Suppr超能文献

Toll 样受体 5、8 和 9 的转录水平与溃疡性结肠炎的炎症活动相关。

Transcript levels of Toll-Like Receptors 5, 8 and 9 correlate with inflammatory activity in Ulcerative Colitis.

机构信息

Universidad Autónoma Metropolitana, D.F., México.

出版信息

BMC Gastroenterol. 2011 Dec 20;11:138. doi: 10.1186/1471-230X-11-138.

Abstract

BACKGROUND

Dysregulation of innate immune response by Toll-Like Receptors (TLRs) is a key feature in Ulcerative Colitis (UC). Most studies have focused on TLR2, TLR3, and TLR4 participation in UC. However, few studies have explored other TLRs. Therefore, the aim of this study was to evaluate the mRNA profiles of TLR1 to 9 in colonic mucosa of UC patients, according to disease activity.

METHODS

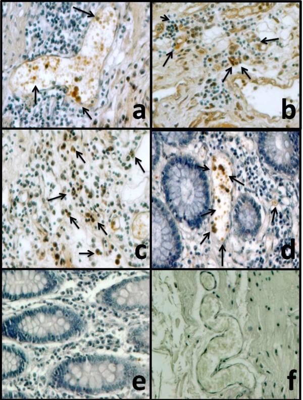
Colonic biopsies were taken from colon during colonoscopy in 51 patients with Ulcerative Colitis and 36 healthy controls. mRNA levels of TLR1 to 9, Tollip, inflammatory cytokines IL6 and TNF were assessed by RT-qPCR with hydrolysis probes. Characterization of TLR9 protein expression was performed by Immunohistochemistry.

RESULTS

Toll-like receptors TLR8, TLR9, and IL6 mRNA levels were significantly higher in the colonic mucosa from UC patients (both quiescent and active) as compared to healthy individuals (p < 0.04). In the UC patients group the TLR2, TLR4, TLR8 and TLR9 mRNA levels were found to be significantly lower in patients with quiescent disease, as compared to those with active disease (p < 0.05), whereas TLR5 showed a trend (p = 0.06). IL6 and TNF mRNA levels were significantly higher in the presence of active disease and help to discriminate between quiescent and active disease (p < 0.05). Also, IL6 and TNF mRNA positively correlate with TLRs mRNA with the exception for TLR3, with stronger correlations for TLR5, TLR8, and TLR9 (p < 0.0001). TLR9 protein expression was mainly in the lamina propria infiltrate.

CONCLUSIONS

This study demonstrates that TLR2, TLR4, TLR8, and TLR9 expression increases in active UC patients, and that the mRNA levels positively correlate with the severity of intestinal inflammation as well as with inflammatory cytokines.

摘要

背景

Toll 样受体(TLR)先天免疫反应失调是溃疡性结肠炎(UC)的一个关键特征。大多数研究都集中在 TLR2、TLR3 和 TLR4 参与 UC 上。然而,很少有研究探索其他 TLR。因此,本研究旨在根据疾病活动评估溃疡性结肠炎患者结肠黏膜中 TLR1 至 9 的 mRNA 谱。

方法

在 51 例溃疡性结肠炎患者和 36 例健康对照者的结肠镜检查中采集结肠活检。通过水解探针 RT-qPCR 评估 TLR1 至 9、Tollip、炎症细胞因子 IL6 和 TNF 的 mRNA 水平。通过免疫组织化学法对 TLR9 蛋白表达进行特征分析。

结果

与健康个体相比,UC 患者(活动期和缓解期)结肠黏膜中 TLR8、TLR9 和 IL6 的 mRNA 水平明显升高(均 p < 0.04)。在 UC 患者组中,与活动期疾病患者相比,缓解期疾病患者的 TLR2、TLR4、TLR8 和 TLR9 的 mRNA 水平明显降低(均 p < 0.05),而 TLR5 则呈趋势(p = 0.06)。在存在活动期疾病时,IL6 和 TNF 的 mRNA 水平明显升高,有助于区分缓解期和活动期疾病(均 p < 0.05)。此外,IL6 和 TNF 的 mRNA 与 TLRs 的 mRNA 呈正相关,TLR3 除外,TLR5、TLR8 和 TLR9 的相关性更强(均 p < 0.0001)。TLR9 蛋白表达主要在固有层浸润中。

结论

本研究表明,TLR2、TLR4、TLR8 和 TLR9 在活动期 UC 患者中表达增加,并且 mRNA 水平与肠道炎症的严重程度以及炎症细胞因子呈正相关。

https://cdn.ncbi.nlm.nih.gov/pmc/blobs/208e/3287145/86dfc6a1bf2a/1471-230X-11-138-1.jpg

文献AI研究员

20分钟写一篇综述,助力文献阅读效率提升50倍。

立即体验

用中文搜PubMed

大模型驱动的PubMed中文搜索引擎

马上搜索

文档翻译

学术文献翻译模型,支持多种主流文档格式。

立即体验