻松。

立即免费搜索

文件翻译

保留排版,准确专业,支持PDF/Word/PPT等文件格式,支持 12+语言互译。

免费翻译文档

深度研究

AI帮你快速写综述,25分钟生成高质量综述,智能提取关键信息,辅助科研写作。

立即免费体验

利用压缩感知技术加速小鼠心脏 cine-MR 成像。

Accelerating cine-MR imaging in mouse hearts using compressed sensing.

机构信息

Institute of Radiology, University of Würzburg, Würzburg, Germany.

出版信息

J Magn Reson Imaging. 2011 Nov;34(5):1072-9. doi: 10.1002/jmri.22718. Epub 2011 Sep 19.

DOI:10.1002/jmri.22718
PMID:21932360
原文链接:https://pmc.ncbi.nlm.nih.gov/articles/PMC3261377/
Abstract

PURPOSE

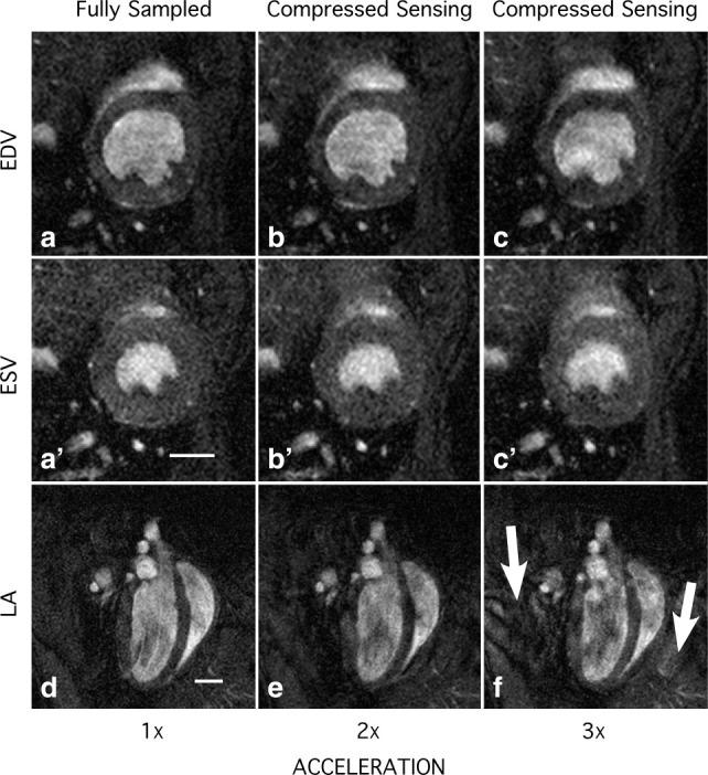
To combine global cardiac function imaging with compressed sensing (CS) in order to reduce scan time and to validate this technique in normal mouse hearts and in a murine model of chronic myocardial infarction.

MATERIALS AND METHODS

To determine the maximally achievable acceleration factor, fully acquired cine data, obtained in sham and chronically infarcted (MI) mouse hearts were 2-4-fold undersampled retrospectively, followed by CS reconstruction and blinded image segmentation. Subsequently, dedicated CS sampling schemes were implemented at a preclinical 9.4 T magnetic resonance imaging (MRI) system, and 2- and 3-fold undersampled cine data were acquired in normal mouse hearts with high temporal and spatial resolution.

RESULTS

The retrospective analysis demonstrated that an undersampling factor of three is feasible without impairing accuracy of cardiac functional parameters. Dedicated CS sampling schemes applied prospectively to normal mouse hearts yielded comparable left-ventricular functional parameters, and intra- and interobserver variability between fully and 3-fold undersampled data.

CONCLUSION

This study introduces and validates an alternative means to speed up experimental cine-MRI without the need for expensive hardware.

摘要

目的

将心脏功能整体成像与压缩感知(CS)相结合,以缩短扫描时间,并在正常小鼠心脏和慢性心肌梗死小鼠模型中验证该技术。

材料与方法

为确定最大可实现的加速因子,对假手术和慢性梗死(MI)小鼠心脏的全采集电影数据进行了 2-4 倍的回顾性欠采样,随后进行 CS 重建和盲法图像分割。随后,在临床前 9.4 T 磁共振成像(MRI)系统上实施了专用 CS 采样方案,并在具有高时间和空间分辨率的正常小鼠心脏中采集了 2 倍和 3 倍欠采样的电影数据。

结果

回顾性分析表明,在不影响心脏功能参数准确性的情况下,三分之一的欠采样因子是可行的。前瞻性应用于正常小鼠心脏的专用 CS 采样方案得出了可比的左心室功能参数,以及完全和 3 倍欠采样数据之间的观察者内和观察者间的可变性。

结论

本研究介绍并验证了一种替代方法,可在不使用昂贵硬件的情况下加速实验性电影-MRI。

https://cdn.ncbi.nlm.nih.gov/pmc/blobs/eadc/3261377/b6bbb8698775/jmri0034-1072-f6.jpg
https://cdn.ncbi.nlm.nih.gov/pmc/blobs/eadc/3261377/a98748588258/jmri0034-1072-f1.jpg
https://cdn.ncbi.nlm.nih.gov/pmc/blobs/eadc/3261377/1475ec0daadd/jmri0034-1072-f2.jpg
https://cdn.ncbi.nlm.nih.gov/pmc/blobs/eadc/3261377/864cd007bc09/jmri0034-1072-f3.jpg
https://cdn.ncbi.nlm.nih.gov/pmc/blobs/eadc/3261377/aad29bbff789/jmri0034-1072-f4.jpg
https://cdn.ncbi.nlm.nih.gov/pmc/blobs/eadc/3261377/f8d82ef483c0/jmri0034-1072-f5.jpg
https://cdn.ncbi.nlm.nih.gov/pmc/blobs/eadc/3261377/b6bbb8698775/jmri0034-1072-f6.jpg
https://cdn.ncbi.nlm.nih.gov/pmc/blobs/eadc/3261377/a98748588258/jmri0034-1072-f1.jpg
https://cdn.ncbi.nlm.nih.gov/pmc/blobs/eadc/3261377/1475ec0daadd/jmri0034-1072-f2.jpg
https://cdn.ncbi.nlm.nih.gov/pmc/blobs/eadc/3261377/864cd007bc09/jmri0034-1072-f3.jpg
https://cdn.ncbi.nlm.nih.gov/pmc/blobs/eadc/3261377/aad29bbff789/jmri0034-1072-f4.jpg
https://cdn.ncbi.nlm.nih.gov/pmc/blobs/eadc/3261377/f8d82ef483c0/jmri0034-1072-f5.jpg
https://cdn.ncbi.nlm.nih.gov/pmc/blobs/eadc/3261377/b6bbb8698775/jmri0034-1072-f6.jpg

相似文献

1
Accelerating cine-MR imaging in mouse hearts using compressed sensing.利用压缩感知技术加速小鼠心脏 cine-MR 成像。
J Magn Reson Imaging. 2011 Nov;34(5):1072-9. doi: 10.1002/jmri.22718. Epub 2011 Sep 19.
2
Accelerated magnetic resonance imaging tissue phase mapping of the rat myocardium using compressed sensing with iterative soft-thresholding.采用基于迭代软阈值的压缩感知技术加速大鼠心肌的磁共振成像组织相位图绘制。
PLoS One. 2019 Jul 5;14(7):e0218874. doi: 10.1371/journal.pone.0218874. eCollection 2019.
3
Accelerated high-frame-rate mouse heart cine-MRI using compressed sensing reconstruction.使用压缩感知重建的加速高帧率小鼠心脏电影磁共振成像
NMR Biomed. 2013 Apr;26(4):451-7. doi: 10.1002/nbm.2883. Epub 2012 Oct 29.
4
Whole-heart cine MRI in a single breath-hold--a compressed sensing accelerated 3D acquisition technique for assessment of cardiac function.单次屏气全心 cine MRI——一种用于评估心脏功能的压缩感知加速 3D 采集技术。
Rofo. 2014 Jan;186(1):37-41. doi: 10.1055/s-0033-1350521. Epub 2013 Aug 30.
5
Application of kt-BLAST acceleration to reduce cardiac MR imaging time in healthy and infarcted mice.应用kt-BLAST加速技术减少健康和梗死小鼠的心脏磁共振成像时间。
MAGMA. 2014 Jun;27(3):201-10. doi: 10.1007/s10334-013-0392-5. Epub 2013 Jul 9.
6
Development of Real-Time Magnetic Resonance Imaging of Mouse Hearts at 9.4 Tesla--Simulations and First Application.9.4特斯拉小鼠心脏实时磁共振成像的发展——模拟与首次应用
IEEE Trans Med Imaging. 2016 Mar;35(3):912-20. doi: 10.1109/TMI.2015.2501832. Epub 2015 Nov 19.
7
Accelerating three-dimensional molecular cardiovascular MR imaging using compressed sensing.利用压缩感知技术加速三维分子心血管磁共振成像。
J Magn Reson Imaging. 2012 Dec;36(6):1362-71. doi: 10.1002/jmri.23763. Epub 2012 Aug 3.
8
Comparison of segmentation methods for MRI measurement of cardiac function in rats.MRI 测量大鼠心功能的分割方法比较。
J Magn Reson Imaging. 2010 Oct;32(4):869-77. doi: 10.1002/jmri.22305.
9
Accelerated two-dimensional cine DENSE cardiovascular magnetic resonance using compressed sensing and parallel imaging.使用压缩感知和平行成像的加速二维电影 DENSE 心血管磁共振成像
J Cardiovasc Magn Reson. 2016 Jun 14;18(1):38. doi: 10.1186/s12968-016-0253-2.
10
Compressed sensing cine imaging with high spatial or high temporal resolution for analysis of left ventricular function.用于分析左心室功能的具有高空间或高时间分辨率的压缩感知电影成像。
J Magn Reson Imaging. 2016 Aug;44(2):366-74. doi: 10.1002/jmri.25162. Epub 2016 Jan 20.

引用本文的文献

1
Cardiovascular magnetic resonance imaging for sequential assessment of cardiac fibrosis in mice: technical advancements and reverse translation.心血管磁共振成像用于小鼠心脏纤维化的序贯评估:技术进展和反向翻译。
Am J Physiol Heart Circ Physiol. 2024 Jan 1;326(1):H1-H24. doi: 10.1152/ajpheart.00437.2023. Epub 2023 Nov 3.
2
Measuring cardiomyocyte cellular characteristics in cardiac hypertrophy using diffusion-weighted MRI.应用扩散加权 MRI 测量心肌肥厚中的心肌细胞特征。
Magn Reson Med. 2023 Nov;90(5):2144-2157. doi: 10.1002/mrm.29775. Epub 2023 Jun 22.
3
Synergistic effect on cardiac energetics by targeting the creatine kinase system: in vivo application of high-resolution P-CMRS in the mouse.

本文引用的文献

1
Accelerated cardiac magnetic resonance imaging in the mouse using an eight-channel array at 9.4 Tesla.在 9.4T 场强下使用 8 通道阵列加速小鼠心脏磁共振成像。
Magn Reson Med. 2011 Jan;65(1):60-70. doi: 10.1002/mrm.22605.
2
Accelerated cardiovascular magnetic resonance of the mouse heart using self-gated parallel imaging strategies does not compromise accuracy of structural and functional measures.使用自门控并行成像策略加速小鼠心脏心血管磁共振成像不会影响结构和功能测量的准确性。
J Cardiovasc Magn Reson. 2010 Jul 21;12(1):43. doi: 10.1186/1532-429X-12-43.
3
[High-resolution functional cardiac MR imaging using density-weighted real-time acquisition and a combination of compressed sensing and parallel imaging for image reconstruction].
靶向肌酸激酶系统对心脏能量代谢的协同作用:在小鼠中应用高分辨率 P-CMRS 的体内研究。
J Cardiovasc Magn Reson. 2023 Feb 6;25(1):6. doi: 10.1186/s12968-023-00911-6.
4
Free-breathing multitasking multi-echo MRI for whole-liver water-specific T , proton density fat fraction, and quantification.自由呼吸多任务多回波 MRI 用于全肝水特异性 T1、质子密度脂肪分数和定量。
Magn Reson Med. 2022 Jan;87(1):120-137. doi: 10.1002/mrm.28970. Epub 2021 Aug 21.
5
Feasibility of contrast-enhanced coronary artery magnetic resonance angiography using compressed sensing.应用压缩感知技术行冠状动脉磁共振血管造影的可行性研究。
J Cardiovasc Magn Reson. 2020 Feb 13;22(1):15. doi: 10.1186/s12968-020-0601-0.
6
Accelerated magnetic resonance imaging tissue phase mapping of the rat myocardium using compressed sensing with iterative soft-thresholding.采用基于迭代软阈值的压缩感知技术加速大鼠心肌的磁共振成像组织相位图绘制。
PLoS One. 2019 Jul 5;14(7):e0218874. doi: 10.1371/journal.pone.0218874. eCollection 2019.
7
Quantitative 3D dynamic contrast-enhanced (DCE) MR imaging of carotid vessel wall by fast T1 mapping using Multitasking.多任务快速 T1 映射定量 3D 动态对比增强磁共振成像在颈动脉管壁成像中的应用
Magn Reson Med. 2019 Apr;81(4):2302-2314. doi: 10.1002/mrm.27553. Epub 2018 Oct 28.
8
Rapid dynamic contrast-enhanced MRI for small animals at 7T using 3D ultra-short echo time and golden-angle radial sparse parallel MRI.小动物 7T 场下使用 3D 超短回波时间和黄金角径向稀疏并行 MRI 进行快速动态对比增强磁共振成像。
Magn Reson Med. 2019 Jan;81(1):140-152. doi: 10.1002/mrm.27357. Epub 2018 Jul 29.
9
Three-dimensional self-gated cardiac MR imaging for the evaluation of myocardial infarction in mouse model on a 3T clinical MR system.在3T临床磁共振系统上使用三维自门控心脏磁共振成像评估小鼠模型中的心肌梗死
PLoS One. 2017 Dec 7;12(12):e0189286. doi: 10.1371/journal.pone.0189286. eCollection 2017.
10
Compressed sensing real-time cine cardiovascular magnetic resonance: accurate assessment of left ventricular function in a single-breath-hold.压缩感知实时电影心血管磁共振成像:单次屏气下对左心室功能的准确评估
J Cardiovasc Magn Reson. 2016 Aug 24;18(1):50. doi: 10.1186/s12968-016-0271-0.
[使用密度加权实时采集以及压缩感知与并行成像相结合的方法进行图像重建的高分辨率心脏功能磁共振成像]
Rofo. 2010 Aug;182(8):676-81. doi: 10.1055/s-0029-1245504. Epub 2010 Jun 18.
4
Resolution of Crossing Fibers with Constrained Compressed Sensing using Traditional Diffusion Tensor MRI.使用传统扩散张量磁共振成像通过约束压缩感知解析交叉纤维。
Proc SPIE Int Soc Opt Eng. 2010;7623:76231H. doi: 10.1117/12.844171.
5
Multiple-mouse MRI with multiple arrays of receive coils.多鼠磁共振成像与多接收线圈阵列。
Magn Reson Med. 2010 Mar;63(3):803-10. doi: 10.1002/mrm.22236.
6
3D compressed sensing for highly accelerated hyperpolarized (13)C MRSI with in vivo applications to transgenic mouse models of cancer.三维压缩感知在高度加速的(13)C 高极化磁共振波谱成像中的应用,及其在癌症转基因小鼠模型中的体内应用。
Magn Reson Med. 2010 Feb;63(2):312-21. doi: 10.1002/mrm.22233.
7
Optimization of k-space trajectories for compressed sensing by Bayesian experimental design.通过贝叶斯实验设计优化用于压缩感知的k空间轨迹
Magn Reson Med. 2010 Jan;63(1):116-26. doi: 10.1002/mrm.22180.
8
Radial k-t FOCUSS for high-resolution cardiac cine MRI.用于高分辨率心脏电影磁共振成像的径向k-t FOCUSS技术
Magn Reson Med. 2010 Jan;63(1):68-78. doi: 10.1002/mrm.22172.
9
k-t FOCUSS: a general compressed sensing framework for high resolution dynamic MRI.k-t FOCUSS:一种用于高分辨率动态磁共振成像的通用压缩感知框架。
Magn Reson Med. 2009 Jan;61(1):103-16. doi: 10.1002/mrm.21757.
10
Ultra-fast and accurate assessment of cardiac function in rats using accelerated MRI at 9.4 Tesla.使用9.4特斯拉加速磁共振成像对大鼠心脏功能进行超快速和准确评估。
Magn Reson Med. 2008 Mar;59(3):636-41. doi: 10.1002/mrm.21491.