Suppr超能文献

凋亡诱导因子调节骨骼肌祖细胞数量和肌肉表型。

Apoptosis-inducing factor regulates skeletal muscle progenitor cell number and muscle phenotype.

机构信息

Centre d'Etude de la Sensori-Motricité, UMR 8194 CNRS, Université Paris Descartes, Centre Universitaire des Saints-Pères, Paris, France.

出版信息

PLoS One. 2011;6(11):e27283. doi: 10.1371/journal.pone.0027283. Epub 2011 Nov 4.

Abstract

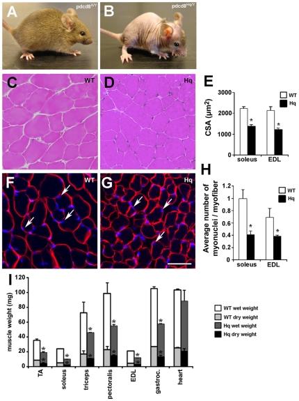
Apoptosis Inducing Factor (AIF) is a highly conserved, ubiquitous flavoprotein localized in the mitochondrial intermembrane space. In vivo, AIF provides protection against neuronal and cardiomyocyte apoptosis induced by oxidative stress. Conversely in vitro, AIF has been demonstrated to have a pro-apoptotic role upon induction of the mitochondrial death pathway, once AIF translocates to the nucleus where it facilitates chromatin condensation and large scale DNA fragmentation. Given that the aif hypomorphic harlequin (Hq) mutant mouse model displays severe sarcopenia, we examined skeletal muscle from the aif hypomorphic mice in more detail. Adult AIF-deficient skeletal myofibers display oxidative stress and a severe form of atrophy, associated with a loss of myonuclei and a fast to slow fiber type switch, both in "slow" muscles such as soleus, as well as in "fast" muscles such as extensor digitorum longus, most likely resulting from an increase of MEF2 activity. This fiber type switch was conserved in regenerated soleus and EDL muscles of Hq mice subjected to cardiotoxin injection. In addition, muscle regeneration in soleus and EDL muscles of Hq mice was severely delayed. Freshly cultured myofibers, soleus and EDL muscle sections from Hq mice displayed a decreased satellite cell pool, which could be rescued by pretreating aif hypomorphic mice with the manganese-salen free radical scavenger EUK-8. Satellite cell activation seems to be abnormally long in Hq primary culture compared to controls. However, AIF deficiency did not affect myoblast cell proliferation and differentiation. Thus, AIF protects skeletal muscles against oxidative stress-induced damage probably by protecting satellite cells against oxidative stress and maintaining skeletal muscle stem cell number and activation.

摘要

凋亡诱导因子(AIF)是一种高度保守、普遍存在的黄素蛋白,定位于线粒体的膜间隙中。在体内,AIF 为神经元和心肌细胞提供保护,防止氧化应激诱导的细胞凋亡。相反,在体外,AIF 被证明在诱导线粒体死亡途径后具有促凋亡作用,一旦 AIF 转移到细胞核,它就会促进染色质凝聚和大规模的 DNA 片段化。鉴于 aif 低等位基因的 harlequin(Hq)突变体小鼠模型表现出严重的骨骼肌减少症,我们更详细地检查了 aif 低等位基因小鼠的骨骼肌。成年 AIF 缺陷型骨骼肌肌纤维表现出氧化应激和严重的萎缩形式,与肌核丢失和快肌向慢肌纤维类型转换有关,这种转换发生在“慢”肌,如比目鱼肌,以及“快”肌,如伸趾长肌,很可能是由于 MEF2 活性的增加。这种纤维类型转换在 Hq 小鼠接受心脏毒素注射后的再生比目鱼肌和伸趾长肌中得到保留。此外,Hq 小鼠比目鱼肌和伸趾长肌的肌肉再生严重延迟。新鲜培养的肌纤维、Hq 小鼠的比目鱼肌和伸趾长肌切片显示卫星细胞池减少,这可以通过用锰-西罗莫司自由基清除剂 EUK-8 预处理 aif 低等位基因小鼠来挽救。与对照组相比,Hq 原代培养中的卫星细胞激活似乎异常延长。然而,AIF 缺乏并不影响成肌细胞的增殖和分化。因此,AIF 通过保护卫星细胞免受氧化应激和维持骨骼肌干细胞数量和激活来保护骨骼肌免受氧化应激诱导的损伤。

https://cdn.ncbi.nlm.nih.gov/pmc/blobs/45c2/3208607/3a2e5004bfac/pone.0027283.g001.jpg

文献AI研究员

20分钟写一篇综述,助力文献阅读效率提升50倍。

立即体验

用中文搜PubMed

大模型驱动的PubMed中文搜索引擎

马上搜索

文档翻译

学术文献翻译模型,支持多种主流文档格式。

立即体验