• 文献检索
  • 文档翻译
  • 深度研究
  • 学术资讯
  • Suppr Zotero 插件Zotero 插件
  • 邀请有礼
  • 套餐&价格
  • 历史记录
应用&插件
Suppr Zotero 插件Zotero 插件浏览器插件Mac 客户端Windows 客户端微信小程序
定价
高级版会员购买积分包购买API积分包
服务
文献检索文档翻译深度研究API 文档MCP 服务
关于我们
关于 Suppr公司介绍联系我们用户协议隐私条款
关注我们

Suppr 超能文献

核心技术专利:CN118964589B侵权必究
粤ICP备2023148730 号-1Suppr @ 2026

文献检索

告别复杂PubMed语法,用中文像聊天一样搜索,搜遍4000万医学文献。AI智能推荐,让科研检索更轻松。

立即免费搜索

文件翻译

保留排版,准确专业,支持PDF/Word/PPT等文件格式,支持 12+语言互译。

免费翻译文档

深度研究

AI帮你快速写综述,25分钟生成高质量综述,智能提取关键信息,辅助科研写作。

立即免费体验

阴道旁周围原始神经外胚层肿瘤:一种罕见肿瘤。

Paravaginal peripheral primitive neuroectodermal tumor: A rare tumor.

作者信息

Dutta Samrat, Dasgupta Chandan, Choudhury Kakoli

机构信息

Department of Radiotherapy, Medical College, Kolkata, West Bengal, India.

出版信息

Indian J Med Paediatr Oncol. 2011 Jul;32(3):171-3. doi: 10.4103/0971-5851.92823.

DOI:10.4103/0971-5851.92823
PMID:22557788
原文链接:https://pmc.ncbi.nlm.nih.gov/articles/PMC3342728/
Abstract

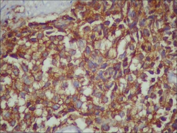
Peripheral primitive neuroectodermal tumor (PNET) of the female genital tract, particularly those in the vaginal and paravaginal region, are extremely rare. A 36-year-old woman presented with clinical features similar to that of a case of cervical fibroid. It was only after surgery that the histopathology suggested it to be a malignant round cell tumour and was CD99 positive. She underwent adjuvant chemotherapy with the Ifosfamide and Etoposide alternating with Vincristine, Doxorubicin, and Cyclophosphamide regime and radical radiotherapy. She is disease free at 12 months of follow-up. The importance of immunostaining and adequate histopathology report lies in the fact that the correct diagnosis thus achieved enabled us to manage a rare case of paravaginal PNET with a multimodality approach.

摘要

女性生殖道外周原始神经外胚层肿瘤(PNET),尤其是阴道和阴道旁区域的此类肿瘤极为罕见。一名36岁女性的临床表现与宫颈肌瘤病例相似。直到手术后,组织病理学检查才提示其为恶性圆形细胞瘤且CD99呈阳性。她接受了异环磷酰胺和依托泊苷交替联合长春新碱、多柔比星及环磷酰胺方案的辅助化疗以及根治性放疗。随访12个月时她无疾病复发。免疫染色及充分的组织病理学报告的重要性在于,由此获得的正确诊断使我们能够采用多模式方法处理一例罕见的阴道旁PNET病例。

https://cdn.ncbi.nlm.nih.gov/pmc/blobs/4dca/3342728/5979c990280b/IJMPO-32-171-g002.jpg
https://cdn.ncbi.nlm.nih.gov/pmc/blobs/4dca/3342728/d89d027fc937/IJMPO-32-171-g001.jpg
https://cdn.ncbi.nlm.nih.gov/pmc/blobs/4dca/3342728/5979c990280b/IJMPO-32-171-g002.jpg
https://cdn.ncbi.nlm.nih.gov/pmc/blobs/4dca/3342728/d89d027fc937/IJMPO-32-171-g001.jpg
https://cdn.ncbi.nlm.nih.gov/pmc/blobs/4dca/3342728/5979c990280b/IJMPO-32-171-g002.jpg

相似文献

1
Paravaginal peripheral primitive neuroectodermal tumor: A rare tumor.阴道旁周围原始神经外胚层肿瘤:一种罕见肿瘤。
Indian J Med Paediatr Oncol. 2011 Jul;32(3):171-3. doi: 10.4103/0971-5851.92823.
2
Peripheral primitive neuroectodermal tumor of the dura in a 51-year-old woman following intensive treatment for breast cancer.一名51岁女性在接受乳腺癌强化治疗后发生的硬脑膜外周原始神经外胚层肿瘤。
Am J Case Rep. 2014 Jul 10;15:294-9. doi: 10.12659/AJCR.890656. eCollection 2014.
3
Metastatic malignant transformation of teratoma to primitive neuroectodermal tumor (PNET): results with PNET-based chemotherapy.畸胎瘤向原始神经外胚层肿瘤(PNET)的转移性恶性转化:基于PNET的化疗结果。
Am J Clin Oncol. 2015 Aug;38(4):364-6. doi: 10.1097/COC.0b013e31829d1ed7.
4
Primitive neuroectodermal tumour of the cervix: a rare diagnosis.宫颈原始神经外胚层肿瘤:一种罕见的诊断。
BMJ Case Rep. 2017 Jan 4;2017:bcr2016217461. doi: 10.1136/bcr-2016-217461.
5
Cervical primitive neuroectodermal tumor.宫颈原始神经外胚层肿瘤。
Gynecol Oncol. 2001 Oct;83(1):138-42. doi: 10.1006/gyno.2001.6339.
6
Primary renal primitive neuroectodermal tumor.原发性肾原始神经外胚层肿瘤
J Postgrad Med. 2015 Apr-Jun;61(2):126-8. doi: 10.4103/0022-3859.150897.
7
Primitive neuroectodermal tumors of the abdominal wall and vulva in children: Report of two cases and review of the literature.儿童腹壁和外阴原始神经外胚层肿瘤:两例报告并文献复习
World J Clin Cases. 2019 Nov 6;7(21):3671-3682. doi: 10.12998/wjcc.v7.i21.3671.
8
Primary Ewing's sarcoma/primitive neuroectodermal tumor of the kidney that responded to low-dose chemotherapy with ifosfamide, etoposide, and doxorubicin.肾脏原始神经外胚层肿瘤/尤文氏肉瘤对低剂量异环磷酰胺、依托泊苷和多柔比星化疗有反应。
Int J Clin Oncol. 2010 Apr;15(2):210-4. doi: 10.1007/s10147-010-0031-3. Epub 2010 Feb 26.
9
Addition of ifosfamide and etoposide to standard chemotherapy for Ewing's sarcoma and primitive neuroectodermal tumor of bone.在尤因肉瘤和骨原始神经外胚层肿瘤的标准化疗中添加异环磷酰胺和依托泊苷。
N Engl J Med. 2003 Feb 20;348(8):694-701. doi: 10.1056/NEJMoa020890.
10
Primary primitive neuroectodermal tumor of the breast: a rare case presentation.乳腺原发性原始神经外胚层肿瘤:1例罕见病例报告
Indian J Surg. 2013 Jun;75(Suppl 1):283-5. doi: 10.1007/s12262-012-0685-3. Epub 2012 Jul 7.

引用本文的文献

1
Ewing Sarcoma With Emphasis on Extra-skeletal Ewing Sarcoma: A Decade's Experience From a Single Centre in India.尤因肉瘤,重点关注骨外尤因肉瘤:来自印度单一中心的十年经验。
Clin Pathol. 2020 Nov 11;13:2632010X20970210. doi: 10.1177/2632010X20970210. eCollection 2020 Jan-Dec.
2
Ovarian primary primitive neuroectodermal tumor: a review of cases at PUMCH and in the published literature.卵巢原始神经外胚层肿瘤:北京大学人民医院及文献复习
Orphanet J Rare Dis. 2019 Jun 19;14(1):147. doi: 10.1186/s13023-019-1106-5.
3
Primitive Neuroectodermal Tumor of the Vulva in an Adolescent Girl.

本文引用的文献

1
Extraskeletal neuroectodermal tumour of the vagina: a single case report and review.阴道外骨骼神经外胚层肿瘤:一例报告并文献复习
Arch Gynecol Obstet. 2009 Sep;280(3):465-8. doi: 10.1007/s00404-008-0898-7. Epub 2009 Jan 16.
2
Ewing family of tumours involving the vulva and vagina: report of a series of four cases.尤因家族性肿瘤累及外阴和阴道:4例系列报道
J Clin Pathol. 2007 Jun;60(6):674-80. doi: 10.1136/jcp.2006.040931.
3
Primitive neuroectodermal tumor of the uterus.子宫原始神经外胚层肿瘤
一名青春期女孩的外阴原始神经外胚层肿瘤
World J Oncol. 2014 Dec;5(5-6):220-222. doi: 10.14740/wjon819w. Epub 2014 Dec 3.
Gynecol Oncol. 2007 Aug;106(2):419-22. doi: 10.1016/j.ygyno.2007.04.008. Epub 2007 May 30.
4
Primary Ewing's sarcoma-primitive neuroectodermal tumor of the vagina.原发性尤因肉瘤-阴道原始神经外胚层肿瘤。
Gynecol Oncol. 2004 Feb;92(2):684-8. doi: 10.1016/j.ygyno.2003.10.051.
5
Addition of ifosfamide and etoposide to standard chemotherapy for Ewing's sarcoma and primitive neuroectodermal tumor of bone.在尤因肉瘤和骨原始神经外胚层肿瘤的标准化疗中添加异环磷酰胺和依托泊苷。
N Engl J Med. 2003 Feb 20;348(8):694-701. doi: 10.1056/NEJMoa020890.
6
Extraosseous Ewing sarcoma of the vagina.阴道骨外尤文肉瘤
Obstet Gynecol. 2000 Nov;96(5 Pt 2):832-4. doi: 10.1016/s0029-7844(00)01033-4.
7
Primary endocervical extraosseous Ewing's sarcoma/PNET.
Int J Gynecol Pathol. 1998 Jan;17(1):83-8. doi: 10.1097/00004347-199801000-00015.
8
Primitive neuroectodermal tumors of the uterus: a report of four cases.
Hum Pathol. 1992 Oct;23(10):1120-9. doi: 10.1016/0046-8177(92)90030-7.
9
Extraskeletal neoplasm resembling Ewing's sarcoma.类似尤因肉瘤的骨外肿瘤。
Cancer. 1975 Jul;36(1):240-51. doi: 10.1002/1097-0142(197507)36:1<240::aid-cncr2820360127>3.0.co;2-h.