Suppr超能文献

采用定量蛋白质组学研究卵巢癌相关 N-连接糖肽唾液酸化变化。

Investigation of ovarian cancer associated sialylation changes in N-linked glycopeptides by quantitative proteomics.

机构信息

Immunotope, Inc,, 3805 Old Easton Road, Doylestown, PA, 18902, USA.

出版信息

Clin Proteomics. 2012 Aug 2;9(1):10. doi: 10.1186/1559-0275-9-10.

Abstract

BACKGROUND

In approximately 80% of patients, ovarian cancer is diagnosed when the patient is already in the advanced stages of the disease. CA125 is currently used as the marker for ovarian cancer; however, it lacks specificity and sensitivity for detecting early stage disease. There is a critical unmet need for sensitive and specific routine screening tests for early diagnosis that can reduce ovarian cancer lethality by reliably detecting the disease at its earliest and treatable stages.

RESULTS

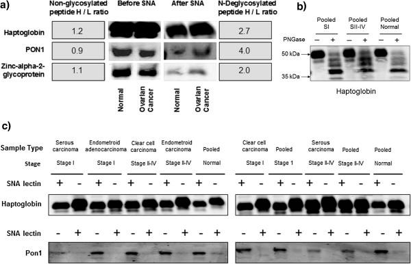
In this study, we investigated the N-linked sialylated glycopeptides in serum samples from healthy and ovarian cancer patients using Lectin-directed Tandem Labeling (LTL) and iTRAQ quantitative proteomics methods. We identified 45 N-linked sialylated glycopeptides containing 46 glycosylation sites. Among those, ten sialylated glycopeptides were significantly up-regulated in ovarian cancer patients' serum samples. LC-MS/MS analysis of the non-glycosylated peptides from the same samples, western blot data using lectin enriched glycoproteins of various ovarian cancer type samples, and PNGase F (+/-) treatment confirmed the sialylation changes in the ovarian cancer samples.

CONCLUSION

Herein, we demonstrated that several proteins are aberrantly sialylated in N-linked glycopeptides in ovarian cancer and detection of glycopeptides with abnormal sialylation changes may have the potential to serve as biomarkers for ovarian cancer.

摘要

背景

约 80%的卵巢癌患者在疾病晚期才被诊断出来。目前,CA125 被用作卵巢癌的标志物;然而,它在检测早期疾病方面缺乏特异性和敏感性。因此,迫切需要能够在疾病的最早和可治疗阶段可靠检测的灵敏、特异的常规筛查试验,以降低卵巢癌的致死率。

结果

在这项研究中,我们使用凝集素导向串联标记(LTL)和 iTRAQ 定量蛋白质组学方法,研究了健康人和卵巢癌患者血清样本中的 N 连接唾液酸化糖肽。我们鉴定了 45 种含有 46 个糖基化位点的 N 连接唾液酸化糖肽。其中,有 10 种唾液酸化糖肽在卵巢癌患者的血清样本中显著上调。对同一样本中非糖基化肽的 LC-MS/MS 分析、使用各种卵巢癌类型样本的凝集素富集糖蛋白的 Western blot 数据以及 PNGase F(+/-)处理均证实了卵巢癌样本中唾液酸化的变化。

结论

本文证明了几种蛋白质在卵巢癌的 N 连接糖肽中存在异常唾液酸化,而检测糖肽中异常唾液酸化的改变可能具有作为卵巢癌标志物的潜力。

https://cdn.ncbi.nlm.nih.gov/pmc/blobs/8644/3488482/6b6e0f53992d/1559-0275-9-10-1.jpg

相似文献

3
Use of multidimensional lectin affinity chromatography in differential glycoproteomics.
Anal Chem. 2005 May 1;77(9):2802-9. doi: 10.1021/ac048751x.
7
Elucidation of N-glycosites within human plasma glycoproteins for cancer biomarker discovery.
Methods Mol Biol. 2013;951:307-22. doi: 10.1007/978-1-62703-146-2_21.
8
Glycoproteomic Analysis of Malignant Ovarian Cancer Ascites Fluid Identifies Unusual Glycopeptides.
J Proteome Res. 2016 Sep 2;15(9):3358-76. doi: 10.1021/acs.jproteome.6b00548. Epub 2016 Aug 23.

引用本文的文献

2
Discovery and validation of serum glycoprotein biomarkers for high grade serous ovarian cancer.
Proteomics Clin Appl. 2023 Jul;17(4):e2200114. doi: 10.1002/prca.202200114. Epub 2023 Jun 1.
3
A functional analysis of omic network embedding spaces reveals key altered functions in cancer.
Bioinformatics. 2023 May 4;39(5). doi: 10.1093/bioinformatics/btad281.
4
Applications of Proteomics in Ovarian Cancer: Dawn of a New Era.
Proteomes. 2022 May 9;10(2):16. doi: 10.3390/proteomes10020016.
5
Sialic acids in gynecological cancer development and progression: Impact on diagnosis and treatment.
Int J Cancer. 2022 Feb 15;150(4):678-687. doi: 10.1002/ijc.33866. Epub 2021 Nov 17.
6
Applications of Multi-omics Approaches for Exploring the Molecular Mechanism of Ovarian Carcinogenesis.
Front Oncol. 2021 Sep 24;11:745808. doi: 10.3389/fonc.2021.745808. eCollection 2021.
8
ST3Gal3 confers paclitaxel‑mediated chemoresistance in ovarian cancer cells by attenuating caspase‑8/3 signaling.
Mol Med Rep. 2019 Nov;20(5):4499-4506. doi: 10.3892/mmr.2019.10712. Epub 2019 Sep 26.
9
Mass spectrometry-based proteomics techniques and their application in ovarian cancer research.
J Ovarian Res. 2018 Oct 1;11(1):88. doi: 10.1186/s13048-018-0460-6.

本文引用的文献

1
Low AZGP1 expression predicts for recurrence in margin-positive, localized prostate cancer.
Prostate. 2011 Nov;71(15):1638-45. doi: 10.1002/pros.21381. Epub 2011 Mar 22.
3
Enhanced ZAG production by subcutaneous adipose tissue is linked to weight loss in gastrointestinal cancer patients.
Br J Cancer. 2011 Feb 1;104(3):441-7. doi: 10.1038/sj.bjc.6606083. Epub 2011 Jan 18.
6
Evaluation of Zinc-α-2-Glycoprotein and Proteasome Subunit β-Type 6 Expression in Prostate Cancer Using Tissue Microarray Technology.
Appl Immunohistochem Mol Morphol. 2010 Dec;18(6):512-7. doi: 10.1097/PAI.0b013e3181e29998. Epub 2010 Apr 12.
7
Cancer statistics, 2010.
CA Cancer J Clin. 2010 Sep-Oct;60(5):277-300. doi: 10.3322/caac.20073. Epub 2010 Jul 7.
8
Proteomics and ovarian cancer: integrating proteomics information into clinical care.
J Proteomics. 2010 Sep 10;73(10):1864-72. doi: 10.1016/j.jprot.2010.05.013. Epub 2010 Jun 1.
10
Tandem 18O stable isotope labeling for quantification of N-glycoproteome.
J Proteome Res. 2010 Jan;9(1):227-36. doi: 10.1021/pr900528j.

文献AI研究员

20分钟写一篇综述,助力文献阅读效率提升50倍。

立即体验

用中文搜PubMed

大模型驱动的PubMed中文搜索引擎

马上搜索

文档翻译

学术文献翻译模型,支持多种主流文档格式。

立即体验