Suppr超能文献

脑出血:迈向急性和慢性出血中出血风险的生理成像

Intracerebral hemorrhage: toward physiological imaging of hemorrhage risk in acute and chronic bleeding.

作者信息

Jakubovic Raphael, Aviv Richard I

机构信息

Department of Medical Imaging, Sunnybrook Health Sciences Centre, Sunnybrook Health Sciences Centre Toronto, ON, Canada.

出版信息

Front Neurol. 2012 May 25;3:86. doi: 10.3389/fneur.2012.00086. eCollection 2012.

Abstract

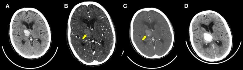
Despite improvements in management and prevention of intracerebral hemorrhage (ICH), there has been little improvement in mortality over the last 30 years. Hematoma expansion, primarily during the first few hours is highly predictive of neurological deterioration, poor functional outcome, and mortality. For each 10% increase in ICH size, there is a 5% increase in mortality and an additional 16% chance of poorer functional outcome. As such, both the identification and prevention of hematoma expansion are attractive therapeutic targets in ICH. Previous studies suggest that contrast extravasation seen on CT Angiography (CTA), MRI, and digital subtraction angiography correlates with hematoma growth, indicating ongoing bleeding. Contrast extravasation on the arterial phase of a CTA has been coined the CTA Spot Sign. These easily identifiable foci of contrast enhancement have been identified as independent predictors of hematoma growth, mortality, and clinical outcome in primary ICH. The Spot Sign score, developed to stratify risk of hematoma expansion, has shown high inter-observer agreement. Post-contrast leakage or delayed CTA Spot Sign, on post contrast CT following CTA or delayed CTA respectively are seen in an additional ∼8% of patients and explain apparently false negative observations on early CTA imaging in patients subsequently undergoing hematoma expansion. CT perfusion provides an opportunity to acquire dynamic imaging and has been shown to quantify rates of contrast extravasation. Intravenous recombinant factor VIIa (rFVIIa) within 4 h of ICH onset has been shown to significantly reduce hematoma growth. However, clinical efficacy has yet to be proven. There is compelling evidence that cerebral amyloid angiopathy (CAA) may precede the radiographic evidence of vascular disease and as such contribute to microbleeding. The interplay between microbleeding, CAA, CTA Spot Sign and genetic composition (ApoE genotype) may be crucial in developing a risk model for ICH.

摘要

尽管在脑出血(ICH)的管理和预防方面有所改进,但在过去30年中死亡率几乎没有改善。血肿扩大,主要是在最初几个小时内,是神经功能恶化、功能预后不良和死亡率的高度预测指标。脑出血体积每增加10%,死亡率就增加5%,功能预后较差的可能性增加16%。因此,识别和预防血肿扩大都是脑出血有吸引力的治疗靶点。先前的研究表明,在CT血管造影(CTA)、MRI和数字减影血管造影上看到的造影剂外渗与血肿生长相关,表明存在持续出血。CTA动脉期的造影剂外渗被称为CTA斑点征。这些易于识别的造影剂强化灶已被确定为原发性脑出血血肿生长、死亡率和临床结局的独立预测指标。为分层血肿扩大风险而制定的斑点征评分显示观察者间一致性较高。在CTA后对比增强CT或延迟CTA上分别出现的对比剂渗漏或延迟CTA斑点征,在另外约8%的患者中可见,这解释了随后发生血肿扩大的患者早期CTA成像上明显的假阴性观察结果。CT灌注提供了获取动态成像的机会,并已被证明可以量化造影剂外渗率。脑出血发病后4小时内静脉注射重组凝血因子VIIa(rFVIIa)已被证明可显著减少血肿生长。然而,临床疗效尚未得到证实。有令人信服的证据表明,脑淀粉样血管病(CAA)可能先于血管疾病的影像学证据出现,因此导致微出血。微出血、CAA、CTA斑点征和基因组成(载脂蛋白E基因型)之间的相互作用可能对建立脑出血风险模型至关重要。

https://cdn.ncbi.nlm.nih.gov/pmc/blobs/50e2/3360423/a9bedb5391f1/fneur-03-00086-g001.jpg

文献检索

告别复杂PubMed语法,用中文像聊天一样搜索,搜遍4000万医学文献。AI智能推荐,让科研检索更轻松。

立即免费搜索

文件翻译

保留排版,准确专业,支持PDF/Word/PPT等文件格式,支持 12+语言互译。

免费翻译文档

深度研究

AI帮你快速写综述,25分钟生成高质量综述,智能提取关键信息,辅助科研写作。

立即免费体验