Suppr超能文献

动脉导管未闭封堵器栓塞术

Patent ductus arteriosus device embolization.

作者信息

Iqbal K, Ali Sm, Tramboo Na, Lone Aa, Kaul S, Kaul N, Hafiz I

机构信息

Sheri-Kashmir Institute Of Medical Sciences, Soura Srinagar, J&K, India.

出版信息

Images Paediatr Cardiol. 2011 Jan;13(1):1-5.

Abstract

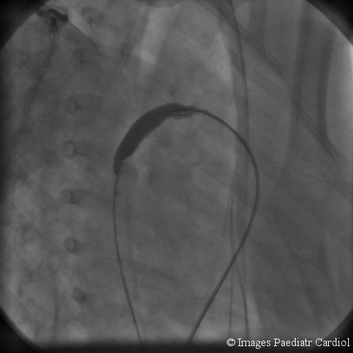
Nonsurgical closure of patent ductus arteriosus (PDA) using a duct occluder placed percutaneously is currently the first line of therapy and the success rate is quite high. Several devices are currently available. An eight year child underwent device closure of the ductus. However after deployment of the device it, became dislodged into the left pulmonary artery. Several attempts at catheter retrieval failed. The child underwent successful surgical removal of the device without cardiopulmonary bypass.

摘要

使用经皮放置的导管封堵器非手术闭合动脉导管未闭(PDA)目前是一线治疗方法,成功率相当高。目前有几种装置可供使用。一名8岁儿童接受了动脉导管的封堵器闭合术。然而,在装置植入后,它移位到了左肺动脉。多次尝试通过导管取出均失败。该儿童在未进行体外循环的情况下成功接受了手术取出装置。

https://cdn.ncbi.nlm.nih.gov/pmc/blobs/b7a1/3232595/594d06f13b5b/IPC-13-1-g001.jpg

文献检索

告别复杂PubMed语法,用中文像聊天一样搜索,搜遍4000万医学文献。AI智能推荐,让科研检索更轻松。

立即免费搜索

文件翻译

保留排版,准确专业,支持PDF/Word/PPT等文件格式,支持 12+语言互译。

免费翻译文档

深度研究

AI帮你快速写综述,25分钟生成高质量综述,智能提取关键信息,辅助科研写作。

立即免费体验