Suppr超能文献

脊髓前动脉分支处的动脉瘤破裂。

A ruptured aneurysm in the branch of the anterior spinal artery.

作者信息

Yang Tae Ki

机构信息

Department of Neurosurgery, Jeju National University Hospital, Jeju, Korea.

出版信息

J Cerebrovasc Endovasc Neurosurg. 2013 Mar;15(1):26-9. doi: 10.7461/jcen.2013.15.1.26. Epub 2013 Mar 31.

Abstract

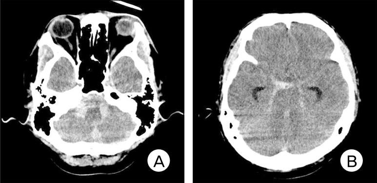
Incidence of aneurysm of the anterior spinal artery is known to be very low and the standard treatment strategy has not yet been established. The author experienced a case of subarachnoid hemorrhage (SAH) caused by the rupture of an aneurysm in the branch of the cervical anterior spinal artery, which was managed conservatively. The patient had end-stage common bile duct cancer and survived for 103 days after onset of the SAH without a re-rupture of the aneurysm.

摘要

已知脊髓前动脉动脉瘤的发病率非常低,且尚未确立标准的治疗策略。作者遇到一例由颈段脊髓前动脉分支处动脉瘤破裂引起的蛛网膜下腔出血(SAH)病例,该病例采用保守治疗。患者患有终末期胆总管癌,蛛网膜下腔出血发病后存活了103天,动脉瘤未再次破裂。

https://cdn.ncbi.nlm.nih.gov/pmc/blobs/cfcf/3625817/707a9f7197be/jcen-15-26-g001.jpg

文献检索

告别复杂PubMed语法,用中文像聊天一样搜索,搜遍4000万医学文献。AI智能推荐,让科研检索更轻松。

立即免费搜索

文件翻译

保留排版,准确专业,支持PDF/Word/PPT等文件格式,支持 12+语言互译。

免费翻译文档

深度研究

AI帮你快速写综述,25分钟生成高质量综述,智能提取关键信息,辅助科研写作。

立即免费体验