Suppr超能文献

一种罕见的恶性皮肤鳞状黑素细胞肿瘤。

An uncommon malignant cutaneous squamomelanocytic tumor.

作者信息

Wang Hong-Yan, Zhang Xue-Bin, Su Ru-Juan, Wang Chun-Bao, Liu Xi

机构信息

Department of Pathology, First Affiliated Hospital, Medical College of Xi'an Jiaotong University, Xi'an, Shaanxi 710061, P.R. China.

出版信息

Exp Ther Med. 2013 Mar;5(3):897-901. doi: 10.3892/etm.2013.882. Epub 2013 Jan 4.

Abstract

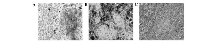
The intermingling of two malignant neoplasms within the same cutaneous tumor is rare. No consensus has been reached for a clear definition and categorization. In the current study, we describe a cutaneous neoplasm; a squamomelanocytic tumor (SMT) with histological features combining those of a squamous cell carcinoma (SCC) and a malignant melanoma (MM). This is the second report of an oculocutaneous SMT, and concerns a subject with a 20-year history of solar lentigo coexisting with solar keratosis in the primary lesion. This type of tumor is quite rare, with a distinct cytological architecture and immunohistochemical features, and the differential diagnosis of SMT may be considered. However, the histogenesis, biological behavior and malignant potential of SMTs remain a matter of speculation. With regard to the treatment, complete surgical resection and close follow-up are recommended.

摘要

两种恶性肿瘤在同一皮肤肿瘤内混合的情况很少见。目前对于其明确定义和分类尚未达成共识。在本研究中,我们描述了一种皮肤肿瘤;一种具有鳞状细胞癌(SCC)和恶性黑色素瘤(MM)组织学特征的鳞状黑色素细胞瘤(SMT)。这是第二例眼皮肤SMT报告,涉及一名原发性病变处有20年日光性雀斑样痣病史且并存日光性角化病的患者。这类肿瘤非常罕见,具有独特的细胞学结构和免疫组化特征,可能需要考虑对SMT进行鉴别诊断。然而,SMT的组织发生、生物学行为和恶性潜能仍存在诸多猜测。关于治疗,建议进行完整的手术切除并密切随访。

https://cdn.ncbi.nlm.nih.gov/pmc/blobs/f3fc/3570222/31bacf877d63/ETM-05-03-0897-g00.jpg

文献检索

告别复杂PubMed语法,用中文像聊天一样搜索,搜遍4000万医学文献。AI智能推荐,让科研检索更轻松。

立即免费搜索

文件翻译

保留排版,准确专业,支持PDF/Word/PPT等文件格式,支持 12+语言互译。

免费翻译文档

深度研究

AI帮你快速写综述,25分钟生成高质量综述,智能提取关键信息,辅助科研写作。

立即免费体验