Suppr超能文献

一名复发性肝细胞癌患者的下腔静脉肿瘤血栓,由腔静脉旁淋巴结转移直接浸润形成。

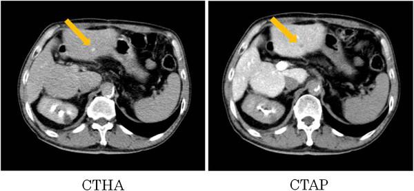
Inferior vena cava tumor thrombus that directly infiltrated from paracaval lymph node metastases in a patient with recurrent hepatocellular carcinoma.

作者信息

Imada Shinya, Ishiyama Kohei, Ide Kentaro, Kobayashi Tsuyoshi, Amano Hironobu, Tashiro Hirotaka, Arihiro Koji, Aikata Hiroshi, Chayama Kazuaki, Ohdan Hideki

出版信息

World J Surg Oncol. 2013 Aug 6;11:177. doi: 10.1186/1477-7819-11-177.

Abstract

Herein, we present the case of a patient with recurrent hepatocellular carcinoma (HCC) who had paracaval lymph node (LN) metastases with an inferior vena cava (IVC) tumor thrombus after a hepatectomy. A 65-year-old man with chronic hepatitis B virus infection received an extended anterior segmentectomy because of two hepatic tumors, located in segments 7 and 8. Histological examination of both resected specimens showed mostly moderately differentiated HCC with some poorly differentiated areas, and liver cirrhosis (A2/F4). Because the patient had an elevated α-fetoprotein serum level, abdominal computed tomography (CT) was performed. Abdominal CT revealed a 9-mm-diameter recurrent tumor in hepatic segment 3 and paracaval LN metastases with an IVC tumor thrombus at 8 months after the first operation. The patient received transcatheter arterial chemoembolization as treatment for the intrahepatic recurrence, following resection of the paracaval LN metastases and removal of the IVC tumor thrombus. In this case, the paracaval LN metastases had directly infiltrated the IVC via the lumbar veins, resulting in an IVC tumor thrombus, which usually develops from an intrahepatic tumor via the hepatic vein. The development of an IVC tumor thrombus with HCC recurrence, as in this case, is very rare, and based on a PubMed search, we believe this report may be the first to describe this condition.

摘要

在此,我们报告一例复发性肝细胞癌(HCC)患者的病例,该患者在肝切除术后出现腔静脉旁淋巴结(LN)转移并伴有下腔静脉(IVC)肿瘤血栓形成。一名65岁的慢性乙型肝炎病毒感染男性因位于第7和第8段的两个肝肿瘤接受了扩大的前段切除术。对两个切除标本的组织学检查显示,大部分为中度分化的HCC,伴有一些低分化区域,以及肝硬化(A2/F4)。由于患者血清甲胎蛋白水平升高,因此进行了腹部计算机断层扫描(CT)。腹部CT显示,在首次手术后8个月,肝第3段出现一个直径9毫米的复发性肿瘤,伴有腔静脉旁LN转移及IVC肿瘤血栓形成。在切除腔静脉旁LN转移灶并清除IVC肿瘤血栓后,患者接受了经动脉化疗栓塞术治疗肝内复发。在该病例中,腔静脉旁LN转移灶通过腰静脉直接浸润IVC,导致IVC肿瘤血栓形成,而IVC肿瘤血栓通常是由肝内肿瘤经肝静脉发展而来。像该病例中这样,HCC复发时出现IVC肿瘤血栓的情况非常罕见,基于PubMed检索,我们认为本报告可能是首例描述这种情况的报道。

https://cdn.ncbi.nlm.nih.gov/pmc/blobs/e495/3751697/80a42c39608b/1477-7819-11-177-1.jpg

文献检索

告别复杂PubMed语法,用中文像聊天一样搜索,搜遍4000万医学文献。AI智能推荐,让科研检索更轻松。

立即免费搜索

文件翻译

保留排版,准确专业,支持PDF/Word/PPT等文件格式,支持 12+语言互译。

免费翻译文档

深度研究

AI帮你快速写综述,25分钟生成高质量综述,智能提取关键信息,辅助科研写作。

立即免费体验