• 文献检索
  • 文档翻译
  • 深度研究
  • 学术资讯
  • Suppr Zotero 插件Zotero 插件
  • 邀请有礼
  • 套餐&价格
  • 历史记录
应用&插件
Suppr Zotero 插件Zotero 插件浏览器插件Mac 客户端Windows 客户端微信小程序
定价
高级版会员购买积分包购买API积分包
服务
文献检索文档翻译深度研究API 文档MCP 服务
关于我们
关于 Suppr公司介绍联系我们用户协议隐私条款
关注我们

Suppr 超能文献

核心技术专利:CN118964589B侵权必究
粤ICP备2023148730 号-1Suppr @ 2026

文献检索

告别复杂PubMed语法,用中文像聊天一样搜索,搜遍4000万医学文献。AI智能推荐,让科研检索更轻松。

立即免费搜索

文件翻译

保留排版,准确专业,支持PDF/Word/PPT等文件格式,支持 12+语言互译。

免费翻译文档

深度研究

AI帮你快速写综述,25分钟生成高质量综述,智能提取关键信息,辅助科研写作。

立即免费体验

疣状黄色瘤:5例报告

Verruciform xanthoma: report of five cases.

作者信息

Joshi Rajiv, Ovhal Ajay

机构信息

Consultant Dermatologist and Dermatopathologist, PD Hinduja Hospital, Mahim, Mumbai, India.

出版信息

Indian J Dermatol. 2012 Nov;57(6):479-82. doi: 10.4103/0019-5154.103069.

DOI:10.4103/0019-5154.103069
PMID:23248367
原文链接:https://pmc.ncbi.nlm.nih.gov/articles/PMC3519256/
Abstract

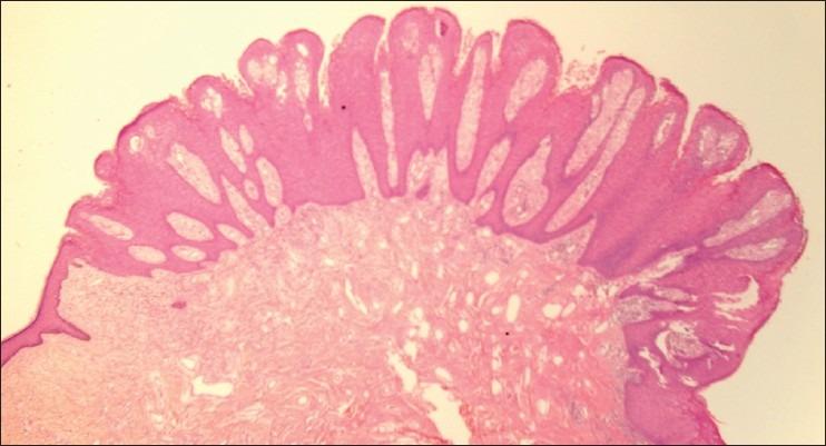
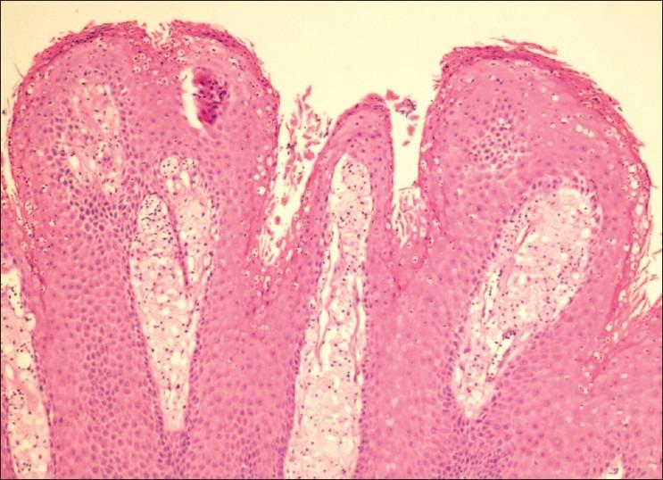
We describe five cases of verruciform xanthoma (VX). The patients, all males, presented with single warty verrucous lesions of 0.5-2 cm size that had been diagnosed clinically as viral warts (four cases) and leukoplakia (one case). Two patients had the lesion in the oral cavity, two on the genital mucosa, and one on the scrotal skin. Histopathology was diagnostic, with verrucous and papillomatous epidermal hyperplasia with the silhouette of a viral wart but with numerous foamy histiocytes packed in the elongated dermal papillae. Columns of deep parakeratosis and neutrophils in the upper spinous layers, with a dermal plasma cell infiltrate were the other histopathologic findings. Excision of the lesions was curative, without recurrences, in the two patients who had lesions in the oral cavity; follow-up was not available in the cases with genital lesions. VX is an uncommon but distinctive clinicopathologic entity affecting the oral and genital mucosa that may be mistaken for benign, premalignant, and malignant conditions. VX can be diagnosed with certainty only on histopathologic examination.

摘要

我们描述了5例疣状黄瘤(VX)。患者均为男性,表现为大小为0.5 - 2厘米的单个疣状、乳头状病变,临床诊断为病毒疣(4例)和白斑(1例)。2例患者病变位于口腔,2例位于生殖器黏膜,1例位于阴囊皮肤。组织病理学检查具有诊断意义,表现为疣状和乳头状表皮增生,形似病毒疣,但在拉长的真皮乳头中有大量泡沫状组织细胞。深层角化不全柱和棘层上部的中性粒细胞,以及真皮浆细胞浸润是其他组织病理学表现。对2例口腔病变患者进行病变切除后治愈,无复发;生殖器病变患者未进行随访。VX是一种罕见但独特的临床病理实体,可累及口腔和生殖器黏膜,可能被误诊为良性、癌前和恶性病变。VX只有通过组织病理学检查才能确诊。

https://cdn.ncbi.nlm.nih.gov/pmc/blobs/0c20/3519256/69480f583df7/IJD-57-479-g006.jpg
https://cdn.ncbi.nlm.nih.gov/pmc/blobs/0c20/3519256/20f61490e0b1/IJD-57-479-g002.jpg
https://cdn.ncbi.nlm.nih.gov/pmc/blobs/0c20/3519256/e37c6133fb40/IJD-57-479-g003.jpg
https://cdn.ncbi.nlm.nih.gov/pmc/blobs/0c20/3519256/fc85608701b9/IJD-57-479-g004.jpg
https://cdn.ncbi.nlm.nih.gov/pmc/blobs/0c20/3519256/95ef8f8d8a6c/IJD-57-479-g005.jpg
https://cdn.ncbi.nlm.nih.gov/pmc/blobs/0c20/3519256/69480f583df7/IJD-57-479-g006.jpg
https://cdn.ncbi.nlm.nih.gov/pmc/blobs/0c20/3519256/20f61490e0b1/IJD-57-479-g002.jpg
https://cdn.ncbi.nlm.nih.gov/pmc/blobs/0c20/3519256/e37c6133fb40/IJD-57-479-g003.jpg
https://cdn.ncbi.nlm.nih.gov/pmc/blobs/0c20/3519256/fc85608701b9/IJD-57-479-g004.jpg
https://cdn.ncbi.nlm.nih.gov/pmc/blobs/0c20/3519256/95ef8f8d8a6c/IJD-57-479-g005.jpg
https://cdn.ncbi.nlm.nih.gov/pmc/blobs/0c20/3519256/69480f583df7/IJD-57-479-g006.jpg

相似文献

1
Verruciform xanthoma: report of five cases.疣状黄色瘤:5例报告
Indian J Dermatol. 2012 Nov;57(6):479-82. doi: 10.4103/0019-5154.103069.
2
Verruciform xanthoma of the oral cavity - a case report.
J Clin Diagn Res. 2013 Aug;7(8):1799-801. doi: 10.7860/JCDR/2013/6559.3309. Epub 2013 Jul 19.
3
Verruciform Genital-Associated (Vegas) Xanthoma: report of a patient with verruciform xanthoma of the scrotum and literature review.疣状生殖器相关(Vegas)黄色瘤:1例阴囊疣状黄色瘤患者报告及文献复习
Dermatol Online J. 2015 Aug 15;21(8):13030/qt7kb930rf.
4
Vegas (Verruciform Genital-Associated) Xanthoma: A Comprehensive Literature Review.韦加斯(疣状生殖器相关)黄色瘤:文献综述
Dermatol Ther (Heidelb). 2017 Mar;7(1):65-79. doi: 10.1007/s13555-016-0155-0. Epub 2016 Nov 15.
5
Cutaneous verruciform xanthoma: a report of five cases investigating the etiology and nature of xanthomatous cells.皮肤疣状黄色瘤:5例病例报告——探讨黄色瘤细胞的病因及性质
Am J Surg Pathol. 1998 Apr;22(4):479-87. doi: 10.1097/00000478-199804000-00014.
6
Verruciform xanthoma of the palatal gingiva: a report of two cases.腭部牙龈疣状黄瘤:两例报告
J Korean Assoc Oral Maxillofac Surg. 2013 Dec;39(6):292-6. doi: 10.5125/jkaoms.2013.39.6.292. Epub 2013 Dec 23.
7
Verruciform xanthoma associated with lichen planus.与扁平苔藓相关的疣状黄色瘤。
Autops Case Rep. 2022 Feb 21;12:e2021360. doi: 10.4322/acr.2021.360. eCollection 2022.
8
Verruciform Xanthoma of the Esophagus: Two Case Reports With Review of the Literature.食管疣状黄色瘤:两例病例报告并文献复习
Int J Surg Pathol. 2020 May;28(3):302-305. doi: 10.1177/1066896919879495. Epub 2019 Oct 8.
9
Verruciform Xanthoma: Clinical and Morphologic Spectrum Across Oral, Genital, and Cutaneous Sites.疣状黄瘤:口腔、生殖器和皮肤部位的临床和形态学谱。
Head Neck Pathol. 2023 Sep;17(3):673-678. doi: 10.1007/s12105-023-01568-4. Epub 2023 Jul 7.
10
Clinicopathological and Immunohistochemical Characteristics of Verruciform Xanthoma of the Lower Gingiva: A Case Report.下颌牙龈疣状黄瘤的临床病理及免疫组化特征:一例报告
J Clin Diagn Res. 2016 Jun;10(6):ZD05-6. doi: 10.7860/JCDR/2016/15446.7950. Epub 2016 Jun 1.

引用本文的文献

1
Verruciform Xanthoma of the Ventral Surface of the Tongue: A Rare Case Report and Literature Review.舌腹面疣状黄色瘤:1例罕见病例报告及文献复习
Iran J Otorhinolaryngol. 2021 Jan;33(114):55-59. doi: 10.22038/ijorl.2020.45912.2506.
2
Oral verruciform xanthoma: Report of 13 new cases and review of the literature.口腔疣状黄瘤:13例新病例报告及文献复习
Med Oral Patol Oral Cir Bucal. 2018 Jul 1;23(4):e429-e435. doi: 10.4317/medoral.22342.
3
Verruciform xanthoma of the tongue.

本文引用的文献

1
A rare case of recessive dystrophic epidermolysis bullosa and verruciform xanthoma.一例罕见的隐性营养不良型大疱性表皮松解症合并疣状黄瘤。
Clin Exp Dermatol. 2009 Jan;34(1):49-51. doi: 10.1111/j.1365-2230.2008.02888.x. Epub 2008 Aug 2.
2
Recurrent verruciform xanthoma of the vulva.复发性外阴疣状黄瘤
Int J Gynecol Pathol. 2004 Jan;23(1):75-7. doi: 10.1097/01.pgp.0000101143.79462.f7.
3
Multiple human papillomavirus DNA identified in verruciform xanthoma by nested polymerase chain reaction with degenerate consensus primers.
Natl J Maxillofac Surg. 2017 Jan-Jun;8(1):78-80. doi: 10.4103/0975-5950.208982.
4
A Case of Verruciform Xanthoma Arising in the Tongue.一例发生于舌部的疣状黄色瘤
J Clin Diagn Res. 2016 Dec;10(12):ZD07-ZD08. doi: 10.7860/JCDR/2016/22157.8965. Epub 2016 Dec 1.
5
Vegas (Verruciform Genital-Associated) Xanthoma: A Comprehensive Literature Review.韦加斯(疣状生殖器相关)黄色瘤:文献综述
Dermatol Ther (Heidelb). 2017 Mar;7(1):65-79. doi: 10.1007/s13555-016-0155-0. Epub 2016 Nov 15.
6
Dermatopathology quiz: Cerebriform papules of the scrotum.皮肤病理学测验:阴囊的脑回状丘疹
Indian Dermatol Online J. 2015 Nov-Dec;6(6):416-8. doi: 10.4103/2229-5178.169719.
7
Verruciform xanthoma of the oral cavity - a case report.
J Clin Diagn Res. 2013 Aug;7(8):1799-801. doi: 10.7860/JCDR/2013/6559.3309. Epub 2013 Jul 19.
通过使用简并共有引物的巢式聚合酶链反应在疣状黄瘤中鉴定出多种人乳头瘤病毒DNA。
J Cutan Pathol. 2003 May;30(5):344-6; author reply 347. doi: 10.1034/j.1600-0560.2003.00074.x.
4
Verruciform xanthoma--biological profile of 282 oral lesions based on a literature survey with nine new cases from Japan.
Oral Oncol. 2003 Jun;39(4):325-36. doi: 10.1016/s1368-8375(02)00088-x.
5
Verruciform xanthoma associated with squamous cell carcinoma.疣状黄色瘤伴鳞状细胞癌
Am J Dermatopathol. 1999 Feb;21(1):66-9. doi: 10.1097/00000372-199902000-00015.
6
Cutaneous verruciform xanthoma: a report of five cases investigating the etiology and nature of xanthomatous cells.皮肤疣状黄色瘤:5例病例报告——探讨黄色瘤细胞的病因及性质
Am J Surg Pathol. 1998 Apr;22(4):479-87. doi: 10.1097/00000478-199804000-00014.
7
Verruciform xanthoma--a case report.疣状黄色瘤——病例报告
Indian J Pathol Microbiol. 1996 Oct;39(4):307-8.
8
Verruciform xanthoma of the glans penis: a benign clinical simulant of genital malignancy.
Cutis. 1993 May;51(5):369-72.
9
Verruciform xanthoma in an immunocompromised patient: a case report and immunohistochemical study.免疫功能低下患者的疣状黄色瘤:病例报告及免疫组织化学研究
J Cutan Pathol. 1993 Feb;20(1):84-6. doi: 10.1111/j.1600-0560.1993.tb01256.x.
10
Verruciform xanthoma: an immunocytochemical study.
Br J Biomed Sci. 1994 Mar;51(1):28-34.