• 文献检索
  • 文档翻译
  • 深度研究
  • 学术资讯
  • Suppr Zotero 插件Zotero 插件
  • 邀请有礼
  • 套餐&价格
  • 历史记录
应用&插件
Suppr Zotero 插件Zotero 插件浏览器插件Mac 客户端Windows 客户端微信小程序
定价
高级版会员购买积分包购买API积分包
服务
文献检索文档翻译深度研究API 文档MCP 服务
关于我们
关于 Suppr公司介绍联系我们用户协议隐私条款
关注我们

Suppr 超能文献

核心技术专利:CN118964589B侵权必究
粤ICP备2023148730 号-1Suppr @ 2026

文献检索

告别复杂PubMed语法,用中文像聊天一样搜索,搜遍4000万医学文献。AI智能推荐,让科研检索更轻松。

立即免费搜索

文件翻译

保留排版,准确专业,支持PDF/Word/PPT等文件格式,支持 12+语言互译。

免费翻译文档

深度研究

AI帮你快速写综述,25分钟生成高质量综述,智能提取关键信息,辅助科研写作。

立即免费体验

子痫前期突发非典型病例产前大量脑出血后的完全康复。

Complete recovery after antepartum massive intracerebral hemorrhage in an atypical case of sudden eclampsia.

作者信息

Ghaly Ramsis F, Candido Kenneth D, Sauer Ruben, Knezevic Nebojsa Nick

机构信息

Ghaly Neurosurgical Associates, Aurora, IL, USA.

出版信息

Surg Neurol Int. 2012;3:65. doi: 10.4103/2152-7806.97167. Epub 2012 Jun 19.

DOI:10.4103/2152-7806.97167
PMID:22754730
原文链接:https://pmc.ncbi.nlm.nih.gov/articles/PMC3385067/
Abstract

BACKGROUND

Intracerebral hemorrhage is an infrequent but severe complication in pregnant women with hypertension.

CASE DESCRIPTION

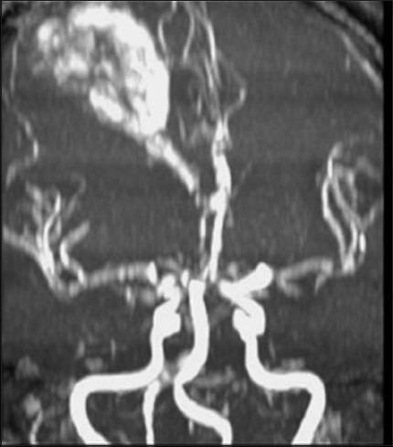
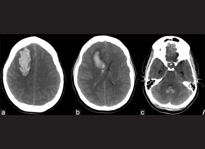
We describe an atypical case of a patient with no risk factors who developed sudden eclampsia and spontaneous intracerebral hemorrhage during the 34(th) week of pregnancy. She underwent successful emergent Cesarean section followed by craniotomy. Both intraoperative surveillance and postoperative magnetic resonance angiographic examination of the cerebral vessels failed to identify an aneurysm, arteriovenous malformation, tumor, or leptomeningeal disease.

CONCLUSION

We discuss the management of this case and review the literature regarding the threshold for which initiation of antihypertensive treatment is indicated in pregnant patients.

摘要

背景

脑出血是高血压孕妇中一种罕见但严重的并发症。

病例描述

我们描述了一例非典型病例,该患者无危险因素,在妊娠第34周时突然发生子痫和自发性脑出血。她成功接受了急诊剖宫产,随后进行了开颅手术。术中对脑血管的监测以及术后的磁共振血管造影检查均未发现动脉瘤、动静脉畸形、肿瘤或软脑膜疾病。

结论

我们讨论了该病例的处理方法,并回顾了关于妊娠患者开始降压治疗阈值的文献。

https://cdn.ncbi.nlm.nih.gov/pmc/blobs/5b42/3385067/5dae6de4df31/SNI-3-65-g003.jpg
https://cdn.ncbi.nlm.nih.gov/pmc/blobs/5b42/3385067/d2587657bdd0/SNI-3-65-g001.jpg
https://cdn.ncbi.nlm.nih.gov/pmc/blobs/5b42/3385067/5c0dd1207207/SNI-3-65-g002.jpg
https://cdn.ncbi.nlm.nih.gov/pmc/blobs/5b42/3385067/5dae6de4df31/SNI-3-65-g003.jpg
https://cdn.ncbi.nlm.nih.gov/pmc/blobs/5b42/3385067/d2587657bdd0/SNI-3-65-g001.jpg
https://cdn.ncbi.nlm.nih.gov/pmc/blobs/5b42/3385067/5c0dd1207207/SNI-3-65-g002.jpg
https://cdn.ncbi.nlm.nih.gov/pmc/blobs/5b42/3385067/5dae6de4df31/SNI-3-65-g003.jpg

相似文献

1
Complete recovery after antepartum massive intracerebral hemorrhage in an atypical case of sudden eclampsia.子痫前期突发非典型病例产前大量脑出血后的完全康复。
Surg Neurol Int. 2012;3:65. doi: 10.4103/2152-7806.97167. Epub 2012 Jun 19.
2
Intracerebral hemorrhage: a life-threatening complication of hypertension during pregnancy.脑出血:妊娠期高血压的一种危及生命的并发症。
J Clin Hypertens (Greenwich). 2007 Nov;9(11):897-900. doi: 10.1111/j.1524-6175.2007.06613.x.
3
[A Case of Emergency Cesarean Section and Craniotomy in a 26 Week Pregnant Woman].[一例26周孕妇紧急剖宫产及开颅手术病例]
Masui. 2015 Feb;64(2):192-5.
4
[Anesthetic managements for emergency cesarean section and craniotomy in patients with intracranial hemorrhage due to ruptured cerebral aneurysm and arteriovenous malformation].[因脑动脉瘤破裂和动静脉畸形导致颅内出血患者的急诊剖宫产和开颅手术的麻醉管理]
Masui. 2007 Sep;56(9):1081-4.
5
[Emergency cesarean section and craniectomy in a patient with rupture of a cerebral arteriovenous malformation].[一名脑动静脉畸形破裂患者的急诊剖宫产与颅骨切除术]
Rev Esp Anestesiol Reanim. 2014 Apr;61(4):209-13. doi: 10.1016/j.redar.2013.03.004. Epub 2013 May 9.
6
[Case of postpartum intracerebral hemorrhage due to pregnancy induced hypertension].
No Shinkei Geka. 2011 Dec;39(12):1159-64.
7
Headache in Pregnancy: Preeclampsia and Intracerebral Hemorrhage.妊娠期头痛:子痫前期与脑出血
Cureus. 2023 Jan 23;15(1):e34086. doi: 10.7759/cureus.34086. eCollection 2023 Jan.
8
[Anaesthesia for primary cesarean section in a patient with an extensive cerebral arteriovenous malformation].[广泛脑动静脉畸形患者的初次剖宫产麻醉]
Anaesthesist. 2003 Oct;52(10):929-33. doi: 10.1007/s00101-003-0546-3. Epub 2003 Jun 27.
9
Hemorrhagic moyamoya disease during pregnancy.妊娠期出血性烟雾病
Can J Neurol Sci. 2000 Feb;27(1):73-6. doi: 10.1017/s0317167100052021.
10
Recurrent Cerebral Hemorrhage in Normal Pregnancy Secondary to Mycotic Pseudoaneurysms Related to Choriocarcinoma.妊娠合并绒毛膜癌继发霉菌性假性动脉瘤导致的正常妊娠复发性脑出血
World Neurosurg. 2018 Jan;109:247-250. doi: 10.1016/j.wneu.2017.09.187. Epub 2017 Oct 5.

引用本文的文献

1
Management of atypical eclampsia with intraventricular hemorrhage: A rare experience and learning!合并脑室内出血的非典型子痫的管理:一次罕见经历与经验教训!
Anesth Essays Res. 2015 May-Aug;9(2):257-9. doi: 10.4103/0259-1162.153768.

本文引用的文献

1
Estrogen and neuroprotection: from clinical observations to molecular mechanisms.雌激素与神经保护:从临床观察到分子机制
Dialogues Clin Neurosci. 2002 Jun;4(2):149-61. doi: 10.31887/DCNS.2002.4.2/ddubal.
2
Preeclampsia-eclampsia and the risk of stroke among peripartum in Taiwan.台湾地区子痫前期-子痫与围产期卒中风险
Stroke. 2009 Apr;40(4):1162-8. doi: 10.1161/STROKEAHA.108.540880. Epub 2009 Feb 19.
3
Simultaneous craniotomy and caesarean section for trauma.创伤情况下的同期开颅手术和剖宫产术。
J Trauma. 2009 Apr;66(4):E50-1. doi: 10.1097/TA.0b013e318031cc98.
4
Stroke and pregnancy.中风与妊娠
J Neurol Neurosurg Psychiatry. 2008 Mar;79(3):240-5. doi: 10.1136/jnnp.2007.116939. Epub 2007 Nov 6.
5
Intracerebral hemorrhage: a life-threatening complication of hypertension during pregnancy.脑出血:妊娠期高血压的一种危及生命的并发症。
J Clin Hypertens (Greenwich). 2007 Nov;9(11):897-900. doi: 10.1111/j.1524-6175.2007.06613.x.
6
Stroke complicating pregnancy and the puerperium.妊娠期及产褥期并发的中风
Eur J Neurol. 2006 Nov;13(11):1256-60. doi: 10.1111/j.1468-1331.2006.01490.x.
7
Intracerebral hemorrhage in pregnancy: frequency, risk factors, and outcome.妊娠期脑出血:发生率、危险因素及结局
Neurology. 2006 Aug 8;67(3):424-9. doi: 10.1212/01.wnl.0000228277.84760.a2.
8
Risk of hemorrhagic stroke in Asian American ethnic groups.
Neuroepidemiology. 2005;25(1):26-31. doi: 10.1159/000085310. Epub 2005 Apr 25.
9
Maternal deaths associated with hypertensive disorders of pregnancy: a population-based study.与妊娠高血压疾病相关的孕产妇死亡:一项基于人群的研究。
Hypertens Pregnancy. 2004;23(3):247-56. doi: 10.1081/PRG-200030301.
10
Smoking and risk of hemorrhagic stroke in women.女性吸烟与出血性中风风险
Stroke. 2003 Dec;34(12):2792-5. doi: 10.1161/01.STR.0000100165.36466.95. Epub 2003 Nov 13.