• 文献检索
  • 文档翻译
  • 深度研究
  • 学术资讯
  • Suppr Zotero 插件Zotero 插件
  • 邀请有礼
  • 套餐&价格
  • 历史记录
应用&插件
Suppr Zotero 插件Zotero 插件浏览器插件Mac 客户端Windows 客户端微信小程序
定价
高级版会员购买积分包购买API积分包
服务
文献检索文档翻译深度研究API 文档MCP 服务
关于我们
关于 Suppr公司介绍联系我们用户协议隐私条款
关注我们

Suppr 超能文献

核心技术专利:CN118964589B侵权必究
粤ICP备2023148730 号-1Suppr @ 2026

文献检索

告别复杂PubMed语法,用中文像聊天一样搜索,搜遍4000万医学文献。AI智能推荐,让科研检索更轻松。

立即免费搜索

文件翻译

保留排版,准确专业,支持PDF/Word/PPT等文件格式,支持 12+语言互译。

免费翻译文档

深度研究

AI帮你快速写综述,25分钟生成高质量综述,智能提取关键信息,辅助科研写作。

立即免费体验

骨髓受累的患者与重链病 α:四环素治疗的反应。

Bone marrow involvement in a patient with alpha heavychain disease: response to tetracycline treatment.

机构信息

Adnan Menderes University, Faculty of Medicine, Division of Hematology, Aydin, Turkey.

出版信息

Mediterr J Hematol Infect Dis. 2012;4(1):e2012034. doi: 10.4084/MJHID.2012.034. Epub 2012 May 7.

DOI:10.4084/MJHID.2012.034
PMID:22708049
原文链接:https://pmc.ncbi.nlm.nih.gov/articles/PMC3375673/
Abstract

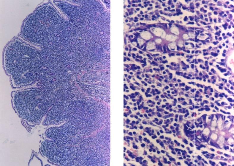
A 28-year-old man from East Mediterranean area admitted with abdominal pain, weight loss and diarrhea. Barium x-ray studies showed segmentation, dilatation of bowel loops, mucosal folds thickening and delayed intestinal transit. Histological examination of biopsy specimens revealed villous atrophy and plasmacytic infiltration limited to mucosa and submucosa. Computed tomography showed multiple lymphadenopathy in the abdomen. Serum protein electropheresis and immunoelectropheresis indicated elevated IgA concentration. Bone marrow aspiration and biopsy revealed presence of lymphoplasmacytic infiltration. Immunohistochemical analysis of the intestine, lymph nodes showed positivity for CD45, CD-79, CD-20. After tetracycline treatment the patient's symptoms, abdominal lymphadenopathy and bone marrow infiltration disappeared and IgA concentration decreased to normal levels.

摘要

一位 28 岁的东地中海地区男性,因腹痛、体重减轻和腹泻入院。钡剂 X 射线研究显示肠段分割、肠袢扩张、黏膜皱襞增厚和肠传输延迟。活检标本的组织学检查显示绒毛萎缩和浆细胞浸润仅限于黏膜和黏膜下层。计算机断层扫描显示腹部有多处淋巴结病。血清蛋白电泳和免疫电泳显示 IgA 浓度升高。骨髓抽吸和活检显示存在淋巴浆细胞浸润。肠和淋巴结的免疫组织化学分析显示 CD45、CD-79、CD-20 阳性。四环素治疗后,患者的症状、腹部淋巴结病和骨髓浸润消失,IgA 浓度降至正常水平。

https://cdn.ncbi.nlm.nih.gov/pmc/blobs/7b5f/3375673/3eceb774aa7d/mjhid-4-1-e2012034f4.jpg
https://cdn.ncbi.nlm.nih.gov/pmc/blobs/7b5f/3375673/2c17d9d2ce34/mjhid-4-1-e2012034f1.jpg
https://cdn.ncbi.nlm.nih.gov/pmc/blobs/7b5f/3375673/4709471ba920/mjhid-4-1-e2012034f2.jpg
https://cdn.ncbi.nlm.nih.gov/pmc/blobs/7b5f/3375673/0661c671a9da/mjhid-4-1-e2012034f3.jpg
https://cdn.ncbi.nlm.nih.gov/pmc/blobs/7b5f/3375673/3eceb774aa7d/mjhid-4-1-e2012034f4.jpg
https://cdn.ncbi.nlm.nih.gov/pmc/blobs/7b5f/3375673/2c17d9d2ce34/mjhid-4-1-e2012034f1.jpg
https://cdn.ncbi.nlm.nih.gov/pmc/blobs/7b5f/3375673/4709471ba920/mjhid-4-1-e2012034f2.jpg
https://cdn.ncbi.nlm.nih.gov/pmc/blobs/7b5f/3375673/0661c671a9da/mjhid-4-1-e2012034f3.jpg
https://cdn.ncbi.nlm.nih.gov/pmc/blobs/7b5f/3375673/3eceb774aa7d/mjhid-4-1-e2012034f4.jpg

相似文献

1
Bone marrow involvement in a patient with alpha heavychain disease: response to tetracycline treatment.骨髓受累的患者与重链病 α:四环素治疗的反应。
Mediterr J Hematol Infect Dis. 2012;4(1):e2012034. doi: 10.4084/MJHID.2012.034. Epub 2012 May 7.
2
A myeloid sarcoma involving the small intestine, kidneys, mesentery, and mesenteric lymph nodes: A case report and literature review.一例累及小肠、肾脏、肠系膜及肠系膜淋巴结的髓系肉瘤:病例报告及文献复习
Medicine (Baltimore). 2017 Oct;96(42):e7934. doi: 10.1097/MD.0000000000007934.
3
[Clinical studies of pediatric malabsorption syndromes].[小儿吸收不良综合征的临床研究]
Fukuoka Igaku Zasshi. 2006 Nov;97(11):322-50.
4
IgA anti-actin antibodies in children with celiac disease: comparison of immunofluorescence with Elisa assay in predicting severe intestinal damage.抗肌动蛋白 IgA 抗体在小儿乳糜泻中的研究:免疫荧光法与 ELISA 法在预测严重肠道损伤中的比较。
Ital J Pediatr. 2010 Mar 18;36:25. doi: 10.1186/1824-7288-36-25.
5
Macroamylasemia attributable to gluten-related amylase autoantibodies: a case report.麸质相关淀粉酶自身抗体所致巨淀粉酶血症:一例报告
Pediatrics. 2001 Jun;107(6):E93. doi: 10.1542/peds.107.6.e93.
6
Chronic diarrhea associated with high serum level of immunoglobulin A and diffuse infiltration of plasma cell in small intestine: A case report.慢性腹泻伴血清免疫球蛋白A水平升高及小肠浆细胞弥漫浸润:一例报告
Medicine (Baltimore). 2017 Feb;96(5):e6057. doi: 10.1097/MD.0000000000006057.
7
Increased density of tolerogenic dendritic cells in the small bowel mucosa of celiac patients.乳糜泻患者小肠黏膜中耐受性树突状细胞密度增加。
World J Gastroenterol. 2015 Jan 14;21(2):439-52. doi: 10.3748/wjg.v21.i2.439.
8
"Mediterranean abdominal lymphoma" or immunoproliferative small intestinal disease. Part II: pathological aspects.“地中海腹部淋巴瘤”或免疫增殖性小肠疾病。第二部分:病理学方面
Cancer. 1978 Apr;41(4):1340-54. doi: 10.1002/1097-0142(197804)41:4<1340::aid-cncr2820410419>3.0.co;2-0.
9
Synthesis and secretion of IgA, IgM, and IgG by peripheral blood mononuclear cells in human disease states, by isolated human intestinal mononuclear cells, and by human bone marrow mononuclear cells from ribs.人类疾病状态下外周血单个核细胞、分离出的人肠道单个核细胞以及来自肋骨的人骨髓单个核细胞对IgA、IgM和IgG的合成与分泌。
Ann N Y Acad Sci. 1983 Jun 30;409:498-509. doi: 10.1111/j.1749-6632.1983.tb26894.x.
10
Bone Marrow Infiltration in Rosai-Dorfman Disease.Rosai-Dorfman病中的骨髓浸润
Case Rep Hematol. 2022 Dec 15;2022:3420311. doi: 10.1155/2022/3420311. eCollection 2022.

本文引用的文献

1
The 2008 WHO classification of lymphoid neoplasms and beyond: evolving concepts and practical applications.2008 年世界卫生组织淋巴造血组织肿瘤分类及以后:不断发展的概念和实际应用。
Blood. 2011 May 12;117(19):5019-32. doi: 10.1182/blood-2011-01-293050. Epub 2011 Feb 7.
2
Immunoproliferative small intestinal disease (IPSID): a model for mature B-cell neoplasms.免疫增殖性小肠疾病(IPSID):成熟B细胞肿瘤模型
Blood. 2005 Mar 15;105(6):2274-80. doi: 10.1182/blood-2004-07-2755. Epub 2004 Nov 12.
3
Immunoproliferative small intestinal disease associated with Campylobacter jejuni.
空肠弯曲菌相关的免疫增殖性小肠疾病
N Engl J Med. 2004 Jan 15;350(3):239-48. doi: 10.1056/NEJMoa031887.
4
Malabsorption syndrome in a patient of Mediterranean origin; immunoproliferative small intestinal disease.一名地中海裔患者的吸收不良综合征;免疫增殖性小肠疾病。
Neth J Med. 2001 May;58(5):208-13. doi: 10.1016/s0300-2977(01)00097-3.
5
Heavy-chain diseases.重链病
Hematol Oncol Clin North Am. 1999 Dec;13(6):1281-94. doi: 10.1016/s0889-8588(05)70127-1.
6
Immunoproliferative small intestinal disease in South India: a clinical and immunomorphological study.印度南部的免疫增殖性小肠疾病:一项临床与免疫形态学研究。
J Gastroenterol Hepatol. 1998 Dec;13(12):1207-11.
7
Five-year results of the treatment of 23 patients with immunoproliferative small intestinal disease: a Turkish experience.23例免疫增殖性小肠疾病患者的五年治疗结果:土耳其的经验
Cancer. 1997 Jul 1;80(1):8-14. doi: 10.1002/(sici)1097-0142(19970701)80:1<8::aid-cncr2>3.0.co;2-t.
8
Immunoproliferative small intestinal disease in Mexico. Report of four cases and review of the literature.墨西哥的免疫增殖性小肠疾病。4例报告及文献复习
J Clin Gastroenterol. 1994 Jan;18(1):67-71. doi: 10.1097/00004836-199401000-00016.
9
Gastrointestinal lymphoma.胃肠道淋巴瘤
Hum Pathol. 1994 Oct;25(10):1020-9. doi: 10.1016/0046-8177(94)90060-4.
10
Current concepts immunoproliferative small intestinal disease. A "Third-World lesion".免疫增殖性小肠疾病的当前概念。一种“第三世界病变”。
N Engl J Med. 1983 Jun 9;308(23):1401-5. doi: 10.1056/NEJM198306093082309.