Kotani Yuri, Sato Junko, Wako Yumi, Tsuchitani Minoru
Kashima Laboratory, Mitsubishi Chemical Medience Co., Ltd., 14 Sunayama, Kamisu-shi, Ibaraki 314-0255, Japan.
J Toxicol Pathol. 2010 Sep;23(3):141-5. doi: 10.1293/tox.23.141. Epub 2010 Oct 5.
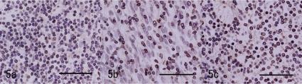
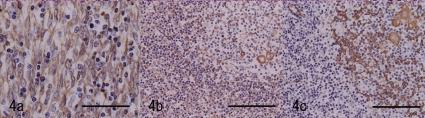
A mass with a diameter of 1.5 cm was found in the thymus of a 4-year and 3-month-old male cynomolgus monkey. Microscopically, the mass consisted of two different patterns of proliferation, dense or fascicular proliferation of elongated spindle cells in a sporadic storiform pattern and dense proliferation of thymic cortex-like lymphoid cells in which the multifocal pale nests resembling the thymic medulla were distributed. In these pale nests, large dendriform cells sometimes forming Hassall's corpuscles were present. The proliferating spindle cells were positive for cytokeratin. The lymphoid cells in the mass were positive for CD3. We concluded that the mass consisted of the neoplastic thymic epithelium with thymocytes proliferation containing medullary differentiation. The mass was diagnosed as a mixed thymoma according to the WHO classification of thymomas in humans. Mixed thymoma is characterized as a mixture of two types of proliferative lesions, spindle-shaped epithelial proliferation and a lymphocyte predominant lesion with or without medullary differentiation. To the best of our knowledge, this is the first report concerning thymoma in monkeys.
在一只4岁3个月大的雄性食蟹猴的胸腺中发现了一个直径为1.5厘米的肿块。显微镜下,该肿块由两种不同的增殖模式组成,即散在的席纹状排列的细长梭形细胞密集或束状增殖,以及胸腺皮质样淋巴细胞密集增殖,其中有多灶性类似胸腺髓质的淡染巢状结构分布。在这些淡染巢状结构中,有时可见形成哈氏小体的大型树突状细胞。增殖的梭形细胞细胞角蛋白呈阳性。肿块中的淋巴细胞CD3呈阳性。我们得出结论,该肿块由伴有胸腺细胞增殖及髓质分化的肿瘤性胸腺上皮组成。根据人类胸腺肿瘤的WHO分类,该肿块被诊断为混合性胸腺瘤。混合性胸腺瘤的特征是两种增殖性病变的混合,即梭形上皮增殖和以淋巴细胞为主的病变,伴有或不伴有髓质分化。据我们所知,这是关于猴子胸腺瘤的首次报道。