Suppr超能文献

染色体乘客复合物控制内体分选复合物必需的运输 III Snf7 蛋白在胞质分裂过程中的功能。

The chromosomal passenger complex controls the function of endosomal sorting complex required for transport-III Snf7 proteins during cytokinesis.

机构信息

Department of Pathology, University of Cambridge, Tennis Court Road, Cambridge CB2 1QP, UK.

出版信息

Open Biol. 2012 May;2(5):120070. doi: 10.1098/rsob.120070.

Abstract

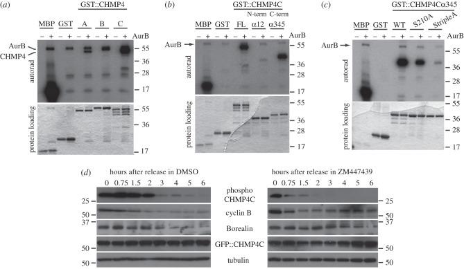
Cytokinesis controls the proper segregation of nuclear and cytoplasmic materials at the end of cell division. The chromosomal passenger complex (CPC) has been proposed to monitor the final separation of the two daughter cells at the end of cytokinesis in order to prevent cell abscission in the presence of DNA at the cleavage site, but the precise molecular basis for this is unclear. Recent studies indicate that abscission could be mediated by the assembly of filaments comprising components of the endosomal sorting complex required for transport-III (ESCRT-III). Here, we show that the CPC subunit Borealin interacts directly with the Snf7 components of ESCRT-III in both Drosophila and human cells. Moreover, we find that the CPC's catalytic subunit, Aurora B kinase, phosphorylates one of the three human Snf7 paralogues-CHMP4C-in its C-terminal tail, a region known to regulate its ability to form polymers and associate with membranes. Phosphorylation at these sites appears essential for CHMP4C function because their mutation leads to cytokinesis defects. We propose that CPC controls abscission timing through inhibition of ESCRT-III Snf7 polymerization and membrane association using two concurrent mechanisms: interaction of its Borealin component with Snf7 proteins and phosphorylation of CHMP4C by Aurora B.

摘要

胞质分裂控制着细胞分裂末期核和细胞质物质的正确分离。染色体乘客复合物(CPC)被提议用于监测胞质分裂末期两个子细胞的最终分离,以防止在切割位点存在 DNA 的情况下细胞脱落,但这种作用的确切分子基础尚不清楚。最近的研究表明,脱落可能是通过包含运输 III(ESCRT-III)所需的内体分选复合物组件的细丝的组装来介导的。在这里,我们表明 CPC 亚基 Borealin 在果蝇和人类细胞中均与 ESCRT-III 的 Snf7 成分直接相互作用。此外,我们发现 CPC 的催化亚基 Aurora B 激酶在其 C 末端尾部磷酸化三个人类 Snf7 同源物之一-CHMP4C-,该区域已知可调节其形成聚合物和与膜结合的能力。这些位点的磷酸化对于 CHMP4C 功能似乎是必不可少的,因为它们的突变会导致胞质分裂缺陷。我们提出 CPC 通过两种并发机制来控制胞质分裂的时机:其 Borealin 成分与 Snf7 蛋白的相互作用和 Aurora B 对 CHMP4C 的磷酸化,从而抑制 ESCRT-III Snf7 的聚合和膜结合。

https://cdn.ncbi.nlm.nih.gov/pmc/blobs/312f/3376741/a2e68d04ad48/rsob-2-120070-g1.jpg

文献AI研究员

20分钟写一篇综述,助力文献阅读效率提升50倍。

立即体验

用中文搜PubMed

大模型驱动的PubMed中文搜索引擎

马上搜索

文档翻译

学术文献翻译模型,支持多种主流文档格式。

立即体验