Suppr超能文献

以多发性低位颅神经麻痹为表现的脑静脉血栓形成

Cerebral venous thrombosis presenting as multiple lower cranial nerve palsies.

作者信息

Byju N, Jose James, Saifudheen K, Gafoor V Abdul, Jithendranath P

机构信息

Department of Neurology, Medical College, Calicut, Kerala, India.

出版信息

Indian J Crit Care Med. 2012 Oct;16(4):213-5. doi: 10.4103/0972-5229.106505.

Abstract

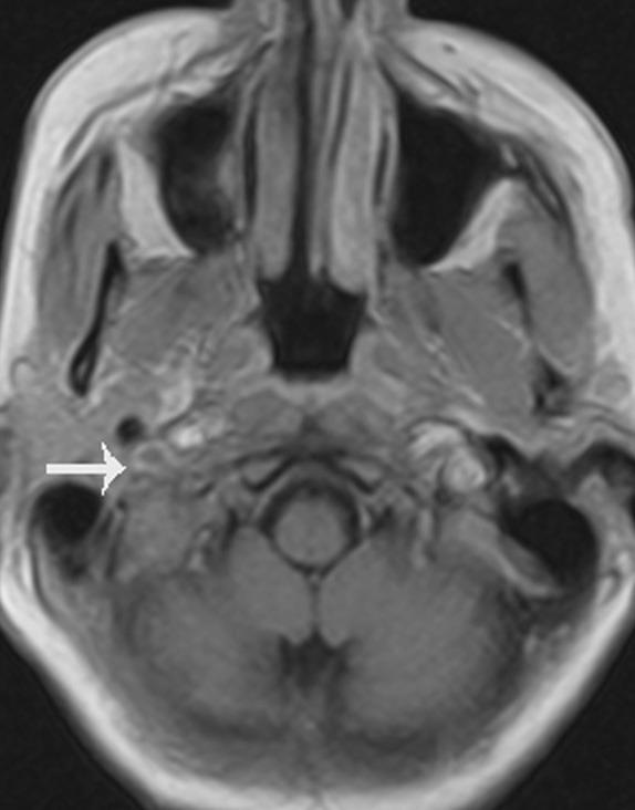
Cerebral venous thrombosis (CVT) is a well-recognized entity, but its clinical presentation is varied and often mimics many neurological disorders, making it a diagnostic challenge. Cerebral venous thrombosis has a wide spectrum of signs and symptoms, which may evolve suddenly or over weeks. It mimics many neurological conditions such as meningitis, encephalopathy, idiopathic intracranial hypertension, and stroke. Cerebral venous thrombosis presenting as multiple lower cranial nerve palsies, are rarely reported. We describe a pregnant lady who presented with sensorineural deafness of the right ear and paralysis of the 9(th), 10(th), and 12(th) cranial nerves on the right side. She was diagnosed to have thrombosis of the right transverse sinus and sigmoid sinus with extension to the jugular vein and confluence of sinuses. She improved with anticoagulant treatment.

摘要

脑静脉血栓形成(CVT)是一种广为人知的疾病,但其临床表现多样,常与许多神经系统疾病相似,这使其成为一项诊断挑战。脑静脉血栓形成有广泛的体征和症状,可能突然出现或在数周内逐渐发展。它可模仿许多神经系统疾病,如脑膜炎、脑病、特发性颅内高压和中风。以多发性低位颅神经麻痹为表现的脑静脉血栓形成很少见报道。我们描述了一位怀孕女性,她出现右耳感音神经性耳聋以及右侧第9、10和12对颅神经麻痹。她被诊断为右侧横窦和乙状窦血栓形成,并延伸至颈静脉和窦汇。经抗凝治疗后病情好转。

https://cdn.ncbi.nlm.nih.gov/pmc/blobs/7024/3610455/52b10af09691/IJCCM-16-213-g001.jpg

文献检索

告别复杂PubMed语法,用中文像聊天一样搜索,搜遍4000万医学文献。AI智能推荐,让科研检索更轻松。

立即免费搜索

文件翻译

保留排版,准确专业,支持PDF/Word/PPT等文件格式,支持 12+语言互译。

免费翻译文档

深度研究

AI帮你快速写综述,25分钟生成高质量综述,智能提取关键信息,辅助科研写作。

立即免费体验