• 文献检索
  • 文档翻译
  • 深度研究
  • 学术资讯
  • Suppr Zotero 插件Zotero 插件
  • 邀请有礼
  • 套餐&价格
  • 历史记录
应用&插件
Suppr Zotero 插件Zotero 插件浏览器插件Mac 客户端Windows 客户端微信小程序
定价
高级版会员购买积分包购买API积分包
服务
文献检索文档翻译深度研究API 文档MCP 服务
关于我们
关于 Suppr公司介绍联系我们用户协议隐私条款
关注我们

Suppr 超能文献

核心技术专利:CN118964589B侵权必究
粤ICP备2023148730 号-1Suppr @ 2026

文献检索

告别复杂PubMed语法,用中文像聊天一样搜索,搜遍4000万医学文献。AI智能推荐,让科研检索更轻松。

立即免费搜索

文件翻译

保留排版,准确专业,支持PDF/Word/PPT等文件格式,支持 12+语言互译。

免费翻译文档

深度研究

AI帮你快速写综述,25分钟生成高质量综述,智能提取关键信息,辅助科研写作。

立即免费体验

Arterio-venous fistula following a lumbar disc surgery.

作者信息

Mulaudzi Thanyani V, Sikhosana Mbokeleng H

机构信息

Medi-Clinic Unit of Peripheral Vascular Disease, Department of General Surgery, Steve Biko Academic Hospital, University of Pretoria, Pretoria, South Africa.

出版信息

Indian J Orthop. 2011 Nov;45(6):563-4. doi: 10.4103/0019-5413.86418.

DOI:10.4103/0019-5413.86418
PMID:22144752
原文链接:https://pmc.ncbi.nlm.nih.gov/articles/PMC3227363/
Abstract

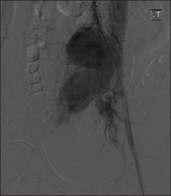
Vascular complications during posterior lumbar disc surgery are rare and its presentation with varicose veins is even rarer. A 23 year-old male patient presented with large varicose veins in right lower limb. He underwent a posterior lumbar spine discectomy surgery. He noticed mild swelling of the distal third right lower limb 3 months after index surgery and reported 6 months later when he developed varicose veins. Duplex Doppler confirmed varicose veins of the long saphenous vein and its tributaries with a patent deep venous system. A digital subtraction angiogram demonstrated a large right common iliac artery (CIA) false aneurysm with an arteriovenous fistula between right common iliac vessels. He had a right CIA covered stent insertion with good results. Varicose veins were later managed with sapheno-femoral junction ligation and a below knee long saphenous vein stripping. At six month follow-up the lower limb swelling had completely recovered and duplex ultrasound did not show any recurrence of varicose veins.

摘要
https://cdn.ncbi.nlm.nih.gov/pmc/blobs/81da/3227363/2b1d94786bce/IJOrtho-45-563-g002.jpg
https://cdn.ncbi.nlm.nih.gov/pmc/blobs/81da/3227363/88594f5cc30d/IJOrtho-45-563-g001.jpg
https://cdn.ncbi.nlm.nih.gov/pmc/blobs/81da/3227363/2b1d94786bce/IJOrtho-45-563-g002.jpg
https://cdn.ncbi.nlm.nih.gov/pmc/blobs/81da/3227363/88594f5cc30d/IJOrtho-45-563-g001.jpg
https://cdn.ncbi.nlm.nih.gov/pmc/blobs/81da/3227363/2b1d94786bce/IJOrtho-45-563-g002.jpg

相似文献

1
Arterio-venous fistula following a lumbar disc surgery.
Indian J Orthop. 2011 Nov;45(6):563-4. doi: 10.4103/0019-5413.86418.
2
Temporary arterio-venous shunts to dilate saphenous crossover graft and maintain graft patency.临时动静脉分流以扩张隐静脉交叉移植血管并维持移植血管通畅。
Acta Chir Scand. 1976;142(8):585-7.
3
Recurrent varicose veins following surgical treatment: our experience with five years follow-up.手术治疗后复发性静脉曲张:我们的五年随访经验。
Eur J Vasc Endovasc Surg. 2007 Jun;33(6):751-6. doi: 10.1016/j.ejvs.2006.12.020. Epub 2007 Feb 2.
4
Endovascular laser therapy for varicose veins: an evidence-based analysis.静脉曲张的血管内激光治疗:一项基于证据的分析。
Ont Health Technol Assess Ser. 2010;10(6):1-92. Epub 2010 Apr 1.
5
Accuracy of duplex evaluation one year after varicose vein surgery to predict recurrence at the sapheno-femoral junction after five years.静脉曲张手术后一年进行的双功超声评估预测五年后隐股静脉交界处复发情况的准确性。
Eur J Vasc Endovasc Surg. 2005 Mar;29(3):308-12. doi: 10.1016/j.ejvs.2004.11.014.
6
Saphenous vein sparing surgery: principles, techniques and results.保留大隐静脉手术:原则、技术与结果
J Cardiovasc Surg (Torino). 1998 Apr;39(2):151-62.
7
Hybrid surgery for the treatment of lumbar spine surgery complicated with iliac artery pseudoaneurysm, arteriovenous fistula, and lower limb artery embolism: A rare case report.杂交手术治疗腰椎手术后并发髂动脉假性动脉瘤、动静脉瘘及下肢动脉栓塞:1例罕见病例报告
Int J Surg Case Rep. 2024 Mar;116:109452. doi: 10.1016/j.ijscr.2024.109452. Epub 2024 Feb 28.
8
Anterior accessory saphenous vein confluence anatomy at the sapheno-femoral junction as risk factor for varicose veins recurrence after great saphenous vein radiofrequency thermal ablation.隐股交界处的前副隐静脉汇合解剖结构作为大隐静脉射频热消融术后静脉曲张复发的危险因素。
Int Angiol. 2020 Apr;39(2):105-111. doi: 10.23736/S0392-9590.20.04271-6. Epub 2020 Feb 5.
9
Recurrent varicose veins following high ligation of long saphenous vein: a duplex ultrasound study.大隐静脉高位结扎术后复发性静脉曲张:一项双功超声研究
Cardiovasc Surg. 1995 Oct;3(5):485-7. doi: 10.1016/0967-2109(95)94446-4.
10
Comparison of recurrence rate and hemodynamic effect among various technical approaches for ligations of great saphenous vein in treatment of varicose veins.
Vasa. 2007 Feb;36(1):23-7. doi: 10.1024/0301-1526.36.1.23.

引用本文的文献

1
Iatrogenic arteriovenous fistula of the iliac artery after lumbar discectomy surgery: a systematic review of the last 18 years.腰椎间盘切除术后医源性髂动脉动静脉瘘:过去18年的系统评价
Quant Imaging Med Surg. 2019 Jun;9(6):1163-1175. doi: 10.21037/qims.2019.05.12.
2
The summary of experience of abdominal vascular injury related to posterior lumbar surgery.腰椎后路手术相关腹部血管损伤的经验总结。
Int Orthop. 2019 Sep;43(9):2191-2198. doi: 10.1007/s00264-018-4262-7. Epub 2019 Jan 14.

本文引用的文献

1
Vascular complications related to lumbar disc surgery.与腰椎间盘手术相关的血管并发症。
J Neurosurg. 2004 Mar;100(3 Suppl Spine):249-53. doi: 10.3171/spi.2004.100.3.0249.
2
Complications and demographic characteristics of patients undergoing lumbar discectomy in community hospitals.社区医院行腰椎间盘切除术患者的并发症及人口统计学特征
Neurosurgery. 1989 Aug;25(2):226-30; discussion 230-1. doi: 10.1097/00006123-198908000-00012.
3
Anterior perforations in lumbar discectomies. A report of four cases of vascular complications and a CT study of the prevertebral lumbar anatomy.
Spine (Phila Pa 1976). 1991 Jan;16(1):54-60.
4
Vascular complications of lumbar disc surgery. Case report.
Eur J Surg. 1991 Feb;157(2):141-3.
5
The challenge of arteriovenous fistula formation following disk surgery: a collective review.
J Trauma. 1976 Sep;16(9):726-33. doi: 10.1097/00005373-197609000-00008.