Suppr超能文献

乳腺鳞状细胞癌的棘层松解变异型:1例罕见病例报告

Acantholytic variant of squamous cell carcinoma of breast: a rare case report.

作者信息

Kamra Ht, Gadgil Pa, Chaware Sa, Kanade Ua

机构信息

Department of pathology, Government Medical College, Latur-413512, Maharashtra, India.

出版信息

Ecancermedicalscience. 2011;5:214. doi: 10.3332/ecancer.2011.214. Epub 2011 Sep 28.

Abstract

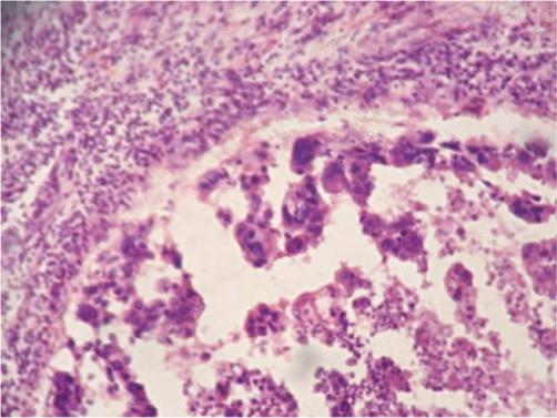
Primary squamous cell carcinoma of the breast is a very rare and aggressive malignancy, and very few have been reported in the literature. Here we report a case of an acantholytic variant of a squamous cell carcinoma of the breast in a 60-year-old woman who presented with a lump in the right breast. Histogenesis is controversial as to whether a pure form of squamous cell carcinoma exists or if these malignancies represent an extreme squamous metaplasia within an adenocarcinoma. Prognosis and management is uncertain due to its rarity and controversy over its definition.

摘要

原发性乳腺鳞状细胞癌是一种非常罕见且侵袭性强的恶性肿瘤,文献报道极少。本文报告一例60岁女性乳腺鳞状细胞癌棘层松解变异型病例,患者因右乳肿块就诊。关于是否存在纯形式的鳞状细胞癌,或者这些恶性肿瘤是否代表腺癌内的极端鳞状化生,其组织发生存在争议。由于其罕见性以及对其定义的争议,其预后和治疗尚不确定。

https://cdn.ncbi.nlm.nih.gov/pmc/blobs/8e68/3223956/bb16a310ad3d/can-5-214f1.jpg

文献AI研究员

20分钟写一篇综述,助力文献阅读效率提升50倍。

立即体验

用中文搜PubMed

大模型驱动的PubMed中文搜索引擎

马上搜索

文档翻译

学术文献翻译模型,支持多种主流文档格式。

立即体验