Suppr超能文献

变异型兔出血症病毒感染幼兔,西班牙。

Variant rabbit hemorrhagic disease virus in young rabbits, Spain.

机构信息

Universidad de Oviedo Instituto Universitario de Biotecnología de Asturias, Oviedo, Spain.

出版信息

Emerg Infect Dis. 2012 Dec;18(12):2009-12. doi: 10.3201/eid1812.120341.

Abstract

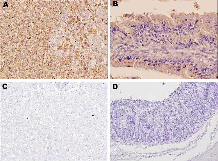
Outbreaks of rabbit hemorrhagic disease have occurred recently in young rabbits on farms on the Iberian Peninsula where rabbits were previously vaccinated. Investigation identified a rabbit hemorrhagic disease virus variant genetically related to apathogenic rabbit caliciviruses. Improved antivirus strategies are needed to slow the spread of this pathogen.

摘要

最近,伊比利亚半岛农场的年轻兔子中爆发了兔出血症,而这些兔子之前都接种过疫苗。调查发现,一种与无致病性兔杯状病毒在基因上有关的兔出血症病毒变异株是该病的病原体。需要改进抗病毒策略来减缓这种病原体的传播。

https://cdn.ncbi.nlm.nih.gov/pmc/blobs/7712/3557890/bb099d282ec1/12-0341-F1.jpg

文献AI研究员

20分钟写一篇综述,助力文献阅读效率提升50倍。

立即体验

用中文搜PubMed

大模型驱动的PubMed中文搜索引擎

马上搜索

文档翻译

学术文献翻译模型,支持多种主流文档格式。

立即体验