Suppr超能文献

实验性山羊新孢子虫病:妊娠阶段对感染结果的影响。

Experimental caprine neosporosis: the influence of gestational stage on the outcome of infection.

作者信息

Porto Wagnner José Nascimento, Regidor-Cerrillo Javier, Kim Pomy de Cássia Peixoto, Benavides Julio, Silva Ana Clécia dos Santos, Horcajo Pilar, Oliveira Andrea Alice da Fonseca, Ferre Ignacio, Mota Rinaldo Aparecido, Ortega-Mora Luis Miguel

机构信息

Campus Arapiraca-Unidade Educacional Viçosa, Universidade Federal de Alagoas, Viçosa, AL, Brazil.

SALUVET, Animal Health Department, Faculty of Veterinary Sciences, Complutense University of Madrid, Ciudad Universitaria s/n, 28040, Madrid, Spain.

出版信息

Vet Res. 2016 Feb 11;47:29. doi: 10.1186/s13567-016-0312-6.

Abstract

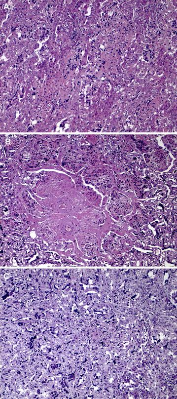
Here, we assessed outcome of experimental infection by Neospora caninum in goats intravenously inoculated with 10(6) tachyzoites of the Nc-Spain7 isolate at 40 (G1), 90 (G2) and 120 (G3) days of gestation. Infected goats had fever between 5 and 9 days post inoculation (dpi); all were seropositive at the time of abortion/birth. Foetal death occurred in G1 from 10 to 21 dpi (n = 7) and in G2 from 27 to 35 dpi (n = 4). Goats in G2 also had seropositive stillbirth (n = 1) and healthy kids (n = 2). G3 goats (n = 7) had 3 seropositive and 3 seronegative weak kids, and 2 seronegative healthy kids. Parasite DNA detection in placentomes was 100% in G2, 85.7% in G3 and in G1 was detected only in placentomes from the goats with foetal losses from 17 dpi (100%). Parasites were detected in foetal/kid brain (>85.7%) and liver (≥ 50%) of G2 and G3, and in G1 after 17 dpi (100%). The highest parasite loads were detected in the placentomes of G1 from 17 dpi and G2, and in foetal tissues of G1 from 17 dpi and G3. Multifocal necrotic lesions were observed in the placentas of the three groups, but they were larger and more frequent in G1 and G2. Similar lesions were observed in foetal tissues, but they were more frequent in G3. These findings suggest that, as observed in cattle and sheep, the clinical consequences of N. caninum in pregnant goats are dependent in part on the time of gestation when animals were infected.

摘要

在此,我们评估了在妊娠40天(G1组)、90天(G2组)和120天(G3组)时静脉接种10⁶个Nc-Spain7分离株速殖子的山羊经犬新孢子虫实验性感染的结果。感染的山羊在接种后5至9天出现发热;所有山羊在流产/分娩时均为血清阳性。G1组在接种后10至21天发生胎儿死亡(n = 7),G2组在接种后27至35天发生胎儿死亡(n = 4)。G2组的山羊还出现了血清阳性的死产(n = 1)和健康的羔羊(n = 2)。G3组的山羊(n = 7)有3只血清阳性和3只血清阴性的体弱羔羊,以及2只血清阴性的健康羔羊。G2组胎盘小叶中寄生虫DNA检测率为100%,G3组为85.7%,G1组仅在接种后17天出现胎儿死亡的山羊的胎盘小叶中检测到(100%)。在G2组和G3组的胎儿/羔羊大脑(>85.7%)和肝脏(≥50%)中检测到寄生虫,G1组在接种后17天(100%)检测到寄生虫。在G1组接种后17天和G2组的胎盘小叶中以及G1组接种后17天和G3组的胎儿组织中检测到最高的寄生虫载量。在三组山羊的胎盘中均观察到多灶性坏死病变,但在G1组和G2组中病变更大且更频繁。在胎儿组织中也观察到类似病变,但在G3组中更频繁。这些发现表明,正如在牛和羊中观察到的那样,犬新孢子虫对妊娠山羊的临床影响部分取决于动物感染时的妊娠时间。

https://cdn.ncbi.nlm.nih.gov/pmc/blobs/f6df/4750177/feafdf3ea149/13567_2016_312_Fig1_HTML.jpg

文献AI研究员

20分钟写一篇综述,助力文献阅读效率提升50倍。

立即体验

用中文搜PubMed

大模型驱动的PubMed中文搜索引擎

马上搜索

文档翻译

学术文献翻译模型,支持多种主流文档格式。

立即体验