Suppr超能文献

骨科磁共振成像挑战:骨盆的骺端撕脱。

Orthopaedic magnetic resonance imaging challenge: apophyseal avulsions at the pelvis.

机构信息

Radsource, Brentwood, Tennessee.

出版信息

Sports Health. 2010 May;2(3):247-51. doi: 10.1177/1941738109347976.

Abstract

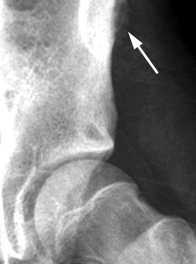
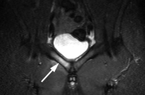
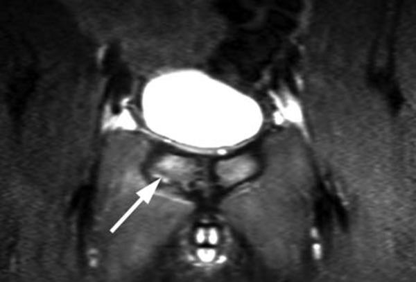
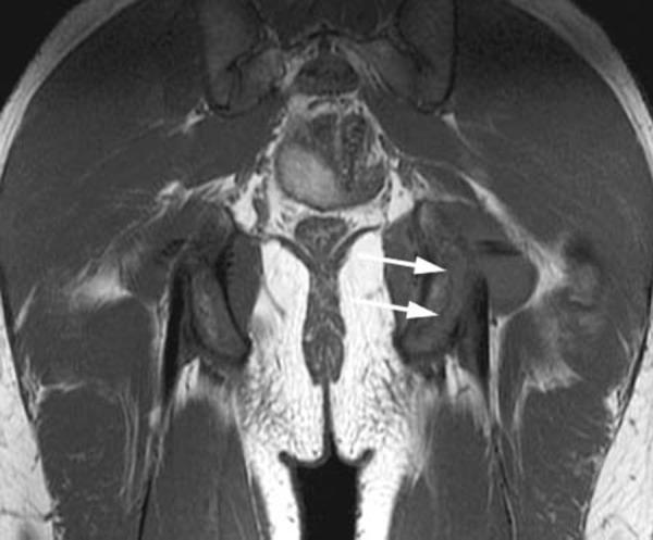
Apophyseal avulsion injuries of the hip and pelvis are frequent athletic injuries in children and adolescents, most commonly associated with explosive movement or sprinting. This article details typically encountered apophyseal injuries and their appearance on magnetic resonance imaging.

摘要

髋关节和骨盆的骺板撕脱伤是儿童和青少年常见的运动损伤,最常与爆发性运动或冲刺有关。本文详细介绍了常见的骺板损伤及其在磁共振成像上的表现。

https://cdn.ncbi.nlm.nih.gov/pmc/blobs/cf95/3445104/044bb135259b/10.1177_1941738109347976-fig1.jpg

相似文献

1
Orthopaedic magnetic resonance imaging challenge: apophyseal avulsions at the pelvis.
Sports Health. 2010 May;2(3):247-51. doi: 10.1177/1941738109347976.
2
[Apophyseal Avulsions of the Hip Region in Adolescents].
Orthopade. 2016 Mar;45(3):213-8. doi: 10.1007/s00132-016-3230-4.
3
[Radiological diagnosis of apophyseal injuries of the pelvic region].
Radiologie (Heidelb). 2023 Oct;63(10):758-765. doi: 10.1007/s00117-023-01211-x. Epub 2023 Sep 18.
4
Avulsion injuries of the pelvis.
Semin Musculoskelet Radiol. 2008 Mar;12(1):42-53. doi: 10.1055/s-2008-1067936.
5
Diagnosis and treatment of apophyseal injuries of the pelvis in adolescents.
Semin Musculoskelet Radiol. 2014 Nov;18(5):498-504. doi: 10.1055/s-0034-1389267. Epub 2014 Oct 28.
6
[Apophyseal avulsions of the pelvis and proximal femur].
Ugeskr Laeger. 1993 Jul 5;155(27):2124-5.
8
Operative treatment of pelvic apophyseal avulsions in adolescent and young adult athletes: a follow-up study.
Eur J Orthop Surg Traumatol. 2018 Apr;28(3):423-429. doi: 10.1007/s00590-017-2074-x. Epub 2017 Nov 20.
9
Pelvic Apophyseal Avulsion Fractures: A Retrospective Review of 228 Cases.
J Pediatr Orthop. 2015 Sep;35(6):617-23. doi: 10.1097/BPO.0000000000000328.
10
Comparing sonography with MR imaging of apophyseal injuries of the pelvis in four boys.
AJR Am J Roentgenol. 2003 Jul;181(1):223-30. doi: 10.2214/ajr.181.1.1810223.

引用本文的文献

2
Case report of combined iliac crest and ASIS apophysis avulsion fracture in an adolescent footballer.
J Surg Case Rep. 2021 Dec 24;2021(12):rjab573. doi: 10.1093/jscr/rjab573. eCollection 2021 Dec.
3
Multimodality imaging evaluation for iliac crest apophysis avulsion injury.
Radiol Case Rep. 2019 Jun 6;14(8):986-988. doi: 10.1016/j.radcr.2019.05.016. eCollection 2019 Aug.
4
Acute Avulsion of the Iliac Crest Apophysis in an Adolescent Indoor Soccer.
J Belg Soc Radiol. 2015 Dec 30;99(2):20-24. doi: 10.5334/jbr-btr.876.
5
Iliac crest apophyseal insufficiency avulsion fractures.
Ann R Coll Surg Engl. 2018 Jan;100(1):e4-e6. doi: 10.1308/rcsann.2017.0175. Epub 2017 Oct 19.
6
[Apophyseal Avulsions of the Hip Region in Adolescents].
Orthopade. 2016 Mar;45(3):213-8. doi: 10.1007/s00132-016-3230-4.

本文引用的文献

1
Hip and Pelvis Avulsion Fractures in Adolescents.
Phys Sportsmed. 1994 Jul;22(7):41-49. doi: 10.1080/00913847.1994.11947666.
2
Imaging review of groin pain in elite athletes: an anatomic approach to imaging findings.
AJR Am J Roentgenol. 2008 Oct;191(4):962-72. doi: 10.2214/AJR.07.3410.
3
Patterns of bone and soft-tissue injury at the symphysis pubis in soccer players: observations at MRI.
AJR Am J Roentgenol. 2007 Mar;188(3):W291-6. doi: 10.2214/AJR.06.0051.
4
Classification and return-to-play considerations for stress fractures.
Clin Sports Med. 2006 Jan;25(1):17-28, vii. doi: 10.1016/j.csm.2005.08.012.
5
Hamstring injuries of the hip.
Magn Reson Imaging Clin N Am. 2005 Nov;13(4):677-90, vi. doi: 10.1016/j.mric.2005.08.002.
7
Imaging features of avulsion injuries.
Radiographics. 1999 May-Jun;19(3):655-72. doi: 10.1148/radiographics.19.3.g99ma05655.
8
Common hip injuries in sport.
Sports Med. 1997 Oct;24(4):273-88. doi: 10.2165/00007256-199724040-00005.
9
Ischial apophysis injuries in athletes.
Sports Med. 1993 Oct;16(4):290-4. doi: 10.2165/00007256-199316040-00006.
10
Avulsion fractures of the pelvis in children: a report of 32 fractures and their outcome.
Skeletal Radiol. 1994 Feb;23(2):85-90. doi: 10.1007/BF00563198.

文献AI研究员

20分钟写一篇综述,助力文献阅读效率提升50倍。

立即体验

用中文搜PubMed

大模型驱动的PubMed中文搜索引擎

马上搜索

文档翻译

学术文献翻译模型,支持多种主流文档格式。

立即体验