• 文献检索
  • 文档翻译
  • 深度研究
  • 学术资讯
  • Suppr Zotero 插件Zotero 插件
  • 邀请有礼
  • 套餐&价格
  • 历史记录
应用&插件
Suppr Zotero 插件Zotero 插件浏览器插件Mac 客户端Windows 客户端微信小程序
定价
高级版会员购买积分包购买API积分包
服务
文献检索文档翻译深度研究API 文档MCP 服务
关于我们
关于 Suppr公司介绍联系我们用户协议隐私条款
关注我们

Suppr 超能文献

核心技术专利:CN118964589B侵权必究
粤ICP备2023148730 号-1Suppr @ 2026

文献检索

告别复杂PubMed语法,用中文像聊天一样搜索,搜遍4000万医学文献。AI智能推荐,让科研检索更轻松。

立即免费搜索

文件翻译

保留排版,准确专业,支持PDF/Word/PPT等文件格式,支持 12+语言互译。

免费翻译文档

深度研究

AI帮你快速写综述,25分钟生成高质量综述,智能提取关键信息,辅助科研写作。

立即免费体验

猪带绦虫有利于孢子丝菌感染引起的迁延性皮肤损伤:Dectin-1 和 IL-17 对于清除这种真菌是可有可无的。

Taenia taeniaeformis in rat favors protracted skin lesions caused by Sporothrix schenckii infection: Dectin-1 and IL-17 are dispensable for clearance of this fungus.

机构信息

Department of Dermatology and Venereology, Third Affiliated Hospital of Sun Yat-sen University, Guangzhou, Guangdong Province, China.

出版信息

PLoS One. 2012;7(12):e52514. doi: 10.1371/journal.pone.0052514. Epub 2012 Dec 20.

DOI:10.1371/journal.pone.0052514
PMID:23285072
原文链接:https://pmc.ncbi.nlm.nih.gov/articles/PMC3527553/
Abstract

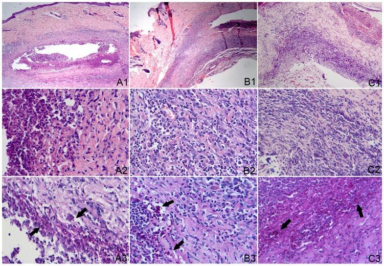
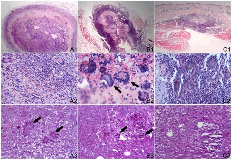
We occasionally found that cestode Taenia taeniaeformis in rats favored Sporothrix schenckii infection and survival, causing protracted cutaneous lesions. In this study, we compared the pathology and cytokines profile of rats co-infected with the two pathogens and infected with S. schenckii alone to explore underlying mechanisms. In the co-infection group, there was high expression of β-glucan receptor Dectin-1 in the cutaneous lesions and no multinucleated giant cells, but in the S. schenckii infection group the opposite was observed. Cytokines profiles demonstrated an expected finding that IL-4, commonly expressed in helminth and fungus infection, is undetectable in the two infection groups. In the single fungal infection group, cytokines IFN-γ, IL-10 and IL-17 kept increasing in the first few weeks of infection to a peak which was followed by gradual decrease. This study showed that Dectin-1 and IL-17, which were believed to be the major anti-fungus mechanisms, are Th2 independent and dispensable for clearance of S. schenckii infection, suggesting that S. schenckii has a different molecular recognition pattern and evokes anti-infection mechanisms other than Dectin-1 and IL-17.

摘要

我们偶尔发现,大鼠体内的带绦虫囊尾蚴有利于申克孢子丝菌感染和存活,导致皮肤病变迁延不愈。在这项研究中,我们比较了两种病原体共同感染和单独感染申克孢子丝菌的大鼠的病理学和细胞因子谱,以探讨潜在的机制。在共同感染组中,皮肤病变中β-葡聚糖受体 Dectin-1 表达较高,没有多核巨细胞,但在单独感染申克孢子丝菌组中则相反。细胞因子谱显示了一个预期的发现,即通常在寄生虫和真菌感染中表达的 IL-4 在两个感染组中均无法检测到。在单独真菌感染组中,IFN-γ、IL-10 和 IL-17 等细胞因子在感染的前几周逐渐增加到峰值,随后逐渐减少。本研究表明,被认为是主要抗真菌机制的 Dectin-1 和 IL-17 不依赖于 Th2,对于清除申克孢子丝菌感染是可有可无的,这表明申克孢子丝菌具有不同的分子识别模式,并引发了不同于 Dectin-1 和 IL-17 的抗感染机制。

https://cdn.ncbi.nlm.nih.gov/pmc/blobs/7eae/3527553/d9fa22fedc99/pone.0052514.g006.jpg
https://cdn.ncbi.nlm.nih.gov/pmc/blobs/7eae/3527553/413a48d8fb64/pone.0052514.g001.jpg
https://cdn.ncbi.nlm.nih.gov/pmc/blobs/7eae/3527553/34b412ac8cdb/pone.0052514.g002.jpg
https://cdn.ncbi.nlm.nih.gov/pmc/blobs/7eae/3527553/1504b7cbf414/pone.0052514.g003.jpg
https://cdn.ncbi.nlm.nih.gov/pmc/blobs/7eae/3527553/331855f50818/pone.0052514.g004.jpg
https://cdn.ncbi.nlm.nih.gov/pmc/blobs/7eae/3527553/b70284f8cdc0/pone.0052514.g005.jpg
https://cdn.ncbi.nlm.nih.gov/pmc/blobs/7eae/3527553/d9fa22fedc99/pone.0052514.g006.jpg
https://cdn.ncbi.nlm.nih.gov/pmc/blobs/7eae/3527553/413a48d8fb64/pone.0052514.g001.jpg
https://cdn.ncbi.nlm.nih.gov/pmc/blobs/7eae/3527553/34b412ac8cdb/pone.0052514.g002.jpg
https://cdn.ncbi.nlm.nih.gov/pmc/blobs/7eae/3527553/1504b7cbf414/pone.0052514.g003.jpg
https://cdn.ncbi.nlm.nih.gov/pmc/blobs/7eae/3527553/331855f50818/pone.0052514.g004.jpg
https://cdn.ncbi.nlm.nih.gov/pmc/blobs/7eae/3527553/b70284f8cdc0/pone.0052514.g005.jpg
https://cdn.ncbi.nlm.nih.gov/pmc/blobs/7eae/3527553/d9fa22fedc99/pone.0052514.g006.jpg

相似文献

1
Taenia taeniaeformis in rat favors protracted skin lesions caused by Sporothrix schenckii infection: Dectin-1 and IL-17 are dispensable for clearance of this fungus.猪带绦虫有利于孢子丝菌感染引起的迁延性皮肤损伤:Dectin-1 和 IL-17 对于清除这种真菌是可有可无的。
PLoS One. 2012;7(12):e52514. doi: 10.1371/journal.pone.0052514. Epub 2012 Dec 20.
2
Dectin-1 expression by macrophages and related antifungal mechanisms in a murine model of Sporothrix schenckii sensu stricto systemic infection.巨噬细胞中Dectin-1的表达及申克孢子丝菌狭义系统性感染小鼠模型中的相关抗真菌机制
Microb Pathog. 2017 Sep;110:78-84. doi: 10.1016/j.micpath.2017.06.025. Epub 2017 Jun 20.
3
Skin Mast Cells Contribute to Infection.皮肤肥大细胞有助于感染。
Front Immunol. 2020 Mar 19;11:469. doi: 10.3389/fimmu.2020.00469. eCollection 2020.
4
Involvement of major components from Sporothrix schenckii cell wall in the caspase-1 activation, nitric oxide and cytokines production during experimental sporotrichosis.申克孢子丝菌细胞壁主要成分在实验性孢子丝菌病中对半胱天冬酶-1激活、一氧化氮和细胞因子产生的影响。
Mycopathologia. 2015 Feb;179(1-2):21-30. doi: 10.1007/s11046-014-9810-0. Epub 2014 Sep 10.
5
Natural killer cells are pivotal for in vivo protection following systemic infection by Sporothrix schenckii.自然杀伤细胞对于系统性感染申克孢子丝菌后的体内保护至关重要。
Immunology. 2018 Dec;155(4):467-476. doi: 10.1111/imm.12986. Epub 2018 Aug 14.
6
Is There Any Difference between the In Situ and Systemic IL-10 and IFN-γ Production when Clinical Forms of Cutaneous Sporotrichosis Are Compared?比较皮肤孢子丝菌病临床类型时,原位和全身IL-10及IFN-γ产生有差异吗?
PLoS One. 2016 Sep 13;11(9):e0162764. doi: 10.1371/journal.pone.0162764. eCollection 2016.
7
Response of Cytokines and Hydrogen Peroxide to Sporothrix schenckii Exoantigen in Systemic Experimental Infection.细胞因子和过氧化氢对系统性实验性感染中申克孢子丝菌外抗原的反应
Mycopathologia. 2016 Apr;181(3-4):207-15. doi: 10.1007/s11046-015-9966-2. Epub 2015 Nov 24.
8
Mast cell activation by conidia of Sporothrix schenckii: role in the severity of infection.申克孢子丝菌分生孢子引起肥大细胞活化:在感染严重程度中的作用。
Scand J Immunol. 2012 Jul;76(1):11-20. doi: 10.1111/j.1365-3083.2012.02706.x.
9
Anti-inflammatory activity of Vismia guianensis (Aubl.) Pers. extracts and antifungal activity against Sporothrix schenckii.圭亚那叶下珠提取物的抗炎活性及对申克孢子丝菌的抗真菌活性。
J Ethnopharmacol. 2017 Jan 4;195:266-274. doi: 10.1016/j.jep.2016.11.030. Epub 2016 Nov 14.
10
Differential recognition and cytokine induction by the peptidorhamnomannan from Sporothrix brasiliensis and S. Schenckii.巴西副球孢子菌和申克孢子丝菌的肽蕈糖脂的差异识别和细胞因子诱导。
Cell Immunol. 2022 Aug;378:104555. doi: 10.1016/j.cellimm.2022.104555. Epub 2022 Jun 3.

引用本文的文献

1
Differential Recognition of Clinically Relevant Species by Human Granulocytes.人类粒细胞对临床相关物种的差异识别
J Fungi (Basel). 2023 Oct 4;9(10):986. doi: 10.3390/jof9100986.
2
The Role of IL-17-Producing Cells in Cutaneous Fungal Infections.IL-17 产生细胞在皮肤真菌感染中的作用。
Int J Mol Sci. 2021 May 28;22(11):5794. doi: 10.3390/ijms22115794.
3
: A Review of an Emerging South American Fungal Pathogen, Its Related Disease, Presentation and Spread in Argentina.南美一种新兴真菌病原体及其相关疾病在阿根廷的表现与传播综述

本文引用的文献

1
Phagocytic receptors on macrophages distinguish between different Sporothrix schenckii morphotypes.巨噬细胞上的吞噬受体可区分不同的申克孢子丝菌形态型。
Microbes Infect. 2012 Oct;14(12):1093-101. doi: 10.1016/j.micinf.2012.06.001. Epub 2012 Jul 3.
2
C-type lectins on macrophages participate in the immunomodulatory response to Fasciola hepatica products.巨噬细胞上的 C 型凝集素参与对 Fasciola hepatica 产物的免疫调节反应。
Immunology. 2011 Jul;133(3):386-96. doi: 10.1111/j.1365-2567.2011.03449.x. Epub 2011 May 20.
3
Rapid host defense against Aspergillus fumigatus involves alveolar macrophages with a predominance of alternatively activated phenotype.
J Fungi (Basel). 2021 Feb 26;7(3):170. doi: 10.3390/jof7030170.
4
A One Health Approach to Combatting : Narrative Review of an Emerging Zoonotic Fungal Pathogen in South America.一种应对的“同一健康”方法:南美洲一种新兴人畜共患真菌病原体的叙述性综述
J Fungi (Basel). 2020 Oct 26;6(4):247. doi: 10.3390/jof6040247.
5
Detection of rodent-borne parasitic pathogens of wild rats in Serdang, Selangor, Malaysia: A potential threat to human health.马来西亚雪兰莪州沙登野生大鼠传播的寄生性病原体检测:对人类健康的潜在威胁。
Int J Parasitol Parasites Wildl. 2020 Jan 28;11:174-182. doi: 10.1016/j.ijppaw.2020.01.008. eCollection 2020 Apr.
6
Co-infection with feline retrovirus is related to changes in immunological parameters of cats with sporotrichosis.猫逆转录病毒的合并感染与孢子丝菌病猫的免疫参数变化有关。
PLoS One. 2018 Nov 30;13(11):e0207644. doi: 10.1371/journal.pone.0207644. eCollection 2018.
7
The Interaction of Human Pathogenic Fungi With C-Type Lectin Receptors.人类致病真菌与C型凝集素受体的相互作用
Front Immunol. 2018 Jun 4;9:1261. doi: 10.3389/fimmu.2018.01261. eCollection 2018.
8
and Are Differentially Recognized by Human Peripheral Blood Mononuclear Cells.并且被人类外周血单个核细胞差异性识别。
Front Microbiol. 2017 May 10;8:843. doi: 10.3389/fmicb.2017.00843. eCollection 2017.
9
Zoonotic Epidemic of Sporotrichosis: Cat to Human Transmission.孢子丝菌病的人畜共患病流行:从猫到人的传播
PLoS Pathog. 2017 Jan 19;13(1):e1006077. doi: 10.1371/journal.ppat.1006077. eCollection 2017 Jan.
10
Is There Any Difference between the In Situ and Systemic IL-10 and IFN-γ Production when Clinical Forms of Cutaneous Sporotrichosis Are Compared?比较皮肤孢子丝菌病临床类型时,原位和全身IL-10及IFN-γ产生有差异吗?
PLoS One. 2016 Sep 13;11(9):e0162764. doi: 10.1371/journal.pone.0162764. eCollection 2016.
迅速的宿主防御机制能够对抗烟曲霉,这一过程涉及到以替代性激活表型为主的肺泡巨噬细胞。
PLoS One. 2011 Jan 5;6(1):e15943. doi: 10.1371/journal.pone.0015943.
4
Sporotrichosis.孢子丝菌病
West J Emerg Med. 2009 Aug;10(3):204.
5
Activated dectin-1 localizes to lipid raft microdomains for signaling and activation of phagocytosis and cytokine production in dendritic cells.活化的dectin-1定位于脂筏微结构域,用于树突状细胞中吞噬作用和细胞因子产生的信号传导及激活。
J Biol Chem. 2009 Aug 14;284(33):22005-22011. doi: 10.1074/jbc.M109.009076. Epub 2009 Jun 12.
6
The macrophage mannose receptor induces IL-17 in response to Candida albicans.巨噬细胞甘露糖受体在响应白色念珠菌时可诱导白细胞介素-17的产生。
Cell Host Microbe. 2009 Apr 23;5(4):329-40. doi: 10.1016/j.chom.2009.02.006.
7
Histopathology of canine sporotrichosis: a morphological study of 86 cases from Rio de Janeiro (2001-2007).犬孢子丝菌病的组织病理学:对里约热内卢86例病例(2001 - 2007年)的形态学研究
Mycopathologia. 2009 Aug;168(2):79-87. doi: 10.1007/s11046-009-9198-4. Epub 2009 Apr 10.
8
Zymosan treatment of mouse mast cells enhances dectin-1 expression and induces dectin-1-dependent reactive oxygen species (ROS) generation.用酵母聚糖处理小鼠肥大细胞可增强dectin-1表达并诱导dectin-1依赖性活性氧(ROS)生成。
Immunobiology. 2009;214(4):321-30. doi: 10.1016/j.imbio.2008.09.002. Epub 2008 Oct 17.
9
A chronic chromoblastomycosis model by Fonsecaea monophora in Wistar rat.Wistar 大鼠慢性暗色丝孢霉病模型的构建。
Med Mycol. 2010 Feb;48(1):201-6. doi: 10.3109/13693780902785320.
10
Current research on the immune response to experimental sporotrichosis.当前关于实验性孢子丝菌病免疫反应的研究。
Mycopathologia. 2009 Jul;168(1):1-10. doi: 10.1007/s11046-009-9190-z. Epub 2009 Feb 25.