• 文献检索
  • 文档翻译
  • 深度研究
  • 学术资讯
  • Suppr Zotero 插件Zotero 插件
  • 邀请有礼
  • 套餐&价格
  • 历史记录
应用&插件
Suppr Zotero 插件Zotero 插件浏览器插件Mac 客户端Windows 客户端微信小程序
定价
高级版会员购买积分包购买API积分包
服务
文献检索文档翻译深度研究API 文档MCP 服务
关于我们
关于 Suppr公司介绍联系我们用户协议隐私条款
关注我们

Suppr 超能文献

核心技术专利:CN118964589B侵权必究
粤ICP备2023148730 号-1Suppr @ 2026

文献检索

告别复杂PubMed语法,用中文像聊天一样搜索,搜遍4000万医学文献。AI智能推荐,让科研检索更轻松。

立即免费搜索

文件翻译

保留排版,准确专业,支持PDF/Word/PPT等文件格式,支持 12+语言互译。

免费翻译文档

深度研究

AI帮你快速写综述,25分钟生成高质量综述,智能提取关键信息,辅助科研写作。

立即免费体验

糖蛋白 130 家族细胞因子在胎鼠肺发育中的作用。

The role of glycoprotein 130 family of cytokines in fetal rat lung development.

机构信息

Life and Health Sciences Research Institute, School of Health Sciences, University of Minho, Braga, Portugal.

出版信息

PLoS One. 2013 Jun 24;8(6):e67607. doi: 10.1371/journal.pone.0067607. Print 2013.

DOI:10.1371/journal.pone.0067607
PMID:23826327
原文链接:https://pmc.ncbi.nlm.nih.gov/articles/PMC3691159/
Abstract

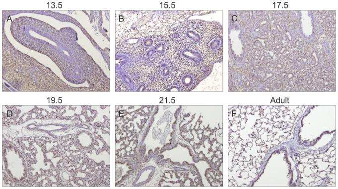
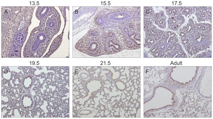
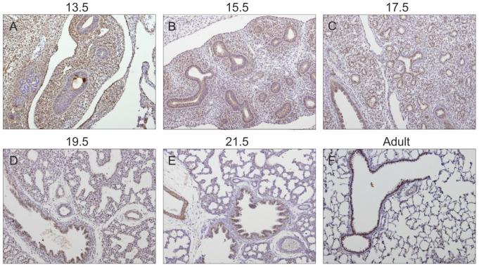
The glycoprotein 130 (gp130) dependent family of cytokines comprises interleukin-6 (IL-6), IL-11, leukemia inhibitory factor (LIF), cardiotrophin-like cytokine (CLC), ciliary neurotrophic factor (CNTF), cardiotrophin-1 (CT-1) and oncostatin M (OSM). These cytokines share the membrane gp130 as a common signal transducer. Recently, it was demonstrated that IL-6 promotes, whereas LIF inhibits fetal lung branching. Thus, in this study, the effects on fetal lung morphogenesis of the other classical members of the gp130-type cytokines (IL-11, CLC, CNTF, CT-1 and OSM) were investigated. We also provide the first description of these cytokines and their common gp130 receptor protein expression patterns during rat lung development. Fetal rat lung explants were cultured in vitro with increasing concentrations of IL-11, CLC, CNTF, CT-1 and OSM. Treated lung explants were morphometrically analyzed and assessed for MAPK, PI3K/AKT and STAT3 signaling modifications. IL-11, which similarly to IL-6 acts through a gp130 homodimer receptor, significantly stimulated lung growth via p38 phosphorylation. On the other hand, CLC, CNTF, CT-1 and OSM, whose receptors are gp130 heterodimers, inhibited lung growth acting in different signal-transducing pathways. Thus, the present study demonstrated that although cytokines of the gp130 family share a common signal transducer, there are specific biological activities for each cytokine on lung development. Indeed, cytokine signaling through gp130 homodimers stimulate, whereas cytokine signaling through gp130 heterodimers inhibit lung branching.

摘要

糖蛋白 130(gp130)依赖性细胞因子家族包括白细胞介素 6(IL-6)、白细胞介素 11(IL-11)、白血病抑制因子(LIF)、心脏营养素样细胞因子(CLC)、睫状神经营养因子(CNTF)、心脏营养素-1(CT-1)和肿瘤坏死因子 M(OSM)。这些细胞因子共享膜 gp130 作为共同的信号转导器。最近,研究表明 IL-6 促进胎儿肺分支,而 LIF 抑制胎儿肺分支。因此,在这项研究中,研究了 gp130 型细胞因子的其他经典成员(IL-11、CLC、CNTF、CT-1 和 OSM)对胎儿肺形态发生的影响。我们还首次描述了这些细胞因子及其在大鼠肺发育过程中的共同 gp130 受体蛋白表达模式。将胎鼠肺外植体在体外与不断增加浓度的 IL-11、CLC、CNTF、CT-1 和 OSM 一起培养。对处理后的肺外植体进行形态计量学分析,并评估 MAPK、PI3K/AKT 和 STAT3 信号转导的改变。IL-11 与 IL-6 相似,通过 gp130 同源二聚体受体发挥作用,通过 p38 磷酸化显著刺激肺生长。另一方面,CLC、CNTF、CT-1 和 OSM 的受体是 gp130 异源二聚体,通过不同的信号转导途径抑制肺生长。因此,本研究表明,尽管 gp130 家族的细胞因子共享共同的信号转导器,但它们对肺发育具有特定的生物学活性。事实上,通过 gp130 同源二聚体的细胞因子信号转导刺激,而通过 gp130 异源二聚体的细胞因子信号转导抑制肺分支。

https://cdn.ncbi.nlm.nih.gov/pmc/blobs/3c1e/3691159/e8da04bb0363/pone.0067607.g014.jpg
https://cdn.ncbi.nlm.nih.gov/pmc/blobs/3c1e/3691159/90a30551db13/pone.0067607.g001.jpg
https://cdn.ncbi.nlm.nih.gov/pmc/blobs/3c1e/3691159/cedb0ee7e55c/pone.0067607.g002.jpg
https://cdn.ncbi.nlm.nih.gov/pmc/blobs/3c1e/3691159/b51ea6d9427f/pone.0067607.g003.jpg
https://cdn.ncbi.nlm.nih.gov/pmc/blobs/3c1e/3691159/b03499774358/pone.0067607.g004.jpg
https://cdn.ncbi.nlm.nih.gov/pmc/blobs/3c1e/3691159/e8ecc113ac75/pone.0067607.g005.jpg
https://cdn.ncbi.nlm.nih.gov/pmc/blobs/3c1e/3691159/5a8d4d68a8f2/pone.0067607.g006.jpg
https://cdn.ncbi.nlm.nih.gov/pmc/blobs/3c1e/3691159/0c418230bd36/pone.0067607.g007.jpg
https://cdn.ncbi.nlm.nih.gov/pmc/blobs/3c1e/3691159/22a2d34d5176/pone.0067607.g008.jpg
https://cdn.ncbi.nlm.nih.gov/pmc/blobs/3c1e/3691159/55466423426f/pone.0067607.g009.jpg
https://cdn.ncbi.nlm.nih.gov/pmc/blobs/3c1e/3691159/653bc5b99058/pone.0067607.g010.jpg
https://cdn.ncbi.nlm.nih.gov/pmc/blobs/3c1e/3691159/9da85b76bae8/pone.0067607.g011.jpg
https://cdn.ncbi.nlm.nih.gov/pmc/blobs/3c1e/3691159/624395037e47/pone.0067607.g012.jpg
https://cdn.ncbi.nlm.nih.gov/pmc/blobs/3c1e/3691159/91b7095460bb/pone.0067607.g013.jpg
https://cdn.ncbi.nlm.nih.gov/pmc/blobs/3c1e/3691159/e8da04bb0363/pone.0067607.g014.jpg
https://cdn.ncbi.nlm.nih.gov/pmc/blobs/3c1e/3691159/90a30551db13/pone.0067607.g001.jpg
https://cdn.ncbi.nlm.nih.gov/pmc/blobs/3c1e/3691159/cedb0ee7e55c/pone.0067607.g002.jpg
https://cdn.ncbi.nlm.nih.gov/pmc/blobs/3c1e/3691159/b51ea6d9427f/pone.0067607.g003.jpg
https://cdn.ncbi.nlm.nih.gov/pmc/blobs/3c1e/3691159/b03499774358/pone.0067607.g004.jpg
https://cdn.ncbi.nlm.nih.gov/pmc/blobs/3c1e/3691159/e8ecc113ac75/pone.0067607.g005.jpg
https://cdn.ncbi.nlm.nih.gov/pmc/blobs/3c1e/3691159/5a8d4d68a8f2/pone.0067607.g006.jpg
https://cdn.ncbi.nlm.nih.gov/pmc/blobs/3c1e/3691159/0c418230bd36/pone.0067607.g007.jpg
https://cdn.ncbi.nlm.nih.gov/pmc/blobs/3c1e/3691159/22a2d34d5176/pone.0067607.g008.jpg
https://cdn.ncbi.nlm.nih.gov/pmc/blobs/3c1e/3691159/55466423426f/pone.0067607.g009.jpg
https://cdn.ncbi.nlm.nih.gov/pmc/blobs/3c1e/3691159/653bc5b99058/pone.0067607.g010.jpg
https://cdn.ncbi.nlm.nih.gov/pmc/blobs/3c1e/3691159/9da85b76bae8/pone.0067607.g011.jpg
https://cdn.ncbi.nlm.nih.gov/pmc/blobs/3c1e/3691159/624395037e47/pone.0067607.g012.jpg
https://cdn.ncbi.nlm.nih.gov/pmc/blobs/3c1e/3691159/91b7095460bb/pone.0067607.g013.jpg
https://cdn.ncbi.nlm.nih.gov/pmc/blobs/3c1e/3691159/e8da04bb0363/pone.0067607.g014.jpg

相似文献

1
The role of glycoprotein 130 family of cytokines in fetal rat lung development.糖蛋白 130 家族细胞因子在胎鼠肺发育中的作用。
PLoS One. 2013 Jun 24;8(6):e67607. doi: 10.1371/journal.pone.0067607. Print 2013.
2
gp130 Cytokines Activate Novel Signaling Pathways and Alter Bone Dissemination in ER+ Breast Cancer Cells.gp130 细胞因子激活新的信号通路,并改变 ER+乳腺癌细胞的骨播散。
J Bone Miner Res. 2022 Feb;37(2):185-201. doi: 10.1002/jbmr.4430. Epub 2021 Sep 17.
3
The cytokines cardiotrophin-like cytokine/cytokine-like factor-1 (CLC/CLF) and ciliary neurotrophic factor (CNTF) differ in their receptor specificities.细胞因子心脏营养素样细胞因子/细胞因子样因子-1(CLC/CLF)和睫状神经营养因子(CNTF)在受体特异性上有所不同。
Cytokine. 2012 Dec;60(3):653-60. doi: 10.1016/j.cyto.2012.08.014. Epub 2012 Sep 15.
4
Interleukin-6 family of cytokines induced activation of different functional sites expressed by gp130 transducing protein.白细胞介素-6细胞因子家族诱导由gp130转导蛋白表达的不同功能位点的激活。
J Biol Chem. 1996 Jun 21;271(25):14764-72. doi: 10.1074/jbc.271.25.14764.
5
Conditional gp130 deficient mouse mutants.条件性gp130缺陷小鼠突变体。
Semin Cell Dev Biol. 2008 Aug;19(4):379-84. doi: 10.1016/j.semcdb.2008.07.001. Epub 2008 Jul 17.
6
The cytokine receptor gp130: faithfully promiscuous.细胞因子受体gp130:忠实的混杂性
Sci STKE. 2003 Sep 23;2003(201):PE40. doi: 10.1126/stke.2003.201.pe40.
7
Interleukin-6 Family of Cytokines in Cancers.白细胞介素 6 家族细胞因子在癌症中的作用
J Interferon Cytokine Res. 2024 Feb;44(2):45-59. doi: 10.1089/jir.2023.0103. Epub 2024 Jan 17.
8
Interleukin-6 signal transducer gp130 has specific binding sites for different cytokines as determined by antagonistic and agonistic anti-gp130 monoclonal antibodies.白细胞介素-6信号转导分子gp130具有针对不同细胞因子的特异性结合位点,这是通过拮抗和激动性抗gp130单克隆抗体确定的。
Eur J Immunol. 1995 Dec;25(12):3474-81. doi: 10.1002/eji.1830251240.
9
Comparative study of gp130 cytokine effects on corticotroph AtT-20 cells--redundancy or specificity of neuroimmunoendocrine modulators?gp130细胞因子对促肾上腺皮质激素分泌细胞AtT-20细胞作用的比较研究——神经免疫内分泌调节剂的冗余性还是特异性?
Neuroimmunomodulation. 2004;11(4):224-32. doi: 10.1159/000078440.
10
Leukemia inhibitory factor in rat fetal lung development: expression and functional studies.白血病抑制因子在大鼠胎肺发育中的作用:表达与功能研究。
PLoS One. 2012;7(1):e30517. doi: 10.1371/journal.pone.0030517. Epub 2012 Jan 23.

引用本文的文献

1
Research progress on S-palmitoylation modification mediated by the ZDHHC family in glioblastoma.ZDHHC家族介导的S-棕榈酰化修饰在胶质母细胞瘤中的研究进展
Front Cell Dev Biol. 2024 Nov 5;12:1413708. doi: 10.3389/fcell.2024.1413708. eCollection 2024.
2
Interleukin-11 Is Involved in Hyperoxia-induced Bronchopulmonary Dysplasia in Newborn Mice by Mediating Epithelium-Fibroblast Cross-talk.白细胞介素-11通过介导上皮-成纤维细胞相互作用参与新生小鼠高氧诱导的支气管肺发育不良。
Inflammation. 2025 Apr;48(2):796-805. doi: 10.1007/s10753-024-02089-0. Epub 2024 Jul 24.
3
Distinct Epithelial Cell Profiles in Normal Versus Induced-Congenital Diaphragmatic Hernia Fetal Lungs.

本文引用的文献

1
Leukemia inhibitory factor in rat fetal lung development: expression and functional studies.白血病抑制因子在大鼠胎肺发育中的作用:表达与功能研究。
PLoS One. 2012;7(1):e30517. doi: 10.1371/journal.pone.0030517. Epub 2012 Jan 23.
2
Glycoprotein 130 cytokine signal as a therapeutic target against cardiovascular diseases.糖蛋白 130 细胞因子信号作为心血管疾病的治疗靶点。
J Pharmacol Sci. 2011;117(4):213-22. doi: 10.1254/jphs.11r05cr. Epub 2011 Nov 5.
3
IL-6/IL-6 receptor system and its role in physiological and pathological conditions.
正常与诱导性先天性膈疝胎儿肺脏中不同的上皮细胞特征
Front Pediatr. 2022 May 6;10:836591. doi: 10.3389/fped.2022.836591. eCollection 2022.
4
Paracrine stimulation of perinatal lung functional and structural maturation by mesenchymal stem cells.间质干细胞旁分泌刺激围生期肺功能和结构成熟。
Stem Cell Res Ther. 2020 Dec 9;11(1):525. doi: 10.1186/s13287-020-02028-4.
5
ROBO2 signaling in lung development regulates SOX2/SOX9 balance, branching morphogenesis and is dysregulated in nitrofen-induced congenital diaphragmatic hernia.ROBO2 信号在肺发育中调节 SOX2/SOX9 平衡、分支形态发生,并且在硝呋酚诱导的先天性膈疝中失调。
Respir Res. 2020 Nov 18;21(1):302. doi: 10.1186/s12931-020-01568-w.
6
Upregulated EFNB2 and EPHB4 promotes lung development in a nitrofen-induced congenital diaphragmatic hernia rat model.上调的 EFNB2 和 EPHB4 可促进硝基酚诱导的先天性膈疝大鼠模型中的肺发育。
Int J Mol Med. 2018 Nov;42(5):2373-2382. doi: 10.3892/ijmm.2018.3824. Epub 2018 Aug 14.
7
Expression analysis of Shh signaling members in early stages of chick lung development.鸡肺发育早期阶段Shh信号通路成员的表达分析。
Histochem Cell Biol. 2016 Oct;146(4):457-66. doi: 10.1007/s00418-016-1448-1. Epub 2016 May 24.
8
Renal and Hematological Effects of CLCF-1, a B-Cell-Stimulating Cytokine of the IL-6 Family.CLCF-1,一种白细胞介素 6 家族的 B 细胞刺激细胞因子,对肾脏和血液系统的影响。
J Immunol Res. 2015;2015:714964. doi: 10.1155/2015/714964. Epub 2015 Jun 4.
9
Neuroendocrine factors regulate retinoic acid receptors in normal and hypoplastic lung development.神经内分泌因子在正常和发育不全的肺发育过程中调节视黄酸受体。
J Physiol. 2015 Aug 1;593(15):3301-11. doi: 10.1113/JP270477. Epub 2015 Jul 14.
10
Secreted phosphoprotein 1 is a determinant of lung function development in mice.分泌性磷蛋白 1 是决定小鼠肺功能发育的因素。
Am J Respir Cell Mol Biol. 2014 Nov;51(5):637-51. doi: 10.1165/rcmb.2013-0471OC.
IL-6/IL-6 受体系统及其在生理和病理条件下的作用。
Clin Sci (Lond). 2012 Feb;122(4):143-59. doi: 10.1042/CS20110340.
4
The gp130 receptor cytokine family: regulators of adipocyte development and function.gp130 受体细胞因子家族:调节脂肪细胞的发育和功能。
Curr Pharm Des. 2011;17(4):340-6. doi: 10.2174/138161211795164202.
5
Cardiotrophin-1 in cardiovascular regulation.心营养素-1 在心血管调节中的作用。
Adv Clin Chem. 2010;52:41-76. doi: 10.1016/s0065-2423(10)52002-x.
6
Neuropoietin activates STAT3 independent of LIFR activation in adipocytes.神经细胞生成素在脂肪细胞中激活 STAT3 而不依赖于 LIFR 的激活。
Biochem Biophys Res Commun. 2010 Apr 23;395(1):48-50. doi: 10.1016/j.bbrc.2010.03.132. Epub 2010 Mar 28.
7
Preparing for the first breath: genetic and cellular mechanisms in lung development.为第一声呼吸做准备:肺发育中的遗传和细胞机制。
Dev Cell. 2010 Jan 19;18(1):8-23. doi: 10.1016/j.devcel.2009.12.010.
8
Mechanisms of oncostatin M-induced pulmonary inflammation and fibrosis.抑瘤素M诱导肺部炎症和纤维化的机制。
J Immunol. 2008 Nov 15;181(10):7243-53. doi: 10.4049/jimmunol.181.10.7243.
9
Apoptosis of mesenchymal cells during the pseudoglandular stage of lung development affects branching morphogenesis.肺发育假腺期间充质细胞的凋亡影响分支形态发生。
Exp Lung Res. 2008 Oct;34(8):481-99. doi: 10.1080/01902140802271842.
10
Cardiotrophin-1. Review.心肌营养素-1。综述。
Biomed Pap Med Fac Univ Palacky Olomouc Czech Repub. 2008 Jun;152(1):9-19. doi: 10.5507/bp.2008.002.