Suppr超能文献

静息态网络模式的不变性的系统研究:静息态 fMRI 是否准备好用于术前规划?

A systematic investigation of the invariance of resting-state network patterns: is resting-state fMRI ready for pre-surgical planning?

机构信息

Department of Radiology, Division of Neuro- and Musculoskeletal Radiology, Medical University of Vienna Vienna, Austria.

出版信息

Front Hum Neurosci. 2013 Mar 26;7:95. doi: 10.3389/fnhum.2013.00095. eCollection 2013.

Abstract

OBJECTIVES

Measurements of resting-state networks (RSNs) have been used to investigate a wide range of diseases, such as dementia or epilepsy. This raises the question whether this method could also serve as a pre-surgical planning tool. Generating reliable functional connectivity patterns is of crucial importance, particularly for pre-surgical planning, as these patterns may directly affect the outcome.

METHODS

This study investigated the reproducibility of four commonly used resting-state conditions: fixation of a black crosshair on a white screen; fixation of the center of a black screen; eyes-closed and fixation of the words "Entspann dich!" (Engl., "relax"). Ten healthy, right-handed male subjects (mean age, 25 years; SD 2) participated in the experiment. The spatial overlap for different RSNs across the four conditions was calculated.

RESULTS

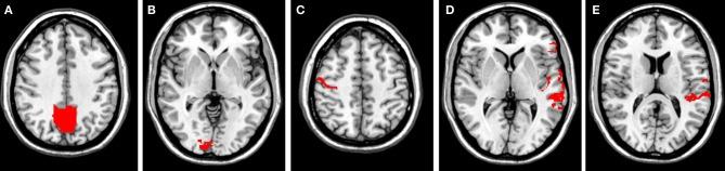
The spatial overlap across all four conditions was calculated for each seed region on a single subject and at the group level. Activation maps at the single-subject and group levels were highly stable, especially for the reading network (RNW). The lowest consistency measures were found for the visual network (VIN). At the single-subject level spatial overlap values ranged from 0.31 (VIN) to 0.45 (RNW).

CONCLUSION

These findings suggest that RSN measurements are a reliable tool to assess language-related networks in clinical settings. Generally, resting-state conditions showed comparable activation patterns, therefore no specific conditions appears to be preferable.

摘要

目的

静息态网络(RSN)的测量已被用于研究广泛的疾病,如痴呆或癫痫。这就提出了一个问题,即这种方法是否也可以作为术前规划工具。生成可靠的功能连接模式至关重要,特别是对于术前规划,因为这些模式可能直接影响结果。

方法

本研究调查了四种常用静息状态条件的可重复性:在白色屏幕上固定黑色十字准线;在黑色屏幕中央固定;闭眼和固定“Entspann dich!”(德文,“放松”)。10 名健康、右利手男性受试者(平均年龄 25 岁;SD 2)参与了实验。计算了不同条件下不同 RSN 之间的空间重叠。

结果

计算了每个种子区域在单个受试者和组水平上的所有四个条件的空间重叠。激活图在单个受试者和组水平上非常稳定,尤其是在阅读网络(RNW)上。视觉网络(VIN)的一致性测量值最低。在单个受试者水平上,空间重叠值范围从 0.31(VIN)到 0.45(RNW)。

结论

这些发现表明 RSN 测量是评估临床环境中语言相关网络的可靠工具。一般来说,静息状态条件显示出类似的激活模式,因此没有特定的条件似乎更可取。

https://cdn.ncbi.nlm.nih.gov/pmc/blobs/f582/3607808/47de844b1b48/fnhum-07-00095-g0001.jpg

文献AI研究员

20分钟写一篇综述,助力文献阅读效率提升50倍。

立即体验

用中文搜PubMed

大模型驱动的PubMed中文搜索引擎

马上搜索

文档翻译

学术文献翻译模型,支持多种主流文档格式。

立即体验