Suppr超能文献

外阴罕见汗腺肿瘤:2例报告。

Rare sweat gland tumors of vulva: Report of two cases.

作者信息

Mahajan Rashmi, Bang Damodar, Nagar Amit, Bilimoria Freny

机构信息

Department of Skin and V.D, SBKS Medical College, Piparia, Waghodia, Baroda, Gujarat, India.

出版信息

Indian J Sex Transm Dis AIDS. 2012 Jul;33(2):124-7. doi: 10.4103/0253-7184.102128.

Abstract

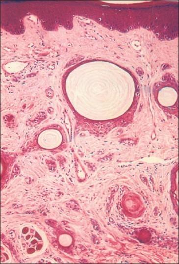
Syringomas and Fox-Fordyce disease are appendageal skin disorders. While syringomas represent an adenoma of the intraepidermal eccrine duct, Fox Fordyce disease occurs due to blockage of the apocrine sweat duct. In both conditions, extragenital sites are more frequently involved than the genitalia. We herein report two young females, one with syringomas on the face and vulva and the other with Fox Fordyce disease involving axilla, areola and vulva, thereby citing the importance of examination of genitalia in these disorders.

摘要

汗管瘤和福克斯-福代斯病是附属器皮肤疾病。汗管瘤是表皮内小汗腺导管的一种腺瘤,而福克斯-福代斯病是由于顶泌汗腺导管阻塞所致。在这两种疾病中,非生殖器部位比生殖器部位更常受累。我们在此报告两名年轻女性,一名面部和外阴患有汗管瘤,另一名腋窝、乳晕和外阴患有福克斯-福代斯病,从而说明了在这些疾病中检查生殖器的重要性。

https://cdn.ncbi.nlm.nih.gov/pmc/blobs/cce2/3505290/bc0c5881f0f7/IJSTD-33-124-g001.jpg

文献检索

告别复杂PubMed语法,用中文像聊天一样搜索,搜遍4000万医学文献。AI智能推荐,让科研检索更轻松。

立即免费搜索

文件翻译

保留排版,准确专业,支持PDF/Word/PPT等文件格式,支持 12+语言互译。

免费翻译文档

深度研究

AI帮你快速写综述,25分钟生成高质量综述,智能提取关键信息,辅助科研写作。

立即免费体验