Suppr超能文献

与猿猴病毒40 T抗原相关的蛋白激酶活性。

Protein kinase activity associated with simian virus 40 T antigen.

作者信息

Griffin J D, Spangler G, Livingston D M

出版信息

Proc Natl Acad Sci U S A. 1979 Jun;76(6):2610-4. doi: 10.1073/pnas.76.6.2610.

Abstract

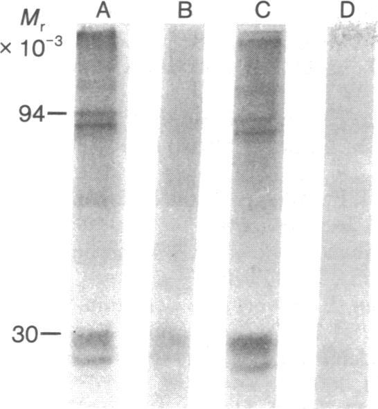
Incubation of simian virus 40 (SV40) tumor (T) antigen-containing immunoprecipitates with [gamma-32P]ATP results in the incorporation of radioactive phosphate into large T antigen. Highly purified preparations of large T antigen from a SV40-transformed cell line, SV80, are able to catalyze the phosphorylation of a known phosphate acceptor, casein. The kinase activity migrates with large T antigen through multiple purification steps. Sedimentation analysis under non-T-antigen-aggregating conditions reveals that kinase activity and the immunoreactive protein comigrate as a 6S structure. The kinase activity of purified preparations of large T antigen can be specifically adsorbed to solid-phase anti-T IgG, and partially purified T antigen from a SV40 tsA transformation is thermolabile in its ability to phosphorylate casein when compared to comparably purified wild-type T antigen. These observations indicate that the SV40 large T antigen is closely associated with protein kinase (ATP:protein phosphotransferase, EC 2.7.1.37) activity.

摘要

用[γ-32P]ATP孵育含猿猴病毒40(SV40)肿瘤(T)抗原的免疫沉淀物,会使放射性磷酸盐掺入大T抗原中。从SV40转化细胞系SV80中高度纯化的大T抗原制剂,能够催化已知的磷酸盐受体酪蛋白的磷酸化。激酶活性在多个纯化步骤中与大T抗原一起迁移。在非T抗原聚集条件下的沉降分析表明,激酶活性和免疫反应性蛋白以6S结构共同迁移。纯化的大T抗原制剂的激酶活性可特异性吸附到固相抗T IgG上,与同等纯化的野生型T抗原相比,来自SV40 tsA转化的部分纯化T抗原在磷酸化酪蛋白的能力上是热不稳定的。这些观察结果表明,SV40大T抗原与蛋白激酶(ATP:蛋白质磷酸转移酶,EC 2.7.1.37)活性密切相关。

https://cdn.ncbi.nlm.nih.gov/pmc/blobs/b951/383657/a7b0aa3989c8/pnas00006-0131-a.jpg

文献检索

告别复杂PubMed语法,用中文像聊天一样搜索,搜遍4000万医学文献。AI智能推荐,让科研检索更轻松。

立即免费搜索

文件翻译

保留排版,准确专业,支持PDF/Word/PPT等文件格式,支持 12+语言互译。

免费翻译文档

深度研究

AI帮你快速写综述,25分钟生成高质量综述,智能提取关键信息,辅助科研写作。

立即免费体验