Department of Neurology, The First Bethune Hospital of Jilin University, Jilin University, Xinmin Street 71, Changchun 130021, China.
Mediators Inflamm. 2013;2013:172986. doi: 10.1155/2013/172986. Epub 2013 Jul 25.
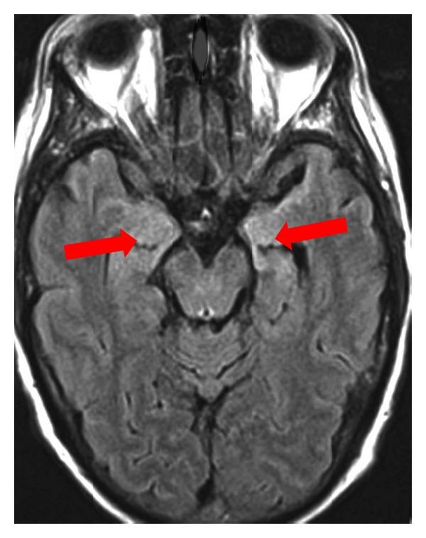
Paraneoplastic neurological syndromes (PNSs) occur in patients with cancer and can cause clinical symptoms and signs of dysfunction of the nervous system that are not due to a local effect of the tumor or its metastases. Most of these clinical syndromes in adults are associated with lung cancer, especially small cell lung cancer (SCLC), lymphoma, and gynecological tumors. The finding of highly specific antibodies directed against onconeural antigens has revolutionized the diagnosis and promoted the understanding of these syndromes and led to the current hypothesis of an autoimmune pathophysiology. Accumulating data strongly suggested direct pathogenicity of these antibodies. The field of PNS has expanded rapidly in the past few years with the discovery of limbic encephalitis associated with glutamic acid decarboxylase (GAD) 65, the voltage (VGKC-gated potassium channel) complex, the methyl (N-NMDA-D-aspartate), alpha-amino-3-hydroxy-5-methyl-4-isoxazolepropionic acid (AMPA), and gamma aminobutyric acid (GABA) (B) receptors, and so forth. Despite this, the clinical spectrum of these diseases has not yet been fully investigated. The clinical importance of these conditions lies in their frequent response to immunotherapies and, less commonly, their association with distinctive tumors. This review provides an overview on the pathogenesis and diagnosis of PNS, with emphasis on the role of antibodies in limbic encephalitis.
副肿瘤神经系统综合征(PNS)发生于癌症患者中,可引起非肿瘤或其转移灶直接作用所致的神经系统功能障碍的临床症状和体征。这些成人中的大多数临床综合征与肺癌有关,尤其是小细胞肺癌(SCLC)、淋巴瘤和妇科肿瘤。针对神经肿瘤抗原的高度特异性抗体的发现,极大地推动了这些综合征的诊断和认识,并提出了目前的自身免疫病理生理学假说。越来越多的证据表明这些抗体具有直接致病性。近年来,随着与谷氨酸脱羧酶(GAD)65、电压门控钾通道(VGKC-门控钾通道)复合物、甲基(N-NMDA-D-天冬氨酸)、α-氨基-3-羟基-5-甲基-4-异恶唑丙酸(AMPA)和γ-氨基丁酸(GABA)(B)受体相关的边缘性脑炎的发现,PNS 领域迅速发展。尽管如此,这些疾病的临床谱尚未得到充分研究。这些病症的临床重要性在于它们频繁对免疫疗法有反应,而且较少见的是,它们与独特的肿瘤相关。本文综述了 PNS 的发病机制和诊断,重点介绍了抗体在边缘性脑炎中的作用。