Division of Medicinal Chemistry and Pharmacology, Indian Institute of Chemical Technology (IICT), Hyderabad, India.
J Transl Med. 2013 Mar 26;11:80. doi: 10.1186/1479-5876-11-80.
Ritonavir is a HIV protease inhibitor. In addition to its antiviral effect, Ritonavir directly inhibits the insulin-regulated glucose transporter GLUT4 and blocks glucose entry into fat and muscle cells. However, the effect of Ritonavir on cardiac GLUT4 inhibition during myocardial necrosis is not investigated. In the present study, we evaluated the role of Ritonavir in isoproterenol-induced myocardial necrosis in vivo and compared the effect with Phlorizin, a nonslective SGLTs inhibitor.
Isoproterenol (ISO) (150 mg/kg/day, i.p for 2 consecutive days) was administered to mice to cause myocardial necrosis. Phlorizin (400 mg/kg/day i.p twice daily for 2 days) and Ritonavir (10 mg/kg/day i.p twice daily for 2 days) were administered in two different groups of mice before isoproterenol administration.
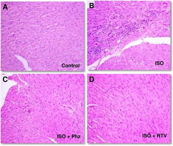
Isoproterenol (ISO) (150 mg/kg/day, i.p for 2 consecutive days) administration caused significant (p < 0.05) increase in heart/body weight ratio, and myocardial necrosis as evident by significant (p < 0.05) increase in serum markers i.e. SGOT and CK; and cardiac histopathological changes. Significant (p < 0.05) reduction in myocardial SOD and catalase activities, and GSH level along with a significant (p < 0.05) rise in myocardial TBARS and nitric oxide levels were observed after ISO administration. However, administration of phlorizin, a SGLT1 inhibitor has been found to exhibit partial protection in ISO induced myocardial necrosis, as observed by significant decrease in heart/body weight ratio and myocardial nitric oxide level; significant increase in myocardial SOD and catalase activities along with no histopathological alterations. On the other hand, administration of ritonavir, a nonspecific GLUT inhibitor has been found to exhibit complete protection as observed by normalisation of heart/body weight ratio, serum markers, antioxidant enzymes activities and histopathological alterations. In vitro study with heart homogenate confirmed no antioxidant effect of ritonavir and phlorizin in the absence and presence of isoproterenol.
Our study concluded that ritonavir, a nonspecific GLUT inhibitors showed complete protection in catecholamine induced myocardial necrosis.
利托那韦是一种 HIV 蛋白酶抑制剂。除了抗病毒作用外,利托那韦还直接抑制胰岛素调节的葡萄糖转运蛋白 GLUT4,阻止葡萄糖进入脂肪和肌肉细胞。然而,利托那韦在心肌坏死期间对心脏 GLUT4 抑制的影响尚未得到研究。在本研究中,我们评估了利托那韦在体内异丙肾上腺素诱导的心肌坏死中的作用,并将其与非选择性 SGLTs 抑制剂普洛来希特进行了比较。
异丙肾上腺素(ISO)(150mg/kg/天,腹腔注射连续 2 天)用于小鼠引起心肌坏死。在给予异丙肾上腺素之前,将普洛来希特(400mg/kg/天腹腔注射,每天两次,连续 2 天)和利托那韦(10mg/kg/天腹腔注射,每天两次,连续 2 天)分别给予两组小鼠。
异丙肾上腺素(ISO)(150mg/kg/天,腹腔注射连续 2 天)给药导致心脏/体重比显著增加(p<0.05),血清标志物如 SGOT 和 CK 显著增加(p<0.05),心肌组织病理学变化明显。给予 ISO 后,心肌 SOD 和过氧化氢酶活性以及 GSH 水平显著降低(p<0.05),心肌 TBARS 和一氧化氮水平显著升高(p<0.05)。然而,给予 SGLT1 抑制剂普洛来希特可观察到部分保护作用,表现为心脏/体重比和心肌一氧化氮水平显著降低,心肌 SOD 和过氧化氢酶活性显著增加,无组织病理学改变。另一方面,给予非特异性 GLUT 抑制剂利托那韦可观察到完全保护作用,表现为心脏/体重比、血清标志物、抗氧化酶活性和组织病理学改变正常化。体外心脏匀浆研究证实,利托那韦和普洛来希特在没有和存在异丙肾上腺素的情况下均无抗氧化作用。
我们的研究表明,非特异性 GLUT 抑制剂利托那韦在儿茶酚胺诱导的心肌坏死中表现出完全保护作用。