Suppr超能文献

β-环糊精-聚氨酯聚合物从水溶液中吸附赭曲霉毒素 A。

Sorption of ochratoxin A from aqueous solutions using β-cyclodextrin-polyurethane polymer.

机构信息

Bacterial Foodborne Pathogens and Mycology Research Unit, United States Department of Agriculture, Agricultural Research Service, National Center for Agricultural Utilization Research, 1815 N. University St., Peoria, IL 61604, USA.

出版信息

Toxins (Basel). 2012 Feb;4(2):98-109. doi: 10.3390/toxins4020098. Epub 2012 Feb 6.

Abstract

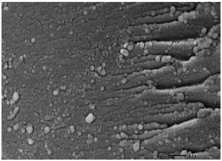
The ability of a cyclodextrin-polyurethane polymer to remove ochratoxin A from aqueous solutions was examined by batch rebinding assays. The results from the aqueous binding studies were fit to two parameter models to gain insight into the interaction of ochratoxin A with the nanosponge material. The ochratoxin A sorption data fit well to the heterogeneous Freundlich isotherm model. The polymer was less effective at binding ochratoxin A in high pH buffer (9.5) under conditions where ochratoxin A exists predominantly in the dianionic state. Batch rebinding assays in red wine indicate the polymer is able to remove significant levels of ochratoxin A from spiked solutions between 1-10 μg·L(-1). These results suggest cyclodextrin nanosponge materials are suitable to reduce levels of ochratoxin A from spiked aqueous solutions and red wine samples.

摘要

通过批量结合实验研究了环糊精-聚氨酯聚合物从水溶液中去除赭曲霉毒素 A 的能力。将水溶液结合研究的结果拟合到双参数模型中,以深入了解赭曲霉毒素 A 与纳米海绵材料的相互作用。赭曲霉毒素 A 的吸附数据很好地符合非均相 Freundlich 等温线模型。在 pH 值为 9.5 的高缓冲液中,当赭曲霉毒素 A 主要以二价阴离子形式存在时,聚合物对赭曲霉毒素 A 的结合效果较差。在红葡萄酒中的批量结合实验表明,该聚合物能够从 1-10 μg·L(-1) 的加标溶液中去除大量的赭曲霉毒素 A。这些结果表明,环糊精纳米海绵材料适合降低加标水溶液和红葡萄酒样品中的赭曲霉毒素 A 含量。

https://cdn.ncbi.nlm.nih.gov/pmc/blobs/3287/3317110/341203d00f6c/toxins-04-00098-g001.jpg

文献检索

告别复杂PubMed语法,用中文像聊天一样搜索,搜遍4000万医学文献。AI智能推荐,让科研检索更轻松。

立即免费搜索

文件翻译

保留排版,准确专业,支持PDF/Word/PPT等文件格式,支持 12+语言互译。

免费翻译文档

深度研究

AI帮你快速写综述,25分钟生成高质量综述,智能提取关键信息,辅助科研写作。

立即免费体验