• 文献检索
  • 文档翻译
  • 深度研究
  • 学术资讯
  • Suppr Zotero 插件Zotero 插件
  • 邀请有礼
  • 套餐&价格
  • 历史记录
应用&插件
Suppr Zotero 插件Zotero 插件浏览器插件Mac 客户端Windows 客户端微信小程序
定价
高级版会员购买积分包购买API积分包
服务
文献检索文档翻译深度研究API 文档MCP 服务
关于我们
关于 Suppr公司介绍联系我们用户协议隐私条款
关注我们

Suppr 超能文献

核心技术专利:CN118964589B侵权必究
粤ICP备2023148730 号-1Suppr @ 2026

文献检索

告别复杂PubMed语法,用中文像聊天一样搜索,搜遍4000万医学文献。AI智能推荐,让科研检索更轻松。

立即免费搜索

文件翻译

保留排版,准确专业,支持PDF/Word/PPT等文件格式,支持 12+语言互译。

免费翻译文档

深度研究

AI帮你快速写综述,25分钟生成高质量综述,智能提取关键信息,辅助科研写作。

立即免费体验

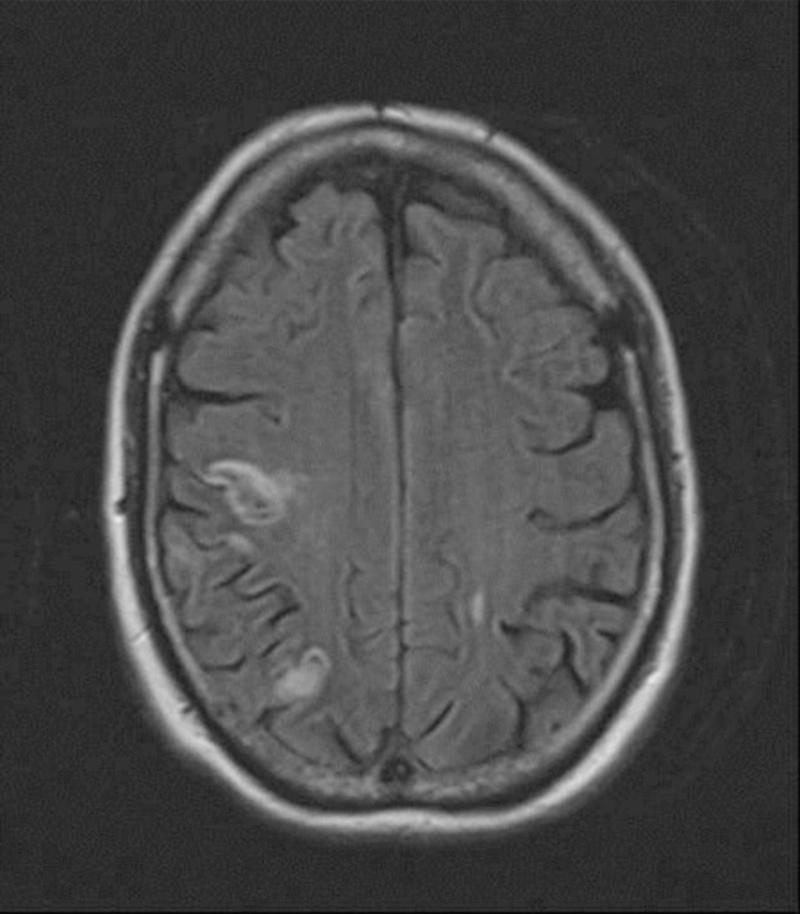
Granulomatosis with polyangiitis presenting as ischaemic stroke.

作者信息

Davison Rachel, Sheerin Neil S

机构信息

Renal Service, Freeman Hospital, High Heaton , Newcastle upon Tyne NE7 7DN , UK.

出版信息

JRSM Short Rep. 2012 Nov;3(11):81. doi: 10.1258/shorts.2012.012011. Epub 2012 Nov 30.

DOI:10.1258/shorts.2012.012011
PMID:23323199
原文链接:https://pmc.ncbi.nlm.nih.gov/articles/PMC3545330/
Abstract
摘要
https://cdn.ncbi.nlm.nih.gov/pmc/blobs/6492/3545330/26dcd89dde81/SHORTS-12-01101.jpg
https://cdn.ncbi.nlm.nih.gov/pmc/blobs/6492/3545330/26dcd89dde81/SHORTS-12-01101.jpg
https://cdn.ncbi.nlm.nih.gov/pmc/blobs/6492/3545330/26dcd89dde81/SHORTS-12-01101.jpg

相似文献

1
Granulomatosis with polyangiitis presenting as ischaemic stroke.以缺血性卒中为表现的肉芽肿性多血管炎。
JRSM Short Rep. 2012 Nov;3(11):81. doi: 10.1258/shorts.2012.012011. Epub 2012 Nov 30.
2
Eosinophilic granulomatosis with polyangiitis (Churg-Strauss syndrome) presenting as diffuse myositis.表现为弥漫性肌炎的嗜酸性肉芽肿性多血管炎(变应性肉芽肿性血管炎)
BMC Musculoskelet Disord. 2014 Nov 21;15:388. doi: 10.1186/1471-2474-15-388.
3
[Wegener's granulomatosis presenting with ischaemic stroke].
Pneumonol Alergol Pol. 2008;76(3):180-5.
4
Uncommon presentations of primary systemic necrotizing vasculitides: the Great Masquerades.原发性系统性坏死性血管炎的罕见表现:十足的伪装者。
Int J Rheum Dis. 2014 Jun;17(5):562-72. doi: 10.1111/1756-185X.12223. Epub 2013 Nov 14.
5
GRANULOMATOSIS WITH POLYANGIITIS (GPA) PRESENTING WITH FROSTED BRANCH ANGIITIS.以霜样树枝状视网膜血管炎为表现的肉芽肿性多血管炎(GPA)
Retin Cases Brief Rep. 2016 Summer;10(3):249-51. doi: 10.1097/ICB.0000000000000242.
6
Primary otological manifestations of granulomatosis with polyangiitis: a case series.
J Laryngol Otol. 2015 Feb;129(2):179-82. doi: 10.1017/S0022215114002527.
7
Two clinical cases of granulomatosis with polyangiitis with isolated otitis media and mastoiditis.两例伴有孤立性中耳炎和乳突炎的肉芽肿性多血管炎临床病例。
Reumatologia. 2017;55(5):256-260. doi: 10.5114/reum.2017.71643. Epub 2017 Oct 28.
8
Predictors of fatal and non-fatal cardiovascular events in ANCA-associated vasculitis: Data from the Toronto CanVasc cohort.抗中性粒细胞胞浆抗体相关性血管炎中致命和非致命心血管事件的预测因素:来自多伦多血管炎队列研究的数据。
Joint Bone Spine. 2020 May;87(3):221-224. doi: 10.1016/j.jbspin.2019.12.005. Epub 2020 Jan 17.
9
Limited granulomatosis with polyangiitis presenting as an isolated lung lesion.局限型肉芽肿伴多血管炎表现为孤立性肺病变。
Indian J Pathol Microbiol. 2020 Oct-Dec;63(4):611-614. doi: 10.4103/IJPM.IJPM_831_19.
10
[Reversible posterior leukoencephalopathy syndrome in a patient presenting granulomatosis with polyangiitis].[一位患有肉芽肿性多血管炎的患者出现可逆性后部白质脑病综合征]
Ann Dermatol Venereol. 2017 Feb;144(2):113-120. doi: 10.1016/j.annder.2016.06.012. Epub 2016 Aug 5.

本文引用的文献

1
Increased incidence of cardiovascular events in patients with antineutrophil cytoplasmic antibody-associated vasculitides: a matched-pair cohort study.抗中性粒细胞胞浆抗体相关血管炎患者心血管事件发生率增加:一项配对队列研究。
Arthritis Rheum. 2009 Nov;60(11):3493-500. doi: 10.1002/art.24957.
2
Primary angiitis of the central nervous system.中枢神经系统原发性血管炎
Arch Neurol. 2009 Jun;66(6):704-9. doi: 10.1001/archneurol.2009.76.
3
Vessel wall contrast enhancement: a diagnostic sign of cerebral vasculitis.血管壁对比增强:脑动脉炎的诊断征象
Cerebrovasc Dis. 2008;26(1):23-9. doi: 10.1159/000135649. Epub 2008 May 30.
4
Wegener's granulomatosis.韦格纳肉芽肿病
Herz. 2004 Feb;29(1):47-56. doi: 10.1007/s00059-004-2525-0.
5
Vasculitis of the central nervous system.中枢神经系统血管炎
J Neurol. 1998 Dec;245(12):766-76. doi: 10.1007/s004150050285.
6
Basilar artery occlusion in a young patient with Wegener's granulomatosis.一名患有韦格纳肉芽肿的年轻患者出现基底动脉闭塞。
Stroke. 1994 Jan;25(1):214-6. doi: 10.1161/01.str.25.1.214.
7
Extensive cerebral infarction due to involvement of both anterior cerebral arteries by Wegener's granulomatosis.韦格纳肉芽肿累及双侧大脑前动脉导致广泛脑梗死。
Ann Rheum Dis. 1988 Jul;47(7):606-11. doi: 10.1136/ard.47.7.606.