Kadakia Shimoni, Nadkarni Nitin, Sonavane Sham, Ghate Sunil
Rajawadi Hospital and Dr. D. Y. Patil Medical College, Mumbai, Maharashtra, India.
Indian J Dermatol. 2012 Sep;57(5):396-8. doi: 10.4103/0019-5154.100499.
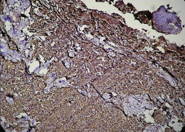
Necrobiotic xanthogranuloma (NXG) is a very rare, progressive variant of non-Langerhans cell histiocytosis. It is known to be associated with multisystem involvement and paraproteinemias. A 65-year-old female presented with chronic, slowly growing, asymptomatic periorbital nodules. The lesions had recurred after local excision elsewhere. No systemic involvement or paraproteinemias were detected. A provisional diagnosis of isolated cutaneous NXG was made which was confirmed by histopathology and immunohistochemistry staining. The lesions were surgically excised with excellent cosmetic and functional results. There was no recurrence over a period of 9 months. To our knowledge, this is the second case of NXG reported from India and the first without any systemic manifestations.
坏死性黄色肉芽肿(NXG)是一种非常罕见的、非朗格汉斯细胞组织细胞增生症的进行性变体。已知其与多系统受累和副蛋白血症有关。一名65岁女性出现慢性、生长缓慢、无症状的眶周结节。这些病变在其他地方局部切除后复发。未检测到全身受累或副蛋白血症。做出了孤立性皮肤NXG的初步诊断,该诊断通过组织病理学和免疫组织化学染色得到证实。病变通过手术切除,获得了良好的美容和功能效果。在9个月的时间里没有复发。据我们所知,这是印度报道的第二例NXG病例,也是第一例无任何全身表现的病例。