Mohammadi Afshin, Sedani Homayoon Habibpour, Ghasemi-Rad Mohammad
Department of Radiology, Urmia University of Medical Sciences, Urmia, West-Azerbaijan, Iran.
Vasc Health Risk Manag. 2011;7:661-5. doi: 10.2147/VHRM.S26011. Epub 2011 Nov 7.
Nonalcoholic fatty liver disease (NAFLD) has a high prevalence in the general population and is the most common liver disease in Western countries. It is a feature of metabolic syndrome and is characterized by excessive accumulation of fat in the liver cells.
We examined 84 consecutive middle-aged (under 45 years) patients with NAFLD and 65 control subjects matched for age, gender, and body mass index to determine carotid intima-media thickness (CIMT) and flow-mediated dilatation (FMD) in the brachial artery.
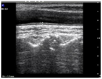
There was a statistically significant difference between CIMT and percentage increase in FMD in the patient group (P = 0.002; r = 0.33) when compared with the control group (P = 0.97; r = 0.005). The mean ± standard deviation CMIT was 0.65 ± 0.09 mm in patients and 0.55 ± 0.07 mm in controls. This difference was statistically significant (P = 0.001). Mean FMD in patients was 6.4% and 15.7% in controls. This difference was statistically significant (P = 0.001).
This study shows that pure NAFLD without metabolic syndrome in middle-aged subjects is strongly associated with morphological (CIMT) and physiological (FMD) changes. These findings may have an important role in increasing cardiovascular risk in these patients.
非酒精性脂肪性肝病(NAFLD)在普通人群中患病率很高,是西方国家最常见的肝脏疾病。它是代谢综合征的一个特征,其特点是肝细胞内脂肪过度蓄积。
我们检查了84例连续的中年(45岁以下)NAFLD患者以及65例年龄、性别和体重指数相匹配的对照者,以测定肱动脉的颈动脉内膜中层厚度(CIMT)和血流介导的血管舒张功能(FMD)。
与对照组相比(P = 0.97;r = 0.005),患者组的CIMT和FMD百分比增加之间存在统计学显著差异(P = 0.002;r = 0.33)。患者的平均±标准差CIMT为0.65±0.09mm,对照组为0.55±0.07mm。这种差异具有统计学显著性(P = 0.001)。患者的平均FMD为6.4%,对照组为15.7%。这种差异具有统计学显著性(P = 0.001)。
本研究表明,中年受试者中无代谢综合征的单纯NAFLD与形态学(CIMT)和生理学(FMD)变化密切相关。这些发现可能在增加这些患者心血管风险方面具有重要作用。