Suppr超能文献

利福平相关的小管间质性肾炎和范可尼综合征表现为低钾性瘫痪。

Rifampin-associated tubulointersititial nephritis and Fanconi syndrome presenting as hypokalemic paralysis.

机构信息

Division of Nephrology, Department of Internal Medicine, The Catholic University of Korea, Seoul, Korea.

出版信息

BMC Nephrol. 2013 Jan 16;14:13. doi: 10.1186/1471-2369-14-13.

Abstract

BACKGROUND

Rifampin is one of the most important drugs in first-line therapies for tuberculosis. The renal toxicity of rifampin has been reported sporadically and acute tubulointerstitial nephritis (ATIN) is a frequent histological finding. We describe for the first time a case of ATIN and Fanconi syndrome presenting as hypokalemic paralysis, associated with the use of rifampin.

CASE PRESENTATION

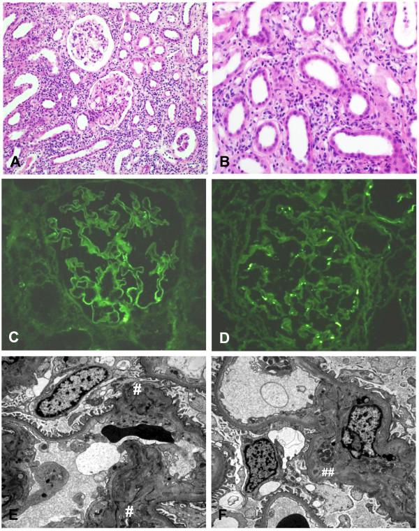
A 42-year-old man was admitted with sudden-onset lower extremity paralysis and mild renal insufficiency. He had been treated for pulmonary tuberculosis with isoniazid, rifampin, and ethambutol for 2 months. Laboratory tests revealed proteinuria, profound hypokalemia, hyperchloremic metabolic acidosis with a normal anion gap, positive urine anion gap, hypophosphatemia with hyperphosphaturia, hypouricemia with hyperuricosuria, glycosuria with normal serum glucose level, generalized aminoaciduria, and β2-microglobulinuria. A kidney biopsy revealed findings typical of ATIN and focal granular deposits of immunoglubulin A and complement 3 in the glomeruli and tubules. Electron microscopy showed epithelial foot process effacement and electron-dense deposits in the subendothelial and mesangial spaces. Cessation of rifampin resolved the patient's clinical presentation of Fanconi syndrome, and improved his renal function and proteinuria.

CONCLUSION

This case demonstrates that rifampin therapy can be associated with Fanconi syndrome presenting as hypokalemic paralysis, which is a manifestation of ATIN. Kidney function and the markers of proximal tubular injury should be carefully monitored in patients receiving rifampin.

摘要

背景

利福平是结核病一线治疗中最重要的药物之一。利福平的肾毒性曾有零星报道,急性肾小管间质性肾炎(ATIN)是常见的组织学发现。我们首次描述了一例与利福平相关的 ATIN 和范可尼综合征表现为低钾性瘫痪。

病例介绍

一名 42 岁男性因突发下肢瘫痪和轻度肾功能不全入院。他因肺结核接受异烟肼、利福平、乙胺丁醇治疗 2 个月。实验室检查显示蛋白尿、严重低钾血症、伴有正常阴离子间隙的高氯性代谢性酸中毒、阳性尿阴离子间隙、高磷血症伴高磷尿症、低尿酸血症伴高尿酸尿症、糖尿症伴正常血清葡萄糖水平、全身性氨基酸尿症和β2-微球蛋白尿症。肾活检显示 ATIN 典型表现和肾小球及肾小管内免疫球蛋白 A 和补体 3 的局灶性颗粒状沉积。电子显微镜显示上皮足突融合和内皮下及系膜空间内电子致密沉积物。停用利福平后,患者的范可尼综合征临床表现得到缓解,肾功能和蛋白尿得到改善。

结论

本例表明利福平治疗可引起范可尼综合征表现为低钾性瘫痪,这是 ATIN 的一种表现。接受利福平治疗的患者应密切监测肾功能和近端肾小管损伤标志物。

https://cdn.ncbi.nlm.nih.gov/pmc/blobs/5fe3/3558351/1c70709f34fa/1471-2369-14-13-1.jpg

文献AI研究员

20分钟写一篇综述,助力文献阅读效率提升50倍。

立即体验

用中文搜PubMed

大模型驱动的PubMed中文搜索引擎

马上搜索

文档翻译

学术文献翻译模型,支持多种主流文档格式。

立即体验