Suppr超能文献

乳腺黏液癌:1例的细胞诊断

Mucinous carcinoma of breast: Cytodiagnosis of a case.

作者信息

Sharma Sangeeta, Bansal Rani, Khare Anjali, Agrawal Nivesh

机构信息

Department of Pathology, Subharti Medical College, Subhartipuram, Meerut - 250 002, Uttar Pradesh, India.

出版信息

J Cytol. 2011 Jan;28(1):42-4. doi: 10.4103/0970-9371.76952.

Abstract

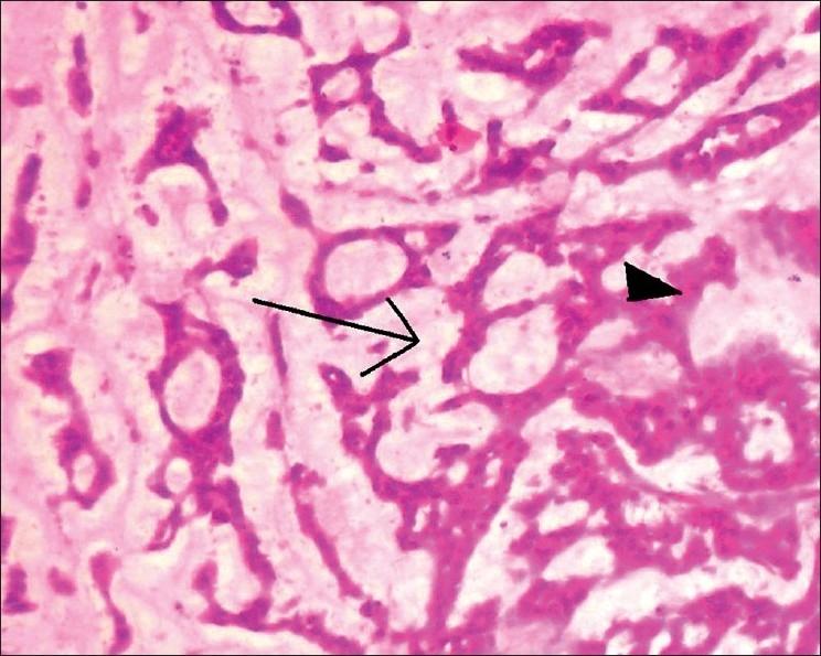
Mucinous carcinoma of the breast is a relatively rare, pure form accounting for 2% of all breast cancers. Pure mucinous carcinoma of the breast has a favorable prognosis. The common age is postmenopausal group. Here, we report a 30-year-old female patient diagnosed on cytology as mucinous carcinoma of the breast with lymph node metastasis and subsequently confirmed by histopathology. In 1 year follow-up, the patient did not show pulmonary or distant metastasis and received adjuvant chemotherapy at every 3 weeks interval.

摘要

乳腺黏液癌是一种相对罕见的单纯类型,占所有乳腺癌的2%。乳腺单纯黏液癌预后良好。常见发病年龄为绝经后人群。在此,我们报告一名30岁女性患者,经细胞学诊断为乳腺黏液癌伴淋巴结转移,随后经组织病理学确诊。在1年的随访中,该患者未出现肺转移或远处转移,每3周接受一次辅助化疗。

https://cdn.ncbi.nlm.nih.gov/pmc/blobs/3ef1/3083536/b1fed2dbe4ed/JCytol-28-42-g001.jpg

文献检索

告别复杂PubMed语法,用中文像聊天一样搜索,搜遍4000万医学文献。AI智能推荐,让科研检索更轻松。

立即免费搜索

文件翻译

保留排版,准确专业,支持PDF/Word/PPT等文件格式,支持 12+语言互译。

免费翻译文档

深度研究

AI帮你快速写综述,25分钟生成高质量综述,智能提取关键信息,辅助科研写作。

立即免费体验