Suppr超能文献

螺旋藻对非酒精性脂肪性肝炎大鼠模型的抗氧化和抗炎作用。

Anti-oxidative and anti-inflammatory effects of spirulina on rat model of non-alcoholic steatohepatitis.

机构信息

Graduate School of Medicine, Dentistry, and Pharmaceutical Sciences, Okayama University, 1-1-1 Tsushima-naka, Kita-ku, Okayama 700-8530, Japan.

出版信息

J Clin Biochem Nutr. 2012 Nov;51(3):227-34. doi: 10.3164/jcbn.12-18. Epub 2012 Oct 12.

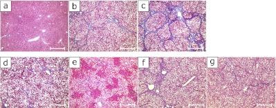
Abstract

The pathogenesis of nonalcoholic steatohepatitis (NASH) remains unclear, but accumulating data suggest oxidative stress and the relationship between inflammation and immunity plays a crucial role. The aim of this study is to investigate the spirulina, which is a blue-green algae rich in proteins and other nutritional elements, and its component-phycocyanin effect on a rat model of NASH. NASH model rats were established by feeding male Wistar rats with choline-deficient high-fat diet (CDHF) and intermittent hypoxemia by sodium nitrite challenge after 5 weeks of CDHF. After experimental period of 10 weeks, blood and liver were collected to determine oxidative stress injuries and efficacies of spirulina or phycocyanin on NASH model rats. In the NASH model rats, increase in plasma liver enzymes and liver fibrosis, increases in productions of reactive oxygen species from liver mitochondria and from leukocytes, the activation of nuclear factor-kappa B, and the change in the lymphocyte surface antigen ratio (CD4(+)/CD8(+)) were observed. The spirulina and phycocyanin administration significantly abated these changes. The spirulina or phycocyanin administration to model rats of NASH might lessen the inflammatory response through anti-oxidative and anti-inflammatory mechanisms, breaking the crosstalk between oxidative stress and inflammation, and effectively inhibit NASH progression.

摘要

非酒精性脂肪性肝炎(NASH)的发病机制尚不清楚,但越来越多的证据表明氧化应激和炎症与免疫的关系起着至关重要的作用。本研究旨在探讨螺旋藻,一种富含蛋白质和其他营养成分的蓝绿藻,及其成分藻蓝蛋白对 NASH 大鼠模型的作用。通过给予雄性 Wistar 大鼠胆碱缺乏高脂饮食(CDHF)并在 5 周 CDHF 后用亚硝酸钠挑战间歇性缺氧,建立 NASH 模型大鼠。经过 10 周的实验期后,采集血液和肝脏,以确定氧化应激损伤以及螺旋藻或藻蓝蛋白对 NASH 模型大鼠的疗效。在 NASH 模型大鼠中,观察到血浆肝酶和肝纤维化增加,肝线粒体和白细胞产生的活性氧增加,核因子-κB 激活,以及淋巴细胞表面抗原比率(CD4(+)/CD8(+))改变。螺旋藻和藻蓝蛋白的给药显著减轻了这些变化。螺旋藻或藻蓝蛋白给药可能通过抗氧化和抗炎机制减轻 NASH 模型大鼠的炎症反应,打破氧化应激和炎症之间的相互作用,有效抑制 NASH 的进展。

https://cdn.ncbi.nlm.nih.gov/pmc/blobs/8ce2/3491249/9cffc8b7148e/jcbn12-18f01.jpg

文献AI研究员

20分钟写一篇综述,助力文献阅读效率提升50倍。

立即体验

用中文搜PubMed

大模型驱动的PubMed中文搜索引擎

马上搜索

文档翻译

学术文献翻译模型,支持多种主流文档格式。

立即体验