Suppr超能文献

缺血预处理可增加内皮祖细胞数量,减轻部分肾切除术诱导的缺血/再灌注损伤。

Ischemic preconditioning increases endothelial progenitor cell number to attenuate partial nephrectomy-induced ischemia/reperfusion injury.

机构信息

Department of Urology, Nanjing First Hospital, Nanjing Medical University, Nanjing, China.

出版信息

PLoS One. 2013;8(1):e55389. doi: 10.1371/journal.pone.0055389. Epub 2013 Jan 31.

Abstract

OBJECTIVES

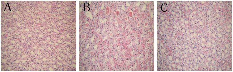
The objective of this study was to investigate the role of endothelial progenitor cells (EPCs) in the modulation of ischemia-reperfusion injury (IRI) in a partial nephrectomy (PN) rat model using early-phase ischemic preconditioning (IPC).

MATERIALS AND METHODS

Ninety male Sprague-Dawley rats were randomly divided into three groups following right-side nephrectomy: Sham-operated rats (surgery without vascular clamping); PN rats (renal blood vessels were clamped for 40 min and PN was performed); and IPC rats (pretreated with 15 min ischemia and 10 min reperfusion). At 1, 3, 6, 12, 24 h, and 3 days after reperfusion, the pool of circulating EPCs and kidneys were harvested. The extent of renal injury was assessed, along with EPC number, cell proliferation, angiogenesis, and vascular growth factor expression.

RESULTS

Pretreated rats exhibited significant improvements in renal function and morphology. EPC numbers in the kidneys were increased at 12 h following reperfusion in the IPC group as compared to the PN or Sham groups. Cell proliferation (including endothelial and tubular epithelial cells) and angiogenesis in peritubular capillaries were markedly increased in kidneys treated with IPC. In addition, vascular endothelial growth factor-A (VEGF-A) and stromal cell-derived factor-1α (SDF-1α) expression in the kidneys of pretreated rats was increased compared to rats subjected to PN.

CONCLUSIONS

OUR INVESTIGATION SUGGESTED THAT: (1) the early phase of IPC may attenuate renal IRI induced by PN; (2) EPCs play an important role in renal protection, involving promotion of cell proliferation and angiogenesis through release of several angiogenic factors.

摘要

目的

本研究旨在通过早期缺血预处理(IPC)探讨内皮祖细胞(EPCs)在部分肾切除术(PN)大鼠模型缺血再灌注损伤(IRI)调节中的作用。

材料和方法

90 只雄性 Sprague-Dawley 大鼠在右肾切除术后随机分为三组:假手术组(无血管夹闭手术);PN 组(夹闭肾脏血管 40 分钟并进行 PN);IPC 组(预处理 15 分钟缺血和 10 分钟再灌注)。再灌注后 1、3、6、12、24 h 和 3 天,采集循环 EPC 和肾脏样本。评估肾脏损伤程度,以及 EPC 数量、细胞增殖、血管生成和血管生长因子表达。

结果

预处理大鼠肾功能和形态学明显改善。与 PN 或 Sham 组相比,IPC 组再灌注后 12 h 肾脏中 EPC 数量增加。IPC 治疗后,肾小管周围毛细血管中的细胞增殖(包括内皮细胞和肾小管上皮细胞)和血管生成明显增加。此外,预处理大鼠肾脏中血管内皮生长因子-A(VEGF-A)和基质细胞衍生因子-1α(SDF-1α)的表达增加。

结论

我们的研究表明:(1)IPC 的早期阶段可能减轻 PN 引起的肾脏 IRI;(2)EPCs 通过释放多种血管生成因子在肾脏保护中发挥重要作用,涉及促进细胞增殖和血管生成。

https://cdn.ncbi.nlm.nih.gov/pmc/blobs/d446/3561290/1d7eb3714097/pone.0055389.g001.jpg

文献AI研究员

20分钟写一篇综述,助力文献阅读效率提升50倍。

立即体验

用中文搜PubMed

大模型驱动的PubMed中文搜索引擎

马上搜索

文档翻译

学术文献翻译模型,支持多种主流文档格式。

立即体验