• 文献检索
  • 文档翻译
  • 深度研究
  • 学术资讯
  • Suppr Zotero 插件Zotero 插件
  • 邀请有礼
  • 套餐&价格
  • 历史记录
应用&插件
Suppr Zotero 插件Zotero 插件浏览器插件Mac 客户端Windows 客户端微信小程序
定价
高级版会员购买积分包购买API积分包
服务
文献检索文档翻译深度研究API 文档MCP 服务
关于我们
关于 Suppr公司介绍联系我们用户协议隐私条款
关注我们

Suppr 超能文献

核心技术专利:CN118964589B侵权必究
粤ICP备2023148730 号-1Suppr @ 2026

文献检索

告别复杂PubMed语法,用中文像聊天一样搜索,搜遍4000万医学文献。AI智能推荐,让科研检索更轻松。

立即免费搜索

文件翻译

保留排版,准确专业,支持PDF/Word/PPT等文件格式,支持 12+语言互译。

免费翻译文档

深度研究

AI帮你快速写综述,25分钟生成高质量综述,智能提取关键信息,辅助科研写作。

立即免费体验

乳腺癌分泌物的细胞形态学研究。

A cytomorphological study of secretions in breast cancer.

作者信息

Bhatia Arati, Malhotra Geetu, Grover Punita, Singh Navjeevan

机构信息

Department of Pathology, University College of Medical Sciences and GTB Hospital, Delhi, India.

出版信息

J Cytol. 2011 Oct;28(4):196-9. doi: 10.4103/0970-9371.86347.

DOI:10.4103/0970-9371.86347
PMID:22090695
原文链接:https://pmc.ncbi.nlm.nih.gov/articles/PMC3214466/
Abstract

BACKGROUND

Secretions are seen in a range of breast cancer that includes invasive ductal carcinoma, mucinous carcinoma and secretory carcinoma. Evaluation of the quantity and location of secretions and the contours of the cell clusters complement cell morphology could improve diagnostic cytopathological criteria.

AIM

To identify the range of breast carcinomas with secretions on fine-needle aspiration.

MATERIALS AND METHODS

A retrospective study of 160 patients with breast carcinoma was carried out. The tumors were typed by evaluating the quantity and location of secretions, cellularity and nuclear grade.

RESULTS

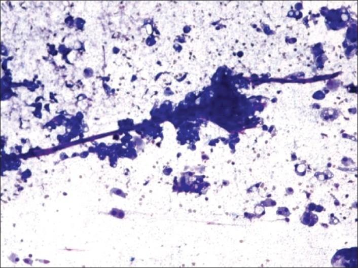
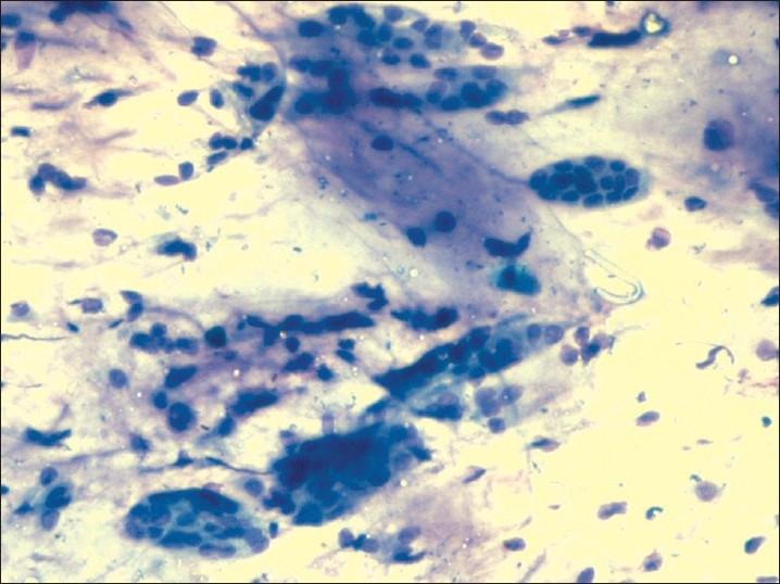
Secretions were seen in 16 of 160 breast carcinomas. Eleven were invasive ductal carcinoma (IDC), three were mucinous and two were secretory carcinomas. In IDC, minimal intracytoplasmic secretions were seen in 10, nuclear grades of 2 and 3 in 9, cell clusters with irregular margins in 6, and necrosis in 4. All mucinous and secretory carcinomas were nuclear grade 1. Extensive extracellular secretions and cell clusters with rounded contours were seen in mucinous carcinomas. In secretory carcinomas, the secretions were predominantly intracellular; stringy vasculature was a unique feature.

CONCLUSION

Secretions in breast cancer are seen in a range of lesions that include IDC, mucinous, and secretory carcinomas. The quantity and location of secretions in breast cancer offer clues to differentiating these.

摘要

背景

在一系列乳腺癌中可见分泌物,包括浸润性导管癌、黏液癌和分泌性癌。评估分泌物的数量和位置以及细胞簇的轮廓并结合细胞形态学,可改善诊断性细胞病理学标准。

目的

确定细针穿刺时出现分泌物的乳腺癌范围。

材料与方法

对160例乳腺癌患者进行回顾性研究。通过评估分泌物的数量和位置、细胞密度和核分级对肿瘤进行分型。

结果

160例乳腺癌中有16例可见分泌物。11例为浸润性导管癌(IDC),3例为黏液癌,2例为分泌性癌。在IDC中,10例可见少量胞质内分泌物,9例核分级为2级和3级,6例细胞簇边缘不规则,4例有坏死。所有黏液癌和分泌性癌核分级均为1级。黏液癌可见大量细胞外分泌物和轮廓圆形的细胞簇。在分泌性癌中,分泌物主要为细胞内的;条索状脉管系统是其独特特征。

结论

乳腺癌中的分泌物可见于一系列病变,包括IDC、黏液癌和分泌性癌。乳腺癌中分泌物的数量和位置为鉴别这些病变提供了线索。

https://cdn.ncbi.nlm.nih.gov/pmc/blobs/8604/3214466/dfeb0a794fa3/JCytol-28-196-g005.jpg
https://cdn.ncbi.nlm.nih.gov/pmc/blobs/8604/3214466/6f202d7ff24d/JCytol-28-196-g001.jpg
https://cdn.ncbi.nlm.nih.gov/pmc/blobs/8604/3214466/ec3d53772e61/JCytol-28-196-g003.jpg
https://cdn.ncbi.nlm.nih.gov/pmc/blobs/8604/3214466/1ac3e9b64b3c/JCytol-28-196-g004.jpg
https://cdn.ncbi.nlm.nih.gov/pmc/blobs/8604/3214466/dfeb0a794fa3/JCytol-28-196-g005.jpg
https://cdn.ncbi.nlm.nih.gov/pmc/blobs/8604/3214466/6f202d7ff24d/JCytol-28-196-g001.jpg
https://cdn.ncbi.nlm.nih.gov/pmc/blobs/8604/3214466/ec3d53772e61/JCytol-28-196-g003.jpg
https://cdn.ncbi.nlm.nih.gov/pmc/blobs/8604/3214466/1ac3e9b64b3c/JCytol-28-196-g004.jpg
https://cdn.ncbi.nlm.nih.gov/pmc/blobs/8604/3214466/dfeb0a794fa3/JCytol-28-196-g005.jpg

相似文献

1
A cytomorphological study of secretions in breast cancer.乳腺癌分泌物的细胞形态学研究。
J Cytol. 2011 Oct;28(4):196-9. doi: 10.4103/0970-9371.86347.
2
Fine-needle aspiration cytologic features of four special types of breast cancers: mucinous, medullary, apocrine, and papillary.四种特殊类型乳腺癌的细针穿刺细胞学特征:黏液性、髓样、大汗腺样和乳头状。
Diagn Cytopathol. 2007 Jul;35(7):408-16. doi: 10.1002/dc.20661.
3
Pure and mixed mucinous carcinoma of the breast: fine needle aspiration cytology findings and review of the literature.乳腺单纯性和混合性黏液癌:细针穿刺细胞学检查结果及文献复习
Cytopathology. 2013 Dec;24(6):377-84. doi: 10.1111/cyt.12016. Epub 2012 Sep 21.
4
[Fine needle aspiration cytology diagnosis of ductal lesions of breast].[乳腺导管病变的细针穿刺细胞学诊断]
Zhonghua Bing Li Xue Za Zhi. 2010 Jul;39(7):467-72.
5
The role of micronucleus scoring in fine needle aspirates of ductal carcinoma of the breast.微核评分在乳腺导管癌细针穿刺抽吸物中的作用。
Cytopathology. 2011 Apr;22(2):111-4. doi: 10.1111/j.1365-2303.2010.00773.x. Epub 2010 Jun 11.
6
Absence of microsatellite instability in mucinous carcinomas of the breast.乳腺黏液性癌中微卫星不稳定性缺失
Int J Clin Exp Pathol. 2010 Nov 27;4(1):22-31.
7
Expression of mucins (MUC1, MUC2, MUC5AC and MUC6) in mucinous carcinoma of the breast: comparison with invasive ductal carcinoma.乳腺黏液癌中黏蛋白(MUC1、MUC2、MUC5AC和MUC6)的表达:与浸润性导管癌的比较。
Histopathology. 2003 Jan;42(1):26-36. doi: 10.1046/j.1365-2559.2003.01530.x.
8
Recognizing breast ductal carcinoma in situ on fine-needle aspiration: a diagnostic dilemma.细针穿刺活检诊断乳腺导管原位癌:一个诊断难题。
Diagn Cytopathol. 2013 Aug;41(8):710-5. doi: 10.1002/dc.23015. Epub 2013 Jun 1.
9
p63 Staining of myoepithelial cells in breast fine needle aspirates: a study of its role in differentiating in situ from invasive ductal carcinomas of the breast.乳腺细针穿刺抽吸物中肌上皮细胞的p63染色:关于其在乳腺原位导管癌与浸润性导管癌鉴别中作用的研究
J Clin Pathol. 2002 Dec;55(12):936-9. doi: 10.1136/jcp.55.12.936.
10
Fine-needle aspiration of breast carcinomas with prominent lymphocytic infiltrate.对伴有显著淋巴细胞浸润的乳腺癌进行细针穿刺活检。
Diagn Cytopathol. 2000 Jul;23(1):39-42. doi: 10.1002/1097-0339(200007)23:1<39::aid-dc9>3.0.co;2-#.

本文引用的文献

1
Mucinous carcinoma of breast: Cytodiagnosis of a case.乳腺黏液癌:1例的细胞诊断
J Cytol. 2011 Jan;28(1):42-4. doi: 10.4103/0970-9371.76952.
2
The value of systematic pattern analysis in FNAC of breast lesions: 225 cases with cytohistological correlation.乳腺病变细针穿刺抽吸活检中系统模式分析的价值:225例细胞组织学相关性研究
J Cytol. 2011 Jan;28(1):13-9. doi: 10.4103/0970-9371.76942.
3
The cytology of micropapillary variant of colloid carcinoma of breast: A report of two cases.乳腺胶样癌微乳头型的细胞学:两例报告
J Cytol. 2010 Apr;27(2):71-3. doi: 10.4103/0970-9371.70751.
4
Secretory carcinoma of the breast diagnosed by fine needle aspiration.经细针穿刺确诊的乳腺分泌性癌
Acta Cytol. 2005 May-Jun;49(3):343-4. doi: 10.1159/000326162.
5
Aspiration biopsy of mammary lesions with abundant extracellular mucinous material. Review of 43 cases with surgical follow-up.伴有大量细胞外黏液物质的乳腺病变的穿刺活检。43例手术随访病例回顾。
Am J Clin Pathol. 2003 Aug;120(2):194-202. doi: 10.1309/2MKQ-RJ3D-LPMT-4LJA.
6
Fine needle aspiration cytologic findings of breast mucinous neoplasms: differential diagnosis between mucocelelike tumor and mucinous carcinoma.乳腺黏液性肿瘤的细针穿刺细胞学检查结果:黏液囊肿样肿瘤与黏液癌的鉴别诊断
Acta Cytol. 2001 Sep-Oct;45(5):723-9. doi: 10.1159/000328294.
7
Fine needle aspiration cytodiagnosis of secretory carcinoma of the breast.
Cytopathology. 2000 Dec;11(6):496-502. doi: 10.1046/j.1365-2303.2000.00283.x.
8
Cytologic appearances in invasive lobular carcinoma of the breast. A study of 21 cases.
Acta Cytol. 2000 Mar-Apr;44(2):169-74. doi: 10.1159/000326356.
9
Fine needle aspiration of secretory breast carcinoma resembling lactational changes. A case report.
Acta Cytol. 1998 Jul-Aug;42(4):1032-6. doi: 10.1159/000331954.
10
Lobular carcinoma of the breast: cytological features supporting the diagnosis of lobular cancer.乳腺小叶癌:支持小叶癌诊断的细胞学特征
Diagn Cytopathol. 1995 Oct;13(3):196-201. doi: 10.1002/dc.2840130304.