Suppr超能文献

地奥司明减少大鼠肾结石中草酸钙沉积和组织退变:一项体视学研究

Diosmin reduces calcium oxalate deposition and tissue degeneration in nephrolithiasis in rats: a stereological study.

作者信息

Noorafshan Ali, Karbalay-Doust Saied, Karimi Fatemeh

机构信息

Histomorphometry and Stereology Research Center, Shiraz University of Medical Sciences, Shiraz, Iran.

出版信息

Korean J Urol. 2013 Apr;54(4):252-7. doi: 10.4111/kju.2013.54.4.252. Epub 2013 Apr 16.

Abstract

PURPOSE

Kidney stones (nephrolithiasis) are a widespread disease. Thus, blocking stone formation and finding new therapeutic methods is an important area of study. Diosmin (a major component of the bile) is known to have antioxidant as well as renoprotective effects. The present investigation aimed to evaluate the effect of diosmin on renal tissue protection in rats with ethylene glycol-induced nephrolithiasis.

MATERIALS AND METHODS

The rats were randomly divided into three groups. Group one (control) did not receive any treatments. In groups two and three, nephrolithiasis was induced by 2.5% (V/V) ethylene glycol + 2.5% (W/V) ammonium chloride (2 mL/d). The second and the third groups received distilled water or diosmin (80 mg/kg/d) by gavage for 21 days.

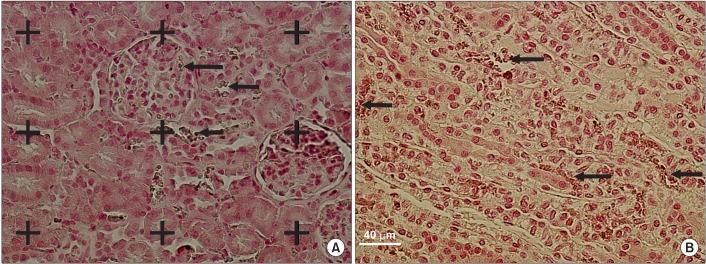
RESULTS

Stereological estimation of the renal structures revealed that the average volume of calcium oxalate (CaOx) in the nephrolithiasis+diosmin rats was -63% less than in the rats with untreated nephrolithiasis (p<0.01). The volume of the glomeruli, proximal and distal convoluted tubules, Henle's loop, collecting ducts, and vessels was reduced -32% to 58% after the induction of nephrolithiasis (p<0.001). In the nephrolithiasis+diosmin rats, on average, -70% to 96% of the glomeruli, proximal convoluted tubules, Henle's loop collecting ducts, and vessels remained intact (p<0.01). Degeneration of the cortical tissue was 5-fold that of the medulla. In the nephrolithiasis+diosmin rats, degeneration in the renal cortical tissue and medulla was reduced -70% and 44%, respectively, compared with that in the untreated nephrolithiasis group (p<0.01).

CONCLUSIONS

Diosmin reduces CaOx deposition and the degeneration of glomeruli and tubules in a rat model of nephrolithiasis.

摘要

目的

肾结石(肾石病)是一种广泛存在的疾病。因此,阻断结石形成并寻找新的治疗方法是一个重要的研究领域。地奥司明(胆汁的主要成分)已知具有抗氧化以及肾脏保护作用。本研究旨在评估地奥司明对乙二醇诱导的肾结石大鼠肾组织的保护作用。

材料与方法

将大鼠随机分为三组。第一组(对照组)不接受任何治疗。在第二组和第三组中,通过2.5%(V/V)乙二醇 + 2.5%(W/V)氯化铵(2 mL/d)诱导肾结石形成。第二组和第三组分别通过灌胃给予蒸馏水或地奥司明(80 mg/kg/d),持续21天。

结果

对肾脏结构的体视学估计显示,肾结石 + 地奥司明组大鼠草酸钙(CaOx)的平均体积比未治疗的肾结石大鼠减少了63%(p<0.01)。肾结石形成后,肾小球、近端和远端曲管、髓袢、集合管和血管的体积减少了32%至58%(p<0.001)。在肾结石 + 地奥司明组大鼠中,平均而言,70%至96%的肾小球、近端曲管、髓袢、集合管和血管保持完整(p<0.01)。皮质组织的变性是髓质的5倍。与未治疗的肾结石组相比,肾结石 + 地奥司明组大鼠肾皮质组织和髓质的变性分别减少了70%和44%(p<0.01)。

结论

在地奥司明可减少肾结石大鼠模型中草酸钙的沉积以及肾小球和肾小管的变性。

https://cdn.ncbi.nlm.nih.gov/pmc/blobs/9008/3630345/be93c5d6b049/kju-54-252-g001.jpg

文献检索

告别复杂PubMed语法,用中文像聊天一样搜索,搜遍4000万医学文献。AI智能推荐,让科研检索更轻松。

立即免费搜索

文件翻译

保留排版,准确专业,支持PDF/Word/PPT等文件格式,支持 12+语言互译。

免费翻译文档

深度研究

AI帮你快速写综述,25分钟生成高质量综述,智能提取关键信息,辅助科研写作。

立即免费体验