• 文献检索
  • 文档翻译
  • 深度研究
  • 学术资讯
  • Suppr Zotero 插件Zotero 插件
  • 邀请有礼
  • 套餐&价格
  • 历史记录
应用&插件
Suppr Zotero 插件Zotero 插件浏览器插件Mac 客户端Windows 客户端微信小程序
定价
高级版会员购买积分包购买API积分包
服务
文献检索文档翻译深度研究API 文档MCP 服务
关于我们
关于 Suppr公司介绍联系我们用户协议隐私条款
关注我们

Suppr 超能文献

核心技术专利:CN118964589B侵权必究
粤ICP备2023148730 号-1Suppr @ 2026

文献检索

告别复杂PubMed语法,用中文像聊天一样搜索,搜遍4000万医学文献。AI智能推荐,让科研检索更轻松。

立即免费搜索

文件翻译

保留排版,准确专业,支持PDF/Word/PPT等文件格式,支持 12+语言互译。

免费翻译文档

深度研究

AI帮你快速写综述,25分钟生成高质量综述,智能提取关键信息,辅助科研写作。

立即免费体验

儿童下颌骨骨内神经鞘瘤:1例罕见病例报告

Mandibular intraosseous schwannoma in a child: Report of a rare case.

作者信息

Kargahi Neda, Razavi Seyed Mahammad, Hasheminia Darioush, Keshani Forouz, Safaei Mehran, Hashemzadeh Zahra

机构信息

Torabinejad Dental Research Center and Department of Oral and Maxillofacial Pathology, School of Dentistry, Isfahan University of Medical Science, Isfahan, Iran.

出版信息

Dent Res J (Isfahan). 2012 Dec;9(Suppl 1):S119-22.

PMID:23814552
原文链接:https://pmc.ncbi.nlm.nih.gov/articles/PMC3692190/
Abstract

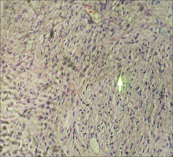
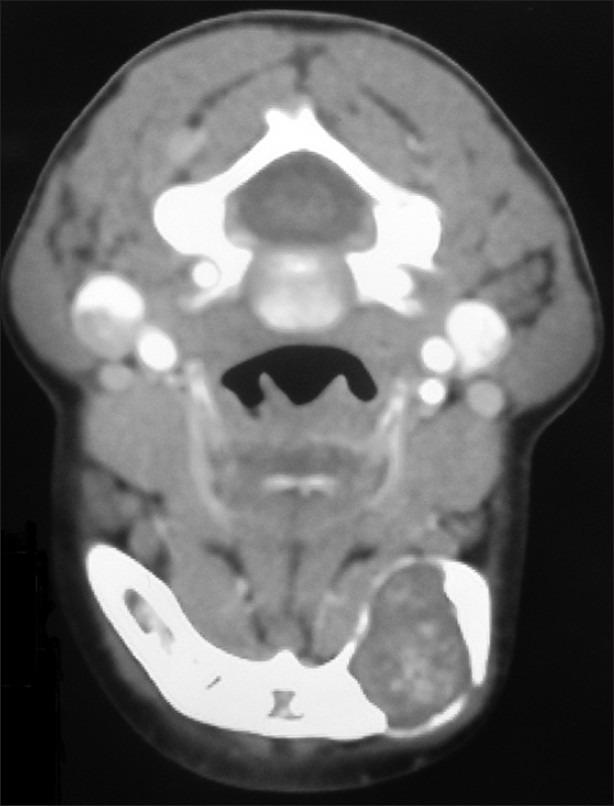
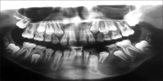
Intraosseous schwannomas is a very rare neoplasm, and less than 50 cases have been reported in the medical literature. In this article, the clinical, radiographic and histopathologic appearances of a rare case of intraosseous schwannomas are presented. The importance of this case is that other benign central lesions such as odontogenic tumors and cysts might be included in differential diagnosis. This case was recognized in a 9-year-old child, which is a very rare occurrence. The diagnosis was confirmed by immunohistochemical staining with S100 protein.

摘要

骨内施万细胞瘤是一种非常罕见的肿瘤,医学文献中报道的病例不足50例。本文介绍了一例罕见的骨内施万细胞瘤的临床、影像学和组织病理学表现。该病例的重要性在于,在鉴别诊断中可能需要考虑其他良性中心性病变,如牙源性肿瘤和囊肿。该病例发生在一名9岁儿童身上,极为罕见。通过S100蛋白免疫组化染色确诊。

https://cdn.ncbi.nlm.nih.gov/pmc/blobs/42bf/3692190/cf3e81296f81/DRJ-9-119-g005.jpg
https://cdn.ncbi.nlm.nih.gov/pmc/blobs/42bf/3692190/cca70b4b5f15/DRJ-9-119-g001.jpg
https://cdn.ncbi.nlm.nih.gov/pmc/blobs/42bf/3692190/49f081a81606/DRJ-9-119-g002.jpg
https://cdn.ncbi.nlm.nih.gov/pmc/blobs/42bf/3692190/1101cdd6ab32/DRJ-9-119-g003.jpg
https://cdn.ncbi.nlm.nih.gov/pmc/blobs/42bf/3692190/2e030f71b3a1/DRJ-9-119-g004.jpg
https://cdn.ncbi.nlm.nih.gov/pmc/blobs/42bf/3692190/cf3e81296f81/DRJ-9-119-g005.jpg
https://cdn.ncbi.nlm.nih.gov/pmc/blobs/42bf/3692190/cca70b4b5f15/DRJ-9-119-g001.jpg
https://cdn.ncbi.nlm.nih.gov/pmc/blobs/42bf/3692190/49f081a81606/DRJ-9-119-g002.jpg
https://cdn.ncbi.nlm.nih.gov/pmc/blobs/42bf/3692190/1101cdd6ab32/DRJ-9-119-g003.jpg
https://cdn.ncbi.nlm.nih.gov/pmc/blobs/42bf/3692190/2e030f71b3a1/DRJ-9-119-g004.jpg
https://cdn.ncbi.nlm.nih.gov/pmc/blobs/42bf/3692190/cf3e81296f81/DRJ-9-119-g005.jpg

相似文献

1
Mandibular intraosseous schwannoma in a child: Report of a rare case.儿童下颌骨骨内神经鞘瘤:1例罕见病例报告
Dent Res J (Isfahan). 2012 Dec;9(Suppl 1):S119-22.
2
Intraosseus plexiform schwannoma of the mandible: immunohistochemical differential diagnosis.下颌骨骨内丛状神经鞘瘤:免疫组化鉴别诊断
J Craniofac Surg. 2010 Nov;21(6):1820-4. doi: 10.1097/SCS.0b013e3181f43f5b.
3
A case of a massive mandibular schwannoma.一例巨大下颌骨神经鞘瘤。
J Neurosci Rural Pract. 2011 Jan;2(1):65-7. doi: 10.4103/0976-3147.80108.
4
Intraosseous schwannoma of the glenoid: case report and literature review.肩胛盂骨内神经鞘瘤:病例报告及文献复习
SICOT J. 2021;7:2. doi: 10.1051/sicotj/2020048. Epub 2021 Jan 8.
5
Intraosseous schwannoma of mandibular symphysis: case report.下颌骨联合部骨内神经鞘瘤:病例报告
Braz Dent J. 2006;17(3):255-8. doi: 10.1590/s0103-64402006000300015.
6
Intraosseous neurilemmoma of the mandible: report of a rare ancient type.下颌骨骨内神经鞘瘤:一例罕见的古老型病例报告
Dent Res J (Isfahan). 2011 Summer;8(3):150-3.
7
Intraosseous schwannoma of the frontal bone.额骨骨内施万瘤
Orthopedics. 2008 Mar;31(3):281. doi: 10.3928/01477447-20080301-16.
8
Intraosseous mandibular schwannoma mimicking an odontogenic keratocyst, with a postsurgical pathological fracture.酷似牙源性角化囊肿的下颌骨骨内施万瘤,伴术后病理性骨折。
J Laryngol Otol. 2009 May;123(5):560-2. doi: 10.1017/S0022215108002934. Epub 2008 Jun 9.
9
Gnathic Schwannomas: A Report of Two Cases and Systematic Review of the Literature.颌骨神经鞘瘤:两例报告及文献系统综述
Head Neck Pathol. 2023 Dec;17(4):984-999. doi: 10.1007/s12105-023-01595-1. Epub 2023 Dec 6.
10
Intraosseous schwannoma: histologic features, ultrastructure, and review of the literature.骨内施万瘤:组织学特征、超微结构及文献综述
Hum Pathol. 1984 Jun;15(6):551-8. doi: 10.1016/s0046-8177(84)80009-x.

引用本文的文献

1
Gnathic Schwannomas: A Report of Two Cases and Systematic Review of the Literature.颌骨神经鞘瘤:两例报告及文献系统综述
Head Neck Pathol. 2023 Dec;17(4):984-999. doi: 10.1007/s12105-023-01595-1. Epub 2023 Dec 6.
2
Imaging Features of Intraosseous Schwannoma: A Case Series and Review of the Literature.骨内施万瘤的影像学特征:病例系列及文献综述
Diagnostics (Basel). 2023 May 2;13(9):1610. doi: 10.3390/diagnostics13091610.
3
A fast-growing schwannoma of the tongue in a 15-year-old Iranian male: Review of literature and case report.

本文引用的文献

1
Rare occurrence of intraosseous schwannoma in a young child, its review and its pathogenesis.幼儿罕见的骨内神经鞘瘤:病例回顾与发病机制
J Oral Maxillofac Pathol. 2012 Jan;16(1):91-6. doi: 10.4103/0973-029X.92981.
2
Intraosseous neurilemmoma of the mandible: report of a rare ancient type.下颌骨骨内神经鞘瘤:一例罕见的古老型病例报告
Dent Res J (Isfahan). 2011 Summer;8(3):150-3.
3
Central schwannoma of mandible.下颌骨中央型神经鞘瘤
一名15岁伊朗男性舌部快速生长的施万细胞瘤:文献综述与病例报告
Clin Case Rep. 2021 Jun 24;9(6):e04266. doi: 10.1002/ccr3.4266. eCollection 2021 Jun.
4
A rare case of palatal schwannoma with literature review.腭部神经鞘瘤1例罕见病例并文献复习
J Oral Maxillofac Pathol. 2019 Feb;23(Suppl 1):36-39. doi: 10.4103/jomfp.JOMFP_242_16.
J Oral Maxillofac Pathol. 2009 Jan;13(1):23-6. doi: 10.4103/0973-029X.48752.
4
Diagnosis and management of retroperitoneal ancient schwannomas.腹膜后古老型神经鞘瘤的诊断与治疗
World J Surg Oncol. 2009 Feb 2;7:12. doi: 10.1186/1477-7819-7-12.
5
Ancient schwannoma of the vagus nerve, resection with continuous monitoring of the inferior laryngeal nerve.迷走神经的古老型神经鞘瘤,在持续监测喉返神经的情况下进行切除。
Braz J Otorhinolaryngol. 2008 Mar-Apr;74(2):316. doi: 10.1016/s1808-8694(15)31108-3.
6
CT and MRI findings of intraosseous schwannoma of the mandible: a case report.下颌骨骨内施万瘤的CT和MRI表现:一例报告
Dentomaxillofac Radiol. 2007 Feb;36(2):113-6. doi: 10.1259/dmfr/80737186.
7
Intraosseous schwannoma of mandibular symphysis: case report.下颌骨联合部骨内神经鞘瘤:病例报告
Braz Dent J. 2006;17(3):255-8. doi: 10.1590/s0103-64402006000300015.
8
Intraosseous schwannoma mimicking a periapical lesion on the adjacent tooth: case report.骨内神经鞘瘤酷似相邻牙齿根尖周病变:病例报告
Int Endod J. 2007 Jan;40(1):72-8. doi: 10.1111/j.1365-2591.2006.01195.x.
9
Two cases of schwannoma with marked cystic changes.两例伴有显著囊性变的神经鞘瘤。
Dentomaxillofac Radiol. 2005 Jan;34(1):44-50. doi: 10.1259/dmfr/57066369.
10
Intraosseous schwannoma of the mandible: a case report and review of the literature.下颌骨骨内施万瘤:一例报告并文献复习
Oral Surg Oral Med Oral Pathol Oral Radiol Endod. 2003 Jul;96(1):54-65. doi: 10.1016/s1079-2104(03)00228-2.