Suppr超能文献

用于诊断年龄相关性黄斑变性中外层视网膜管状结构的正面光学相干断层扫描成像

En Face OCT Imaging for the Diagnosis of Outer Retinal Tubulations in Age-Related Macular Degeneration.

作者信息

Wolff Benjamin, Matet Alexandre, Vasseur Vivien, Sahel José-Alain, Mauget-Faÿsse Martine

机构信息

Rothschild Ophthalmologic Foundation, 25 rue Manin, 75019 Paris, France.

出版信息

J Ophthalmol. 2012;2012:542417. doi: 10.1155/2012/542417. Epub 2012 Aug 30.

Abstract

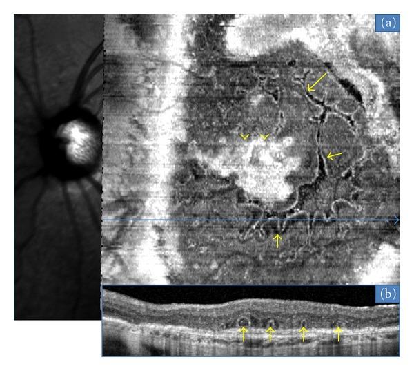
Purpose. "En face" is an emerging imaging technique derived from spectral domain optical coherence tomography (OCT). It produces frontal sections of retinal layers, also called "C-scan OCT." Outer retinal tubulations (ORTs) in age-related macular degeneration (AMD) are a recent finding evidenced by spectral-domain OCT. The aim of this study is to characterize the morphology of ORT according to the form of AMD, using "en-face" spectral domain OCT. Methods. "En face" OCT imaging was prospectively performed in 26 consecutive eyes with AMD that also had ORT. Results. There were 15 neovascular, 8 atrophic, and 3 eyes with a mixed (fibrotic and atrophic) form of AMD. Among the neovascular group, the most frequent tubulation pattern on "en-face" OCT was a branching network emanating from a fibrovascular scar; we term this pattern as "pseudodendritic." It did not require treatment when observed as an isolated finding. In all cases of atrophic AMD, the tubular network was located at the edge of the geographic atrophy area, and formed a "perilesional" pattern. Six atrophic cases showed tubular invaginations inside this area. Conclusion. "En face" OCT is a valuable technique in the diagnosis and followup of macular disease. It revealed the main characteristic patterns of ORT associated with neovascular and atrophic AMD.

摘要

目的。“正面成像”是一种源自光谱域光学相干断层扫描(OCT)的新兴成像技术。它能生成视网膜各层的正面图像,也称为“C 扫描 OCT”。年龄相关性黄斑变性(AMD)中的视网膜外层微管(ORTs)是光谱域 OCT 最近发现的现象。本研究的目的是使用“正面成像”光谱域 OCT 根据 AMD 的类型来描述 ORT 的形态。方法。对 26 只连续患有 AMD 且伴有 ORT 的眼睛进行前瞻性“正面成像”OCT 成像。结果。有 15 只新生血管性、8 只萎缩性以及 3 只混合性(纤维化和萎缩性)AMD 眼睛。在新生血管性组中,“正面成像”OCT 上最常见的微管模式是从纤维血管瘢痕发出的分支网络;我们将这种模式称为“假树枝状”。当作为孤立发现观察时不需要治疗。在所有萎缩性 AMD 病例中,管状网络位于地图样萎缩区域的边缘,并形成“病灶周围”模式。6 例萎缩性病例在该区域内显示有管状内陷。结论。“正面成像”OCT 是黄斑疾病诊断和随访中的一项有价值的技术。它揭示了与新生血管性和萎缩性 AMD 相关的 ORT 的主要特征模式。

https://cdn.ncbi.nlm.nih.gov/pmc/blobs/2dbd/3437289/bf78766cf46e/JOP2012-542417.001.jpg

文献AI研究员

20分钟写一篇综述,助力文献阅读效率提升50倍。

立即体验

用中文搜PubMed

大模型驱动的PubMed中文搜索引擎

马上搜索

文档翻译

学术文献翻译模型,支持多种主流文档格式。

立即体验