Department of Biochemistry, Sri Krishnadevaraya University, Anantapur - 515 055, AP, India.
J Clin Biochem Nutr. 2012 May;50(3):199-204. doi: 10.3164/jcbn.11-69. Epub 2011 Dec 14.
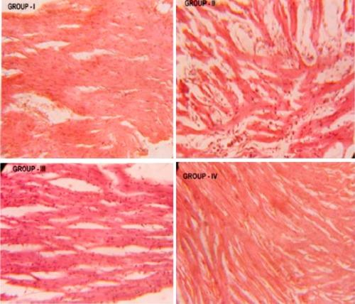
Myocardial infarction is a major public health concern and the leading cause of death throughout the world. The present study investigates the ability of Aegle marmelos fruit extract to prevent pathological changes and oxidative stress after isoproterenol induced myocardial infarction in rats. In vitro studies showed that Aegle marmelos fruit extract possesses antioxidant activity. Administration of isoproterenol (85 mg/kg body weight) to rats resulted in significantly elevated plasma transaminases, lactate dehydrogenase and creatine kinase, however, cardiac tissue analyses showed decreased activity of the above enzymes compared to experimental control rats. Further, isoproterenol administration significantly increased plasma and cardiac tissue thiobarbituric acid reactive substances and lowered the activities of cardiac tissue superoxide dismutase, catalase, reduced glutathione, glutathione peroxidase and glutathione-S-transferase when compared to control groups. Pretreatment with Aegle marmelos fruit extract at a dose of 150 mg/kg body weight for a period of 45 days significantly prevented the observed alterations. Our data suggest that Aegle marmelos fruit extract exerts its protective effect by decreasing thiobarbituric acid reactive substances and elevating antioxidants status in isoproterenol treated rats. Both biochemical and histopathological results in the isoproterenol-induced myocardial infarction model emphasize the beneficial action of Aegle marmelos fruit extract as a cardioprotective agent.
心肌梗死是一个重大的公共卫生关注点,也是全球范围内的主要死亡原因。本研究旨在探究酸橙果实提取物预防异丙肾上腺素诱导的大鼠心肌梗死病理变化和氧化应激的能力。体外研究表明,酸橙果实提取物具有抗氧化活性。给大鼠注射异丙肾上腺素(85mg/kg 体重)会导致血浆转氨酶、乳酸脱氢酶和肌酸激酶显著升高,但与实验对照组大鼠相比,心脏组织分析显示上述酶的活性降低。此外,与对照组相比,异丙肾上腺素给药会显著增加血浆和心脏组织的硫代巴比妥酸反应物质,并降低心脏组织中超氧化物歧化酶、过氧化氢酶、还原型谷胱甘肽、谷胱甘肽过氧化物酶和谷胱甘肽-S-转移酶的活性。用 150mg/kg 体重的酸橙果实提取物预处理 45 天,可显著预防观察到的变化。我们的数据表明,酸橙果实提取物通过降低硫代巴比妥酸反应物质和提高抗氧化剂状态来发挥其保护作用,在异丙肾上腺素处理的大鼠中。异丙肾上腺素诱导的心肌梗死模型中的生化和组织病理学结果均强调了酸橙果实提取物作为心脏保护剂的有益作用。