• 文献检索
  • 文档翻译
  • 深度研究
  • 学术资讯
  • Suppr Zotero 插件Zotero 插件
  • 邀请有礼
  • 套餐&价格
  • 历史记录
应用&插件
Suppr Zotero 插件Zotero 插件浏览器插件Mac 客户端Windows 客户端微信小程序
定价
高级版会员购买积分包购买API积分包
服务
文献检索文档翻译深度研究API 文档MCP 服务
关于我们
关于 Suppr公司介绍联系我们用户协议隐私条款
关注我们

Suppr 超能文献

核心技术专利:CN118964589B侵权必究
粤ICP备2023148730 号-1Suppr @ 2026

文献检索

告别复杂PubMed语法,用中文像聊天一样搜索,搜遍4000万医学文献。AI智能推荐,让科研检索更轻松。

立即免费搜索

文件翻译

保留排版,准确专业,支持PDF/Word/PPT等文件格式,支持 12+语言互译。

免费翻译文档

深度研究

AI帮你快速写综述,25分钟生成高质量综述,智能提取关键信息,辅助科研写作。

立即免费体验

一种选择性芳烃受体调节剂 3,3'-二吲哚甲烷抑制胃癌细胞生长。

A selective aryl hydrocarbon receptor modulator 3,3'-Diindolylmethane inhibits gastric cancer cell growth.

机构信息

Department of Gastroenterology, the First Affiliated Hospital of Sun Yat-Sen University, Guangzhou, People's Republic of China.

出版信息

J Exp Clin Cancer Res. 2012 May 16;31(1):46. doi: 10.1186/1756-9966-31-46.

DOI:10.1186/1756-9966-31-46
PMID:22592002
原文链接:https://pmc.ncbi.nlm.nih.gov/articles/PMC3403951/
Abstract

BACKGROUND

Aryl hydrocarbon receptor (AhR) is a ligand-activated transcription factor associated with gastric carcinogenesis. 3,3'-Diindolylmethane (DIM) is a relatively non-toxic selective AhR modulator. This study was to detect the effects of DIM on gastric cancer cell growth.

METHODS

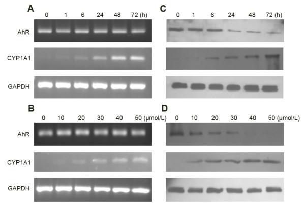
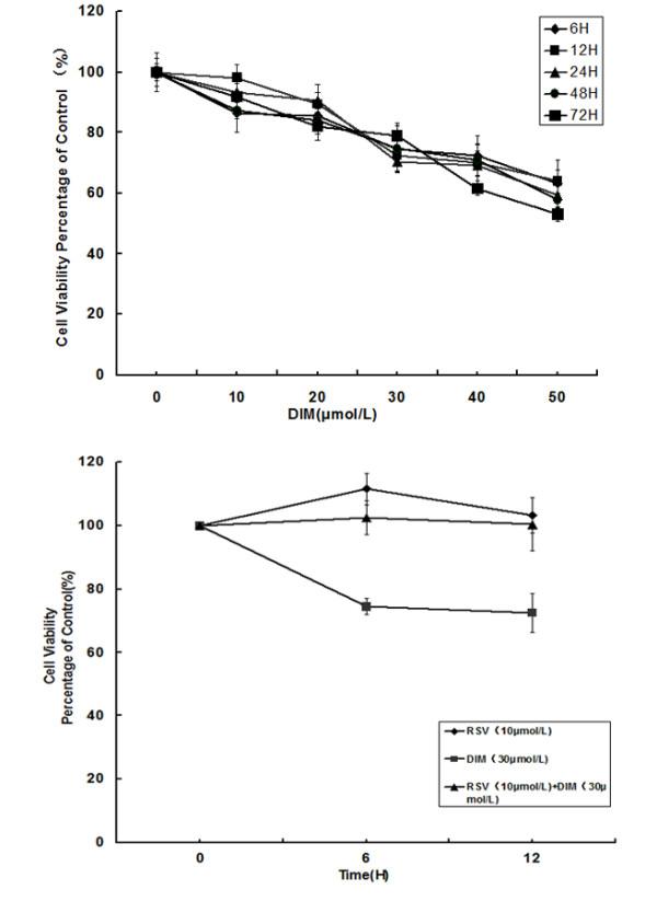
Gastric cancer cell SGC7901 was treated with DIM at different concentrations (0,10,20,30,40,50 μmol/L) with or without an AhR antagonist, resveratrol. The expression of AhR and Cytochrome P4501A1 (CYP1A1), a classic target gene of AhR pathway, were detected by RT-PCR and Western blot; cell viability was measured by MTT assay, and the changes in cell cycle and apoptosis were analyzed by flow cytometry.

RESULTS

RT-PCR and western-blot showed that with the increase of the concentration of DIM, AhR protein gradually decreased and CYP1A1 expression increased, suggesting that DIM activated the AhR pathway and caused the translocation of AhR from cytoplasm to nucleus. MTT assay indicated that the viability of SGC7901 cells was significantly decreased in a concentration- and time-dependent manner after DIM treatment and this could be partially reversed by resveratrol. Flow cytometry analysis showed that DIM arrested cell cycle in G1 phase and induced cell apoptosis.

CONCLUSION

Selective aryl hydrocarbon receptor modulator 3,3'-Diindolylmethane inhibits SGC7901 cell proliferation by inducing apoptosis and delaying cell cycle progression. AhR may be a potential therapeutic target for gastric cancer treatment.

摘要

背景

芳香烃受体 (AhR) 是一种与胃癌发生相关的配体激活转录因子。3,3'-二吲哚甲烷 (DIM) 是一种相对无毒的选择性 AhR 调节剂。本研究旨在检测 DIM 对胃癌细胞生长的影响。

方法

用不同浓度(0、10、20、30、40、50μmol/L)的 DIM 处理胃癌细胞 SGC7901,同时用 AhR 拮抗剂白藜芦醇处理。通过 RT-PCR 和 Western blot 检测 AhR 和细胞色素 P4501A1(CYP1A1)的表达,CYP1A1 是 AhR 通路的经典靶基因;通过 MTT 法测定细胞活力,通过流式细胞术分析细胞周期和凋亡的变化。

结果

RT-PCR 和 Western blot 结果显示,随着 DIM 浓度的增加,AhR 蛋白逐渐减少,CYP1A1 表达增加,提示 DIM 激活了 AhR 通路,导致 AhR 从细胞质向核内易位。MTT 法表明,DIM 处理后 SGC7901 细胞的活力呈浓度和时间依赖性显著降低,白藜芦醇可部分逆转这种作用。流式细胞术分析显示,DIM 将细胞周期阻滞在 G1 期并诱导细胞凋亡。

结论

选择性芳香烃受体调节剂 3,3'-二吲哚甲烷通过诱导细胞凋亡和延缓细胞周期进程抑制 SGC7901 细胞增殖。AhR 可能是胃癌治疗的潜在治疗靶点。

https://cdn.ncbi.nlm.nih.gov/pmc/blobs/d75b/3403951/9216f9898a20/1756-9966-31-46-5.jpg
https://cdn.ncbi.nlm.nih.gov/pmc/blobs/d75b/3403951/0c728fe1a055/1756-9966-31-46-1.jpg
https://cdn.ncbi.nlm.nih.gov/pmc/blobs/d75b/3403951/496d87897d05/1756-9966-31-46-2.jpg
https://cdn.ncbi.nlm.nih.gov/pmc/blobs/d75b/3403951/f2de3f173b05/1756-9966-31-46-3.jpg
https://cdn.ncbi.nlm.nih.gov/pmc/blobs/d75b/3403951/c56fcc10dc62/1756-9966-31-46-4.jpg
https://cdn.ncbi.nlm.nih.gov/pmc/blobs/d75b/3403951/9216f9898a20/1756-9966-31-46-5.jpg
https://cdn.ncbi.nlm.nih.gov/pmc/blobs/d75b/3403951/0c728fe1a055/1756-9966-31-46-1.jpg
https://cdn.ncbi.nlm.nih.gov/pmc/blobs/d75b/3403951/496d87897d05/1756-9966-31-46-2.jpg
https://cdn.ncbi.nlm.nih.gov/pmc/blobs/d75b/3403951/f2de3f173b05/1756-9966-31-46-3.jpg
https://cdn.ncbi.nlm.nih.gov/pmc/blobs/d75b/3403951/c56fcc10dc62/1756-9966-31-46-4.jpg
https://cdn.ncbi.nlm.nih.gov/pmc/blobs/d75b/3403951/9216f9898a20/1756-9966-31-46-5.jpg

相似文献

1
A selective aryl hydrocarbon receptor modulator 3,3'-Diindolylmethane inhibits gastric cancer cell growth.一种选择性芳烃受体调节剂 3,3'-二吲哚甲烷抑制胃癌细胞生长。
J Exp Clin Cancer Res. 2012 May 16;31(1):46. doi: 10.1186/1756-9966-31-46.
2
Aryl hydrocarbon receptor pathway activation enhances gastric cancer cell invasiveness likely through a c-Jun-dependent induction of matrix metalloproteinase-9.芳烃受体通路激活可能通过c-Jun依赖性诱导基质金属蛋白酶-9增强胃癌细胞的侵袭性。
BMC Cell Biol. 2009 Apr 16;10:27. doi: 10.1186/1471-2121-10-27.
3
Selective Aryl Hydrocarbon Receptor Modulator 3,3'-Diindolylmethane Impairs AhR and ARNT Signaling and Protects Mouse Neuronal Cells Against Hypoxia.选择性芳烃受体调节剂 3,3'-二吲哚甲烷抑制 AhR 和 ARNT 信号通路并保护小鼠神经元细胞免受缺氧损伤。
Mol Neurobiol. 2016 Oct;53(8):5591-606. doi: 10.1007/s12035-015-9471-0. Epub 2015 Oct 17.
4
3,3'-Diindolylmethane modulates aryl hydrocarbon receptor of esophageal squamous cell carcinoma to reverse epithelial-mesenchymal transition through repressing RhoA/ROCK1-mediated COX2/PGE pathway.3,3'-二吲哚甲烷通过抑制 RhoA/ROCK1 介导的 COX2/PGE 通路调节食管鳞癌细胞芳烃受体逆转上皮-间充质转化。
J Exp Clin Cancer Res. 2020 Jun 16;39(1):113. doi: 10.1186/s13046-020-01618-7.
5
The neuroprotective action of 3,3'-diindolylmethane against ischemia involves an inhibition of apoptosis and autophagy that depends on HDAC and AhR/CYP1A1 but not ERα/CYP19A1 signaling.3,3'-二吲哚甲烷对缺血的神经保护作用涉及抑制细胞凋亡和自噬,这取决于组蛋白去乙酰化酶和芳香烃受体/细胞色素 P4501A1 信号通路,但不依赖于雌激素受体α/细胞色素 P45019A1 信号通路。
Apoptosis. 2019 Jun;24(5-6):435-452. doi: 10.1007/s10495-019-01522-2.
6
Downregulation of aryl hydrocarbon receptor expression decreases gastric cancer cell growth and invasion.下调芳香烃受体表达可降低胃癌细胞的生长和侵袭。
Oncol Rep. 2013 Jul;30(1):364-70. doi: 10.3892/or.2013.2410. Epub 2013 Apr 22.
7
Potential therapeutic significance of increased expression of aryl hydrocarbon receptor in human gastric cancer.芳烃受体在人胃癌中表达增加的潜在治疗意义
World J Gastroenterol. 2009 Apr 14;15(14):1719-29. doi: 10.3748/wjg.15.1719.
8
Resveratrol inhibits transcription of CYP1A1 in vitro by preventing activation of the aryl hydrocarbon receptor.白藜芦醇通过阻止芳烃受体的激活在体外抑制CYP1A1的转录。
Cancer Res. 1998 Dec 15;58(24):5707-12.
9
Inhibitory effect of the low-toxic exogenous aryl hydrocarbon receptor modulator 3'3-diindolylmethane on gastric cancer in mice.低毒外源性芳烃受体调节剂3,3'-二吲哚甲烷对小鼠胃癌的抑制作用
Oncol Lett. 2017 Dec;14(6):8100-8105. doi: 10.3892/ol.2017.7185. Epub 2017 Oct 16.
10
Keratinocyte Growth Factor Regulation of Aryl Hydrocarbon Receptor Activation in Colorectal Cancer Cells.角质形成细胞生长因子对结肠癌细胞中芳烃受体激活的调节作用
Dig Dis Sci. 2016 Feb;61(2):444-52. doi: 10.1007/s10620-015-3908-1. Epub 2015 Oct 29.

引用本文的文献

1
Mediated by H3K27me3 Inhibits Porcine Follicular Development by Regulating the Transcription of .由H3K27me3介导,通过调控……的转录抑制猪卵泡发育。 (原文中“by regulating the transcription of.”后面缺少具体内容)
Animals (Basel). 2024 Dec 5;14(23):3514. doi: 10.3390/ani14233514.
2
Diindoles produced from commensal microbiota metabolites function as endogenous CAR/Nr1i3 ligands.共生微生物代谢产物产生的二吲哚甲烷可作为内源性 CAR/Nr1i3 配体。
Nat Commun. 2024 Mar 22;15(1):2563. doi: 10.1038/s41467-024-46559-3.
3
Drug target prediction through deep learning functional representation of gene signatures.

本文引用的文献

1
Global cancer statistics.全球癌症统计数据。
CA Cancer J Clin. 2011 Mar-Apr;61(2):69-90. doi: 10.3322/caac.20107. Epub 2011 Feb 4.
2
Anticancer properties of indole compounds: mechanism of apoptosis induction and role in chemotherapy.吲哚化合物的抗癌特性:诱导细胞凋亡的机制及其在化疗中的作用。
Curr Drug Targets. 2010 Jun;11(6):652-66. doi: 10.2174/138945010791170923.
3
Down-regulation of uPA and uPAR by 3,3'-diindolylmethane contributes to the inhibition of cell growth and migration of breast cancer cells.3,3'-二吲哚甲烷下调 uPA 和 uPAR,从而抑制乳腺癌细胞的生长和迁移。
通过基因特征的深度学习功能表示进行药物靶标预测。
Nat Commun. 2024 Feb 29;15(1):1853. doi: 10.1038/s41467-024-46089-y.
4
Unlocking Diversity: From Simple to Cutting-Edge Synthetic Methodologies of Bis(indolyl)methanes.解锁多样性:从简单到尖端的双(吲哚基)甲烷的合成方法学。
Top Curr Chem (Cham). 2024 Feb 25;382(1):8. doi: 10.1007/s41061-024-00454-z.
5
Resveratrol and 3,3'-Diindolylmethane Differentially Regulate Aryl Hydrocarbon Receptor and Estrogen Receptor Alpha Activity through Multiple Transcriptomic Targets in MCF-7 Human Breast Cancer Cells.白藜芦醇和 3,3'-二吲哚甲烷通过 MCF-7 人乳腺癌细胞中的多个转录组靶标差异调节芳香烃受体和雌激素受体α活性。
Int J Mol Sci. 2023 Sep 26;24(19):14578. doi: 10.3390/ijms241914578.
6
Modulating AHR function offers exciting therapeutic potential in gut immunity and inflammation.调节芳烃受体(AHR)功能在肠道免疫和炎症方面具有令人兴奋的治疗潜力。
Cell Biosci. 2023 May 13;13(1):85. doi: 10.1186/s13578-023-01046-y.
7
Esomeprazole affects the proliferation, metastasis, apoptosis and chemosensitivity of gastric cancer cells by regulating lncRNA/circRNA-miRNA-mRNA ceRNA networks.埃索美拉唑通过调控lncRNA/circRNA-miRNA-mRNA ceRNA网络影响胃癌细胞的增殖、转移、凋亡及化疗敏感性。
Oncol Lett. 2020 Dec;20(6):329. doi: 10.3892/ol.2020.12193. Epub 2020 Oct 6.
8
The Aryl Hydrocarbon Receptor: A Mediator and Potential Therapeutic Target for Ocular and Non-Ocular Neurodegenerative Diseases.芳香烃受体:眼和非眼神经退行性疾病的介质和潜在治疗靶点。
Int J Mol Sci. 2020 Sep 16;21(18):6777. doi: 10.3390/ijms21186777.
9
Therapeutic validation of an orphan G protein-coupled receptor: The case of GPR84.孤儿 G 蛋白偶联受体的治疗验证:以 GPR84 为例。
Br J Pharmacol. 2022 Jul;179(14):3529-3541. doi: 10.1111/bph.15248. Epub 2020 Sep 17.
10
Modulation of aryl hydrocarbon receptor inhibits esophageal squamous cell carcinoma progression by repressing COX2/PGE2/STAT3 axis.芳烃受体的调节通过抑制COX2/PGE2/STAT3轴来抑制食管鳞状细胞癌的进展。
J Cell Commun Signal. 2020 Jun;14(2):175-192. doi: 10.1007/s12079-019-00535-5. Epub 2020 Jan 10.
J Cell Biochem. 2009 Nov 1;108(4):916-25. doi: 10.1002/jcb.22323.
4
Induction of G1 and G2/M cell cycle arrests by the dietary compound 3,3'-diindolylmethane in HT-29 human colon cancer cells.膳食化合物3,3'-二吲哚甲烷诱导HT-29人结肠癌细胞出现G1期和G2/M期细胞周期阻滞
BMC Gastroenterol. 2009 May 29;9:39. doi: 10.1186/1471-230X-9-39.
5
3,3'-Diindolylmethane induces a G(1) arrest in human prostate cancer cells irrespective of androgen receptor and p53 status.3,3'-二吲哚甲烷可诱导人前列腺癌细胞出现G(1)期阻滞,且与雄激素受体和p53状态无关。
Biochem Pharmacol. 2009 Sep 1;78(5):469-76. doi: 10.1016/j.bcp.2009.05.008. Epub 2009 May 9.
6
Potential therapeutic significance of increased expression of aryl hydrocarbon receptor in human gastric cancer.芳烃受体在人胃癌中表达增加的潜在治疗意义
World J Gastroenterol. 2009 Apr 14;15(14):1719-29. doi: 10.3748/wjg.15.1719.
7
Overexpression of cytochrome P450 1B1 in advanced non-small cell lung cancer: a potential therapeutic target.细胞色素P450 1B1在晚期非小细胞肺癌中的过表达:一个潜在的治疗靶点。
Anticancer Res. 2009 Feb;29(2):509-15.
8
The selective aryl hydrocarbon receptor modulator 6-methyl-1,3,8-trichlorodibenzofuran inhibits prostate tumor metastasis in TRAMP mice.选择性芳基烃受体调节剂6-甲基-1,3,8-三氯二苯并呋喃可抑制TRAMP小鼠的前列腺肿瘤转移。
Biochem Pharmacol. 2009 Apr 1;77(7):1151-60. doi: 10.1016/j.bcp.2008.12.015. Epub 2008 Dec 31.
9
Expression and activity of aryl hydrocarbon receptors in development and cancer.芳烃受体在发育和癌症中的表达与活性
Crit Rev Eukaryot Gene Expr. 2008;18(4):279-321. doi: 10.1615/critreveukargeneexpr.v18.i4.10.
10
Inactivation of NF-kappaB by 3,3'-diindolylmethane contributes to increased apoptosis induced by chemotherapeutic agent in breast cancer cells.3,3'-二吲哚甲烷使核因子-κB失活,有助于增强化疗药物诱导的乳腺癌细胞凋亡。
Mol Cancer Ther. 2007 Oct;6(10):2757-65. doi: 10.1158/1535-7163.MCT-07-0336. Epub 2007 Oct 3.