Suppr超能文献

结核分枝杆菌 DNA 解旋酶 XPB 的酶活性和 DNA 底物特异性。

Enzymatic activities and DNA substrate specificity of Mycobacterium tuberculosis DNA helicase XPB.

机构信息

Centre for Molecular Biology and Neuroscience and Department of Microbiology, University of Oslo, Oslo, Norway.

出版信息

PLoS One. 2012;7(5):e36960. doi: 10.1371/journal.pone.0036960. Epub 2012 May 16.

Abstract

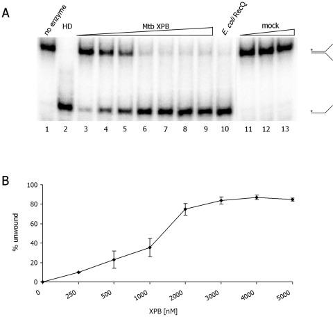
XPB, also known as ERCC3 and RAD25, is a 3' → 5' DNA repair helicase belonging to the superfamily 2 of helicases. XPB is an essential core subunit of the eukaryotic basal transcription factor complex TFIIH. It has two well-established functions: in the context of damaged DNA, XPB facilitates nucleotide excision repair by unwinding double stranded DNA (dsDNA) surrounding a DNA lesion; while in the context of actively transcribing genes, XPB facilitates initiation of RNA polymerase II transcription at gene promoters. Human and other eukaryotic XPB homologs are relatively well characterized compared to conserved homologs found in mycobacteria and archaea. However, more insight into the function of bacterial helicases is central to understanding the mechanism of DNA metabolism and pathogenesis in general. Here, we characterized Mycobacterium tuberculosis XPB (Mtb XPB), a 3'→5' DNA helicase with DNA-dependent ATPase activity. Mtb XPB efficiently catalyzed DNA unwinding in the presence of significant excess of enzyme. The unwinding activity was fueled by ATP or dATP in the presence of Mg(2+)/Mn(2+). Consistent with the 3'→5' polarity of this bacterial XPB helicase, the enzyme required a DNA substrate with a 3' overhang of 15 nucleotides or more. Although Mtb XPB efficiently unwound DNA model substrates with a 3' DNA tail, it was not active on substrates containing a 3' RNA tail. We also found that Mtb XPB efficiently catalyzed ATP-independent annealing of complementary DNA strands. These observations significantly enhance our understanding of the biological roles of Mtb XPB.

摘要

XPB,也称为 ERCC3 和 RAD25,是一种 3'→5'DNA 修复解旋酶,属于解旋酶超家族 2。XPB 是真核基础转录因子复合物 TFIIH 的必需核心亚基。它具有两个已确立的功能:在受损 DNA 的情况下,XPB 通过解开围绕 DNA 损伤的双链 DNA(dsDNA)来促进核苷酸切除修复;而在活跃转录基因的情况下,XPB 促进 RNA 聚合酶 II 在基因启动子处的转录起始。与在细菌和古菌中发现的保守同源物相比,人类和其他真核 XPB 同源物的特征相对较好。然而,深入了解细菌解旋酶的功能对于理解 DNA 代谢和发病机制的一般机制至关重要。在这里,我们表征了结核分枝杆菌 XPB(Mtb XPB),一种具有 DNA 依赖性 ATP 酶活性的 3'→5'DNA 解旋酶。Mtb XPB 在酶的大量过剩存在下有效地催化 DNA 解旋。解旋活性由 ATP 或 dATP 在 Mg 2+/Mn 2+存在下提供。与这种细菌 XPB 解旋酶的 3'→5'极性一致,该酶需要具有 15 个核苷酸或更多 3'突出的 DNA 底物。尽管 Mtb XPB 能够有效地解开具有 3'DNA 尾巴的 DNA 模型底物,但它对含有 3'RNA 尾巴的底物没有活性。我们还发现 Mtb XPB 能够有效地催化 ATP 非依赖性互补 DNA 链的退火。这些观察结果显著增强了我们对 Mtb XPB 生物学作用的理解。

https://cdn.ncbi.nlm.nih.gov/pmc/blobs/4094/3353954/049e80eeab6e/pone.0036960.g001.jpg

文献AI研究员

20分钟写一篇综述,助力文献阅读效率提升50倍。

立即体验

用中文搜PubMed

大模型驱动的PubMed中文搜索引擎

马上搜索

文档翻译

学术文献翻译模型,支持多种主流文档格式。

立即体验