Suppr超能文献

肠道淋巴组织的研究。十四——乳糜泻患者一级亲属的HLA状态、黏膜形态、通透性及上皮淋巴细胞群体

Studies of intestinal lymphoid tissue. XIV--HLA status, mucosal morphology, permeability and epithelial lymphocyte populations in first degree relatives of patients with coeliac disease.

作者信息

Marsh M N, Bjarnason I, Shaw J, Ellis A, Baker R, Peters T J

机构信息

Department of Medicine, (University of Manchester School of Medicine), Hope Hospital, Salford.

出版信息

Gut. 1990 Jan;31(1):32-6. doi: 10.1136/gut.31.1.32.

Abstract

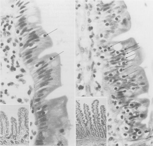
Fifty two first degree relatives of patients with coeliac disease were investigated for HLA status, small intestinal permeability, and mucosal morphology together with the size of the intraepithelial lymphocyte pool and indices of lymphocyte activation, in an attempt to identify genetically determined markers of the disease. Thirty eight per cent of these subjects had increased intraepithelial lymphocyte populations and a highly significant association with HLA-DR3 compared with controls. Their intestinal permeability to 51chromium-labelled ethylenediamine tetraacetate was invariably normal and there was no evidence of abnormal mucosal architecture, increased crypt cell mitotic activity or lymphocyte 'activation'. Although increased intraepithelial lymphocyte counts clearly do not cause alterations in intestinal structure or function, it is likely that this parameter together with the HLA-DR3 status identifies a genetically determined predisposition to the disease which may only become clinically evident with larger doses of ingested gluten.

摘要

对52名乳糜泻患者的一级亲属进行了研究,检测他们的HLA状态、小肠通透性、黏膜形态,以及上皮内淋巴细胞池的大小和淋巴细胞活化指标,试图找出该疾病的遗传决定标志物。与对照组相比,这些受试者中有38%的人上皮内淋巴细胞数量增加,且与HLA - DR3有高度显著的关联。他们对51铬标记的乙二胺四乙酸的肠道通透性始终正常,没有证据表明存在黏膜结构异常、隐窝细胞有丝分裂活性增加或淋巴细胞“活化”。虽然上皮内淋巴细胞计数增加显然不会导致肠道结构或功能的改变,但这个参数连同HLA - DR3状态可能确定了一种该疾病的遗传易感性,这种易感性可能只有在摄入较大剂量的麸质时才会在临床上显现出来。

https://cdn.ncbi.nlm.nih.gov/pmc/blobs/2fd4/1378337/328626d6e8c3/gut00595-0044-a.jpg

文献检索

告别复杂PubMed语法,用中文像聊天一样搜索,搜遍4000万医学文献。AI智能推荐,让科研检索更轻松。

立即免费搜索

文件翻译

保留排版,准确专业,支持PDF/Word/PPT等文件格式,支持 12+语言互译。

免费翻译文档

深度研究

AI帮你快速写综述,25分钟生成高质量综述,智能提取关键信息,辅助科研写作。

立即免费体验