Suppr超能文献

克-特综合征导致危及生命的胃肠道出血:一例报告并文献复习

Klippel-Trenaunay Syndrome Causing Life-Threatening GI Bleeding: A Case Report and Review of the Literature.

作者信息

Samo Salih, Sherid Muhammed, Husein Husein, Sulaiman Samian, Yungbluth Margaret, Vainder John A

机构信息

Department of Internal Medicine, Division of Gastroenterology, Saint Francis Hospital Evanston Program, University of Illinois at Chicago, 355 Ridge Avenue, Evanston, IL 60202, USA.

出版信息

Case Rep Gastrointest Med. 2013;2013:813653. doi: 10.1155/2013/813653. Epub 2013 Jun 3.

Abstract

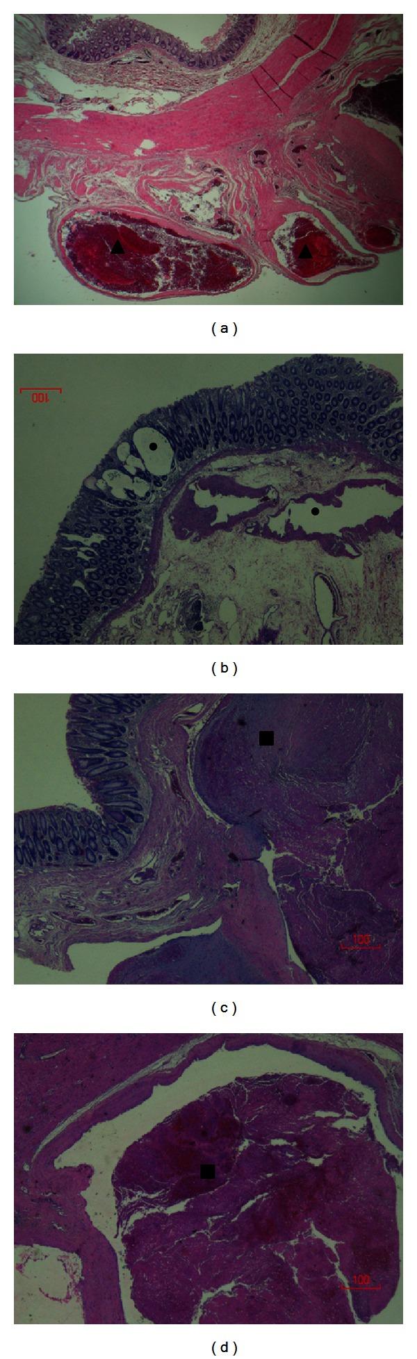
Klippel-Trenaunay syndrome (KTS) is a rare congenital syndrome of vascular malformations and soft tissue and bone hypertrophy. Vascular malformations can affect multiple organ systems. Involvement of the gastrointestinal (GI) tract is uncommon in KTS, but it can be a source of life-threatening bleeding. We report a case of a 32-year-old male with a known diagnosis of KTS who presented with a life-threatening rectal bleeding and was treated with proctosigmoidectomy and massive blood products transfusion. He expired after a long hospitalization. We then review the literature on KTS and management of some of its complications.

摘要

克-特综合征(KTS)是一种罕见的先天性综合征,伴有血管畸形以及软组织和骨骼肥大。血管畸形可累及多个器官系统。胃肠道(GI)受累在KTS中并不常见,但可能是危及生命的出血来源。我们报告一例32岁男性,已知诊断为KTS,因出现危及生命的直肠出血接受了直肠乙状结肠切除术和大量输血治疗。他在长期住院后死亡。我们随后回顾了关于KTS及其一些并发症处理的文献。

https://cdn.ncbi.nlm.nih.gov/pmc/blobs/cb54/3686071/baac188727fe/CRIM.GM2013-813653.001.jpg

文献AI研究员

20分钟写一篇综述,助力文献阅读效率提升50倍。

立即体验

用中文搜PubMed

大模型驱动的PubMed中文搜索引擎

马上搜索

文档翻译

学术文献翻译模型,支持多种主流文档格式。

立即体验