• 文献检索
  • 文档翻译
  • 深度研究
  • 学术资讯
  • Suppr Zotero 插件Zotero 插件
  • 邀请有礼
  • 套餐&价格
  • 历史记录
应用&插件
Suppr Zotero 插件Zotero 插件浏览器插件Mac 客户端Windows 客户端微信小程序
定价
高级版会员购买积分包购买API积分包
服务
文献检索文档翻译深度研究API 文档MCP 服务
关于我们
关于 Suppr公司介绍联系我们用户协议隐私条款
关注我们

Suppr 超能文献

核心技术专利:CN118964589B侵权必究
粤ICP备2023148730 号-1Suppr @ 2026

文献检索

告别复杂PubMed语法,用中文像聊天一样搜索,搜遍4000万医学文献。AI智能推荐,让科研检索更轻松。

立即免费搜索

文件翻译

保留排版,准确专业,支持PDF/Word/PPT等文件格式,支持 12+语言互译。

免费翻译文档

深度研究

AI帮你快速写综述,25分钟生成高质量综述,智能提取关键信息,辅助科研写作。

立即免费体验

巴西米纳斯吉拉斯州山羊的先天性新孢子虫病

Congenital neosporosis in goats from the State of Minas Gerais, Brazil.

作者信息

Varaschin Mary S, Hirsch Christian, Wouters Flademir, Nakagaki Karen Y, Guimarães Antônio M, Santos Domingos S, Bezerra Pedro S, Costa Rafael C, Peconick Ana P, Langohr Ingeborg M

机构信息

Departament of Veterinary Medicine, Universidade Federal de Lavras, Lavras, MG, Brazil.

出版信息

Korean J Parasitol. 2012 Mar;50(1):63-7. doi: 10.3347/kjp.2012.50.1.63. Epub 2012 Mar 6.

DOI:10.3347/kjp.2012.50.1.63
PMID:22451736
原文链接:https://pmc.ncbi.nlm.nih.gov/articles/PMC3309053/
Abstract

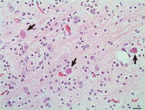
Congenital Neospora caninum infection was diagnosed in two Saanen goat kids from two distinct herds with a history of abortion and weak newborn goat kids in the Southern region of the State of Minas Gerais, Brazil. The first kid was weak at birth, had difficulty to rise and was unable to nurse. Gross lesions of porencephaly and hydrocephalus ex vacuo were seen. Multifocal necrosis, gliosis and non-supurative encephalitis were observed in the brain. Several parasitic cysts with a thick wall that reacted strongly only with polyclonal antiserum to Neospora caninum were seen in the cerebral cortex, brain stem and cerebellum. The second kid was born from a Neospora caninum seropositive mother that aborted in the last pregnancy. It was born without clinical signs. The diagnosis of neosporosis was based on antibody titer of 1:800 to N. caninum by indirect fluorescence antibody test obtained from blood collected before the goat kid ingested the colostrum and Neospora caninum DNA was detected by polymerase chain reaction and sequenced from placenta. This is the first report of neosporosis in goats in the southeast region of Brazil.

摘要

在巴西米纳斯吉拉斯州南部地区,从两个不同畜群的两只萨能山羊幼崽中诊断出先天性犬新孢子虫感染,这两个畜群都有流产病史以及新生山羊幼崽体弱的情况。第一只幼崽出生时体弱,起立困难且无法吮乳。可见孔洞脑和脑外积水的肉眼病变。在大脑中观察到多灶性坏死、胶质细胞增生和非化脓性脑炎。在大脑皮层、脑干和小脑中可见几个壁厚的寄生囊肿,这些囊肿仅与犬新孢子虫多克隆抗血清发生强烈反应。第二只幼崽的母亲是犬新孢子虫血清阳性,在上次妊娠中流产。它出生时没有临床症状。新孢子虫病的诊断基于在山羊幼崽摄入初乳前采集的血液通过间接荧光抗体试验获得的犬新孢子虫抗体效价为1:800,并且通过聚合酶链反应从胎盘中检测到犬新孢子虫DNA并进行了测序。这是巴西东南部地区山羊新孢子虫病的首次报告。

https://cdn.ncbi.nlm.nih.gov/pmc/blobs/b840/3309053/7e993e6ecb3d/kjp-50-63-g005.jpg
https://cdn.ncbi.nlm.nih.gov/pmc/blobs/b840/3309053/5fcb2d621ee6/kjp-50-63-g001.jpg
https://cdn.ncbi.nlm.nih.gov/pmc/blobs/b840/3309053/2a0ef4c6d0cc/kjp-50-63-g002.jpg
https://cdn.ncbi.nlm.nih.gov/pmc/blobs/b840/3309053/ad4bc8501db9/kjp-50-63-g003.jpg
https://cdn.ncbi.nlm.nih.gov/pmc/blobs/b840/3309053/edd04635dc6e/kjp-50-63-g004.jpg
https://cdn.ncbi.nlm.nih.gov/pmc/blobs/b840/3309053/7e993e6ecb3d/kjp-50-63-g005.jpg
https://cdn.ncbi.nlm.nih.gov/pmc/blobs/b840/3309053/5fcb2d621ee6/kjp-50-63-g001.jpg
https://cdn.ncbi.nlm.nih.gov/pmc/blobs/b840/3309053/2a0ef4c6d0cc/kjp-50-63-g002.jpg
https://cdn.ncbi.nlm.nih.gov/pmc/blobs/b840/3309053/ad4bc8501db9/kjp-50-63-g003.jpg
https://cdn.ncbi.nlm.nih.gov/pmc/blobs/b840/3309053/edd04635dc6e/kjp-50-63-g004.jpg
https://cdn.ncbi.nlm.nih.gov/pmc/blobs/b840/3309053/7e993e6ecb3d/kjp-50-63-g005.jpg

相似文献

1
Congenital neosporosis in goats from the State of Minas Gerais, Brazil.巴西米纳斯吉拉斯州山羊的先天性新孢子虫病
Korean J Parasitol. 2012 Mar;50(1):63-7. doi: 10.3347/kjp.2012.50.1.63. Epub 2012 Mar 6.
2
Granulomatous encephalitis in a neurologically impaired goat kid associated with degeneration of Neospora caninum tissue cysts.
J Vet Diagn Invest. 2001 Sep;13(5):416-9. doi: 10.1177/104063870101300509.
3
Neosporosis-associated abortion in a dairy goat.一只奶山羊的新孢子虫病相关性流产
J Am Vet Med Assoc. 1996 Jan 15;208(2):263-5.
4
Prevalence of anti-Neospora caninum antibodies in Iranian goats.伊朗山羊中抗犬新孢子虫抗体的流行情况。
Ann Parasitol. 2016;62(2):111-4. doi: 10.17420/ap6202.41.
5
Detection of Neospora caninum in an aborted goat foetus.在一只流产的山羊胎儿中检测到犬新孢子虫。
Vet Parasitol. 2004 Sep 2;123(3-4):271-4. doi: 10.1016/j.vetpar.2004.06.017.
6
Toxoplasma gondii and Neospora caninum infections in goat abortions from Argentina.阿根廷山羊流产中弓形虫和犬新孢子虫感染情况
Parasitol Int. 2014 Dec;63(6):865-7. doi: 10.1016/j.parint.2014.07.009. Epub 2014 Aug 14.
7
Seroprevalence and risk factors for Neospora caninum in goats in Santa Catarina state, Brazil.巴西圣卡塔琳娜州山羊新孢子虫的血清阳性率及危险因素
Rev Bras Parasitol Vet. 2014 Jul-Sep;23(3):360-6. doi: 10.1590/s1984-29612014062.
8
Seroprevalence for Neospora caninum in goats of Minas Gerais state, Brazil.巴西米纳斯吉拉斯州山羊中新孢子虫血清流行率。
Res Vet Sci. 2013 Jun;94(3):584-6. doi: 10.1016/j.rvsc.2012.09.026. Epub 2012 Nov 27.
9
Antibody kinetics in goats and conceptuses naturally infected with Neospora caninum.自然感染刚地弓形虫的山羊及其胚胎中的抗体动力学。
Vet Parasitol. 2013 Sep 23;196(3-4):327-33. doi: 10.1016/j.vetpar.2013.03.002. Epub 2013 Mar 13.
10
Toxoplasma gondii, Neospora caninum and tick-transmitted bacterium Anaplasma phagocytophilum infections in one selected goat farm in Slovakia.斯洛伐克一个选定山羊场中的刚地弓形虫、犬新孢子虫和蜱传播细菌嗜吞噬细胞无形体感染情况。
Acta Parasitol. 2013 Dec;58(4):541-6. doi: 10.2478/s11686-013-0171-5. Epub 2013 Dec 13.

引用本文的文献

1
Anti-Neospora caninum and anti-Toxoplasma gondii antibodies in cattle intended for human consumption in the State of Espírito Santo, Brazil: prevalence and associated factors.巴西圣埃斯皮里图州供人类食用牛的抗犬新孢子虫和抗刚地弓形虫抗体:流行情况及相关因素
Rev Bras Parasitol Vet. 2025 Jun 2;34(2):e001225. doi: 10.1590/S1984-29612025026. eCollection 2025.
2
Seroprevalence of Specific Antibodies to , , and spp. in Sheep and Goats in Egypt.埃及绵羊和山羊中针对、和 spp. 的特定抗体血清阳性率。
Animals (Basel). 2022 Nov 28;12(23):3327. doi: 10.3390/ani12233327.
3
Prospective cohort study reveals unexpected aetiologies of livestock abortion in northern Tanzania.

本文引用的文献

1
Neospora caninum in bovine fetuses of Minas Gerais, Brazil: genetic characteristics of rDNA.巴西米纳斯吉拉斯州牛胎儿中的犬新孢子虫:核糖体DNA的遗传特征
Rev Bras Parasitol Vet. 2011 Oct-Dec;20(4):281-8. doi: 10.1590/s1984-29612011000400005.
2
Diagnosis of bovine neosporosis.牛新孢子虫病的诊断
Vet Parasitol. 2006 Aug 31;140(1-2):1-34. doi: 10.1016/j.vetpar.2006.03.035. Epub 2006 May 24.
3
Pathogenesis of bovine neosporosis.牛新孢子虫病的发病机制。
前瞻性队列研究揭示坦桑尼亚北部家畜流产的意外病因。
Sci Rep. 2022 Jul 8;12(1):11669. doi: 10.1038/s41598-022-15517-8.
4
Caprine Monocytes Release Extracellular Traps against .山羊单核细胞释放细胞外陷阱对抗…… (原文最后against后内容缺失)
Front Immunol. 2018 Jan 19;8:2016. doi: 10.3389/fimmu.2017.02016. eCollection 2017.
5
Experimental caprine neosporosis: the influence of gestational stage on the outcome of infection.实验性山羊新孢子虫病:妊娠阶段对感染结果的影响。
Vet Res. 2016 Feb 11;47:29. doi: 10.1186/s13567-016-0312-6.
6
Histological and immunohistochemical characterization of the inflammatory and glial cells in the central nervous system of goat fetuses and adult male goats naturally infected with Neospora caninum.自然感染犬新孢子虫的山羊胎儿和成年雄性山羊中枢神经系统中炎性细胞和神经胶质细胞的组织学及免疫组化特征
BMC Vet Res. 2014 Dec 14;10:291. doi: 10.1186/s12917-014-0291-7.
7
Risk factors associated with seroprevalence of Neospora caninum in dogs from urban and rural areas of milk and coffee production in Minas Gerais state, Brazil.巴西米纳斯吉拉斯州牛奶和咖啡生产的城市和农村地区犬新孢子虫血清阳性率的相关风险因素。
Epidemiol Infect. 2013 Nov;141(11):2286-93. doi: 10.1017/S0950268813000162. Epub 2013 Feb 18.
J Comp Pathol. 2006 May;134(4):267-89. doi: 10.1016/j.jcpa.2005.11.004. Epub 2006 May 18.
4
Meningoencephalomyelitis caused by Neospora caninum in a juvenile fallow deer (Dama dama).新生隐孢子虫引起的幼年黇鹿脑膜脑脊髓炎
J Vet Med A Physiol Pathol Clin Med. 2004 Aug;51(6):280-3. doi: 10.1111/j.1439-0442.2004.00646.x.
5
Detection of Neospora caninum in an aborted goat foetus.在一只流产的山羊胎儿中检测到犬新孢子虫。
Vet Parasitol. 2004 Sep 2;123(3-4):271-4. doi: 10.1016/j.vetpar.2004.06.017.
6
Review of Neospora caninum and neosporosis in animals.动物新孢子虫及新孢子虫病综述。
Korean J Parasitol. 2003 Mar;41(1):1-16. doi: 10.3347/kjp.2003.41.1.1.
7
Isolation of bluetongue virus serotype 12 from an outbreak of the disease in South America.
Vet Rec. 2002 Sep 7;151(10):301-2. doi: 10.1136/vr.151.10.301.
8
Redescription of Neospora caninum and its differentiation from related coccidia.
Int J Parasitol. 2002 Jul;32(8):929-46. doi: 10.1016/s0020-7519(02)00094-2.
9
Granulomatous encephalitis in a neurologically impaired goat kid associated with degeneration of Neospora caninum tissue cysts.
J Vet Diagn Invest. 2001 Sep;13(5):416-9. doi: 10.1177/104063870101300509.
10
A review of Neospora caninum and neosporosis.犬新孢子虫与新孢子虫病综述。
Vet Parasitol. 1996 Dec 2;67(1-2):1-59. doi: 10.1016/s0304-4017(96)01035-7.